1 Especialista en
Medicina interna, Endocrinología. Profesor
Asociado UNAB, FOSCAL.
2 Médica Patóloga en Foscal Internacional.
3 Residente de Medicina interna Universidad de Cartagena
4 Estudiante Internado II Universidad de Pamplona
Fecha de recepción: 27/11/2018
Fecha de aceptación: 29/01/2019
Resumen
Aunque la enfermedad de Graves sigue siendo considerada
la causa más frecuente de hipertiroidismo clínico en el embarazo, la
producción desproporcionadamente alta de gonadotropina coriónica humana
(HCG) como ocurre en la enfermedad
trofoblástica gestacional (ETG), es otra de las posibles causas,
debido a la analogía entre ésta (HCG) y la TSH. Presentamos el
caso de una paciente de 23 años que consulta por presentar
dolor pélvico de moderada intensidad, síntomas respiratorios,
taquicardia, temblor, astenia y pérdida de peso; a quien se le
diagnostica coriocarcinoma metastásico a pulmón, con tirotoxicosis
asociada, por lo que requirió manejo quimioterapéutico y
antitiroideo. Se presenta este caso, por ser el hipertiroidismo
secundario a coriocarcinoma una patología poco frecuente
pero que debe diagnosticarse y tratarse oportunamente, ya que
de eso depende el pronóstico del paciente.
Palabras clave:
hipertiroidismo, tirotoxicosis, coriocarcinoma, enfermedad
trofoblástica gestacional, neoplasia trofoblástica gestacional.
Summary
Although Graves’ disease continues
to be considered the
most frequent cause of clinical hyperthyroidism in pregnancy,
the disproportionately high production of human chorionic gonadotropin
(HCG) as occurs in gestational trophoblastic disease
(TSG), is another possible cause, due to analogy between this
(HCG) and TSH. We present the case of a 23-year-old patient
who complained of pelvic pain of moderate intensity, respiratory
symptoms, tachycardia, tremor, asthenia and weight loss;
who was diagnosed with metastatic choriocarcinoma to the
lung, with associated thyrotoxicosis, requiring chemotherapeutic and
antithyroid management. This case is presented, since
hyperthyroidism secondary to choriocarcinoma is a rare pathology but it
must be diagnosed and treated opportunely since it
depends on the patient’s prognosis.
Keywords:
hyperthyroidism, thyrotoxicosis, choriocarcinoma, gestational
trophoblastic disease, gestational trophoblastic
neoplasia.
Introducción
La enfermedad trofoblástica gestacional (ETG) es una
complicación rara del embarazo, que va desde un embarazo
molar a un coriocarcinoma. Ésta ocasionalmente se complica
con hipertiroidismo, como consecuencia del mimetismo entre
la gonadotropina coriónica humana (HCG) y la hormona estimulante de la
tiroides (TSH), de ahí que una vez la ETG se trata
con éxito y consecuentemente, los niveles de HCG se normalizan y el
hipertiroidismo normalmente se resuelve(2,8).
A continuación, presentaremos un caso clínico en el que se
evidencia la relación entre el hipertiroidismo y la enfermedad
trofoblástica gestacional (coriocarcinoma).
Reporte de caso
Mujer de 23 años de edad con antecedente de legrado
obstétrico por embarazo molar, 15 días antes; consulta por
presentar dolor pélvico de moderada intensidad, disnea con
deterioro de clase funcional, temblor, pérdida de peso (14 kg
en cuatro meses), tos seca de predominio nocturno y astenia.
Historia de aborto espontáneo de 16 semanas en el año
2017 y embarazo ectópico con salpingooforectomía izquierda
en mayo del mismo año. Al examen físico se encuentra taquicárdica (FC:
110 lpm), con signos de dificultad respiratoria y dolor
a la palpación profunda en fosa iliaca derecha. La BHCG cuantitativa es
>100.000 UI/ml, TSH <0,005 µUI/L (VR. 0.27-4,20
µUI/L) y niveles de T4 libre en 5,67 ng/dl (VR. 0,81-1,52 ng/dl).
Estudios: Ecografía
transvaginal con múltiples quistes anecoicos. Ecografía de tiroides
normal. Radiografía de tórax (
figura 1)
donde se evidencian opacidades algodonosas en lóbulos
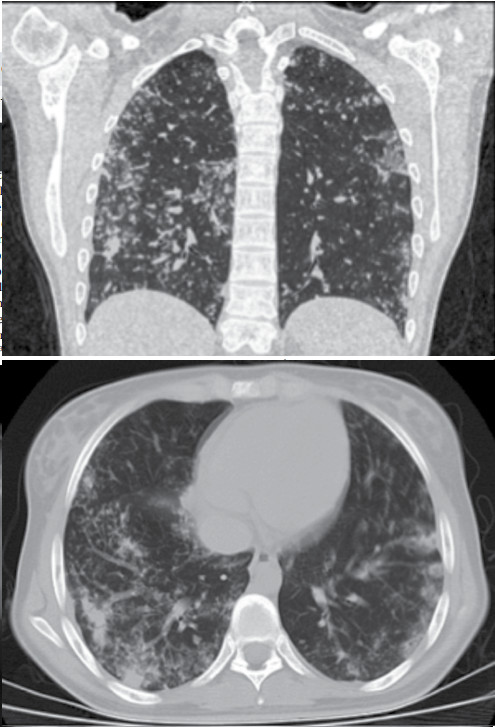
inferiores. TAC de tórax con múltiples micronódulos de aspecto
de árbol en gemación en ambos campos pulmonares (
figura 2,
3); TAC de abdomen con imágenes quísticas multilobuladas con
escasa captación, sin componente sólido (
figura 4).
El diagnóstico diferencial por las imágenes hace necesario
descartar patología infecciosa (TBC) vs. enfermedad metastásica.
Estudios adicionales: PPD y BK
seriada de esputo negativos; patología de biopsia y lavado
broncoalveolar, reporta tumor maligno mal diferenciado con necrosis y
hemorragia compatible con coriocarcinoma metastásico (
figuras 5, 6, 7 y 8).
Con el diagnóstico de neoplasia trofoblástica gestacional
tipo coriocarcinoma (BHCG > 100.000 UI/ml), metastásico a
pulmón, grupo tratante indica manejo sistémico con quimioterapia con
cisplatino, etopósido y bleomicina según protocolo.
Respecto al hipertiroidismo, el manejo indicado fue metimazol 15 mg/día
y propanolol 40 mg cada 8 horas, además se
indica hacer medición cada 15 días de BHCG y T4L para titulación de
metimazol. Un mes después del egreso médico, trae
reporte de T4L por debajo del rango de referencia 0,68 ng/dl
(VR: 0,8-2 ng/dl) y BHCG en descenso (1123 mUI/ml) por lo
que se suspende metimazol.
Discusión
La tirotoxicosis es el aumento de hormonas tiroideas séricas con
consecuencias clínicas; puede ser de origen tiroideo,
inflamatorio o extratiroideo. El origen tiroideo es por exceso
de producción y liberación de T4L y T3 (hipertiroidismo), cuyas causas
incluyen bocio tóxico difuso (enfermedad de Graves), bocio tóxico
multinodular (enfermedad de Plummer),
adenoma tóxico, y etiologías más raras como hipertiroidismo
por estímulo de la HCG, en la enfermedad trofoblástica gestacional
(ETG). En cuanto a causas inflamatorias encontramos la
tiroiditis, con liberación excesiva de hormona preformada por
la glándula; las extratiroideas por ingesta suprafisiológica de
tiroxina, entre otras(6).
La subunidad alfa de la HCG (glucoproteína secretada por
las células trofoblásticas de la placenta) guarda una homología
en su dominio transmembrana(7,8,9,12) con la TSH, la hormona
luteinizante y la folículo estimulante(12); por lo que existe una
reactividad cruzada entre estas hormonas(8). Sin embargo, la
actividad tirotrópica de la HCG es tan solo 1/1.000 en comparación a
1/10.000 la de TSH, por lo que se requieren altos
niveles de la misma para generar un cuadro de tirotoxicosis(7).
En cuanto al hipertiroidismo manifiesto (definido como
TSH suprimida con elevación de T3 y/o T4L) se requieren
niveles de BHCG >100.000 para producirlo(8,7,2,10), por tanto,
la neoplasia trofoblástica gestacional (mola invasora, coriocarcinoma,
tumor trofoblástico del sitio placentario y tumor
trofoblástico epitelioide) es una de las causas, y con menor
probabilidad, los tumores de células germinales, (ej. tumores
testiculares) como tumores productores de grandes cantidades de
BHCG(1,4,8).
Figura 1. Rx de tórax
Opacidades algodonosas (flechas)
Figuras 2 y 3. TAC de tórax
2. Corte coronal 3. Corte sagital.
Micronódulos pulmonares en aspecto de árbol
de gemación (flechas)
Figura 4. TAC de abdomen
Imágenes quísticas multilobuladas con escasa captación
sin componente sólido (flechas)
Figura 5. Hematoxilina eosina 4x. Se observa biopsia
bronquial con representación de lesión tumor con necrosis

Figura 6. Hematoxilina eosina 40x
Se observa lesión tumoral con células grandes de núcleos
pleomórficos hipercromáticos

Figuras 7 y 8

La prevalencia de tirotoxicosis en Estados Unidos se estima en 1,2%
(0,5% sintomáticos y 0,7% subclínicos), de mayor
predominio entre los 20 y 50 años de edad, secundarios a la
enfermedad de Graves (60% a 80% de los casos), mientras que
la tiroiditis subaguda corresponde a 15%-20%, el bocio multinodular a
10-15%, y el adenoma tóxico a 3%-5%(6).
La neoplasia trofoblástica gestacional (NTG) se presenta con
mayor frecuencia en Asia que en Norteamérica o Europa,(2). En
estas dos últimas áreas, el coriocarcinoma (CCA) afecta aproximadamente
a 1/40.000 embarazos, mientras que en el sudeste
de Asia y Japón hay una tasa mayor de 9,2 y 3,3 por 40.000 embarazos,
respectivamente(5,8,13). El 50% de los casos de NTG ocurren en
gestaciones posmolares (CCA es 1.000 veces más probable después de una
mola hidatiforme completa que después de
otro tipo de embarazo) 25% después de abortos o embarazos
ectópicos y 25% en posparto a término o pretérmino(1,4,5). Es
más común en mujeres en edad reproductiva(5), se caracterizan
por su potencial invasivo y metastásico (pulmón 80%, vagina
30%, cerebro 10%, hígado 10%), requiriendo cirugía y/o quimioterapia, a
la cual son altamente sensibles con unas tasas de
curación superiores al 95%, con un pronóstico favorable(1,4,11).
Las características clínicas observadas en el hipertiroidismo
trofoblástico incluyen fatiga, pérdida de peso, debilidad, diaforesis,
nerviosismo, intolerancia al calor, taquicardia, aumento
mínimo de la glándula tiroides, sin presencia de oftalmopatía
y en casos graves como la tormenta tiroidea – náuseas, vómitos
y dolor abdominal. Es frecuente atribuirle estos síntomas a la
NTG, pudiéndose pasar por alto el estado hipermetabólico del
hipertiroidismo, que puede ocasionar complicaciones clínicas
en la paciente, de ahí la importancia de sospecharlo siempre(7,8).
El manejo del hipertiroidismo por NTG generalmente va
dirigido a la carga tumoral(8), este se resuelve rápidamente
después de la evacuación molar, mientras que la secundaria
al CCA tarda más en resolverse(8), por lo cual en estos casos
puede ser preferible, además de la quimioterapia, el manejo
concomitante para hipertiroidismo, como ocurrió en el caso
clínico presentado, donde la paciente estaba francamente sintomática,
tenía niveles altos de BHCG, con TSH suprimida y T4L
elevada, presentando tirotoxicosis en contexto de un coriocarcinoma,
optándose por la quimioterapia junto con metimazol
y propanolol, para desmonte gradual, según respuesta clínica
y bioquímica. Dicha conducta se ha realizado previamente en
otros centros médicos, según reporte de casos descritos como
el Centro de Enfermedades Trofoblásticas de Nueva Inglaterra, donde de
196 casos de NTG tratados con quimioterapia
entre 2005 y 2010, 14 (7%) tenían hipertiroidismo bioquímico y 4 tenían
hipertiroidismo clínico (tirotoxicosis) los cuales
tuvieron una excelente respuesta al manejo dual, volviendo a
la estabilidad metabólico-clínica y al estado eutiroideo, luego
de la quimioterapia y el desmonte gradual de antitiroideos y
betabloqueadores(8).
Conclusiones
La enfermedad tiroidea bioquímica en pacientes con NTG
es relativamente común en Asia, pero en nuestro país no tenemos datos
de su incidencia, por tanto, la medición de la función tiroidea es
importante en pacientes con este diagnóstico.
El hipertiroidismo clínico necesita de una gran carga tumoral
y BHCG (>100.000), para manifestarse, siendo menos común
y en ocasiones requiriendo tratamiento específico. En aquellos
pacientes que requieren tratamiento, el metimazol y los
betabloqueadores para el control de la tirotoxicosis y alivio de
síntomas parecen ser efectivos, y se podrían suspender una
vez que la función tiroidea se normalice luego del tratamiento
de la NTG y consiguiente caída de la BHCG. Aun así, no queda
claro cuánto tiempo de tratamiento antitiroideo se debe dar
con el fin de evitar un hipotiroidismo iatrogénico, tampoco sabemos
cómo debería ser la frecuencia de seguimiento clínico
y bioquímico del paciente, para lo cual, con base en la literatura y la
experiencia de nuestro caso, se requiere vigilancia
estrecha, previendo también el riesgo de toxicidad hepática o
hematológica del metimazol; desconocemos además el riesgo
de que estos pacientes presenten tormenta tiroidea. Se necesitan, por
tanto, más estudios y una guía para el manejo de esta
condición que, aunque rara, tiene gran impacto en el estado de
salud y pronóstico del paciente.
Conflictos de interés
Ninguno
Referencias
1. Bolze P.-A. et al., Formalised consensus of the European
Organisation for
Treatment of Trophoblastic Diseases on management of gestational
trophoblastic diseases. Eur J Cancer. 2015 Sep;51(13):1725-31.
2. Padmanabhan LD. Et al., Trophoblastic hyperthyroidism. J Assoc
Physicians
India. 2003 Oct;51:1011-3.
3. N.S. Horowitz, et al., Placental site trophoblastic tumors and
epithelioid
trophoblastic tumors: Biology, natural history, and treatment
modalities,
Gynecol Oncol. 2017 Jan;144(1):208-214.
4. Biscaro A. et al., Diagnosis, classification and treatment of
gestational trophoblastic neoplasia, Rev Bras Ginecol Obstet. 2015 Jan;
37(1):42-51.
5. Goldstein DP. et al., Current management of gestational
trophoblastic neoplasia. Hematol Oncol Clin North Am. 2012
Feb;26(1):111-31.
6. Devereaux D. et al., Hyperthyroidism and thyrotoxicosis. Emerg
Med Clin
North Am. 2014 May;32(2):277-92.
7. Singh I. et al., Pathogenesis of Hyperthyroidism. Compr Physiol.
2016 Dec
6;7(1):67-79.
8. Walkington L. et al., Hyperthyroidism and human chorionic
gonadotropin
production in gestational trophoblastic disease. Br J Cancer. 2011 May
24;104(11):1665-9.
9. Lazarus JH. Thyroid function in pregnancy. Br Med Bull. 2011 Dec
23;97:137-48.
10. Fantz CR. Et al., Thyroid function during pregnancy. Clin Chem.
1999
Dec;45(12):2250-8.
11. Monchek R. et al., Gestational trophoblastic disease: an
overview. J Midwifery Women’s Health. 2012 May-Jun;57(3):255-9.
12. Seckl MJ. Et al., Gestational trophoblastic disease. Lancet.
2010 Aug
28;376(9742):717-29.
13. Yeo CP. Et al., Prevalence of gestational thyrotoxicosis in
Asian women
evaluated in the 8th to 14th weeks of pregnancy: correlations with
total
and free beta human chorionic gonadotropin. Clin Endocrinol (Oxf). 2001
Sep;55(3):391-8