1
Médico especialista en Medicina Interna y Endocrinología.
Universidad de Los Andes. Mérida, Venezuela.
2
Médico especialista en Patología. Universidad de Los Andes. Mérida,
Venezuela.
3
Médico especialista en Endocrinología. Doctora en Ciencias
Médicas. Profesora titular del posgrado de Endocrinología de la
Universidad de Los Andes. Mérida-Venezuela.
4
Médico especialista en Medicina Interna y Endocrinología. Doctor
en Ciencias Médicas. Fellow en Andrología. Director del posgrado de
Endocrinología de la Universidad de Los Andes. Mérida, Venezuela
Autor de
correspondencia: Ronald
Andrés Serrano Uribe Correo
electrónico:
rounnald@gmail.com
Fecha
de recepción: 13/02/2019
Fecha de
aceptación:
20/03/2019
Resumen
Objetivo: determinar la
histopatología de los testículos
de ratas BIOU: Wistar expuestas crónicamente a malatión en
comparación con ratas no expuestas.
Métodos: estudio experimental
con 20 ratas machos asignadas al azar, 10 al grupo control y 10 al
expuesto. La exposición consistió en la aplicación crónica de malatión
de manera
inhalada una vez a la semana durante 2 horas, por 14 semanas; las dosis
empleadas fueron equivalentes a las usadas por
humanos en agricultura. El grupo control fue expuesto a un
placebo (agua destilada) al aire libre por el mismo lapso. Luego,
fueron sacrificadas, se obtuvo una muestra sérica para la
determinación de la acetilcolinesterasa y se les extrajeron los
testículos para el estudio histopatológico.
Resultados: los niveles de
acetilcolinesterasa fueron significativamente más bajos (p = 0,0001) en
el grupo expuesto
que en el grupo control. En el estudio histopatológico con microscopia
de luz, en el grupo expuesto se evidenció una vacuolización del
epitelio germinal en el 50 % de los casos (p
= 0,016) para un odds ratio (OR) de 3,00 (95 %: 1,46-6,13),
así como espermatogénesis incompleta en el 40 % (p = 0,043)
para un OR de 2,66 (95 %: 1,41-5,02); por su parte, no hubo
alteraciones en el grupo control. Se observó una correlación
inversa significativa (p = 0,0001) entre el número de alteraciones
histopatológicas y la actividad de la acetilcolinesterasa.
Conclusiones: estos resultados
demuestran que la exposición crónica a malatión en ratas BIOU: Wistar
puede producir
efectos deletéreos en el sistema reproductivo de las ratas.
Objective:
To
determine the histopathology of the
testes of
BIOU: Wistar rats chronically exposed to malathion compared
to non-exposed rats.
Methods:
Experimental study with 20 male rats randomized, 10 to the control
group and 10 to the exposed group. The exposure consisted in the
chronic application of inhaled malathion
once a week for 2 hours for 14 weeks, with equivalent doses to
those used by humans in agriculture. The control group was exposed to a
placebo (distilled water) in the open air for the same
interval time. Afterwards, they were sacrificed, a serum sample
was obtained for the determination of acetylcholinesterase and
the testicles were extracted for histopathological study.
Results:
Acetylcholinesterase levels were
significantly lower
(p = 0.0001) in the exposed group than in the control group. In
the histopathological study with light microscopy, in the exposed
group, vacuolation of the germinal epithelium was observed in
50 % of the cases (p = 0.016) for an odds ratio of 3.00 (95 %:1.46-
6.13), as well as incomplete spermatogenesis in 40 % (p = 0.043)
for an odds ratio of 2.66 (95 %:1.41-5.02), while there were no
alterations in the control group. There was a significant inverse
correlation (p = 0, 0001) between the number of histopathological
alterations and acetylcholinesterase activity.
Conclusions: These results show
that chronic exposure
to
malathion in BIOU: Wistar rats can produce deleterious effects
on their reproductive system.
Un disruptor
endocrino es aquella sustancia química exógena o mezcla de compuestos
que se encuentra en el medio ambiente y tiene la capacidad de
interferir con la síntesis, secreción,
transporte, acción, metabolismo o eliminación de las hormonas
naturales presentes en el cuerpo que son indispensables para
la homeostasis, la reproducción y los procesos de desarrollo(1,
2). Las investigaciones llevadas a cabo han demostrado los efectos
potencialmente dañinos de los disruptores endocrinos en el
cuerpo humano y han permitido aumentar los conocimientos
en el área de la biología y la toxicología ambiental.
Es conocido que los compuestos con
mecanismos de disrupción endocrina
pueden afectar seriamente la reproducción
humana, al evidenciarse una disminución considerable en los
biomarcadores de fertilidad, en particular en el recuento de
espermatozoides en poblaciones humanas que han estado
expuestas a estas sustancias(3-6). Debido a los efectos tóxicos
que estas sustancias pueden generar, se han implementado
medidas de restricción para su uso en ciertos países, en donde
la exposición de la población es importante. Sin embargo, la
exposición humana a los disruptores endocrinos es inevitable
cuando estos productos químicos son utilizados en las industrias o
están ampliamente dispersos en el medioambiente,
como es el caso de los pesticidas.
Un pesticida se define como una
sustancia o combinación
de productos químicos usados para prevenir, destruir, repeler y
mitigar plagas, como nemátodos, ratas, ácaros, insectos, maleza
y hongos(7). Dentro de los pesticidas considerados como disruptores
endocrinos se encuentran los organoclorados y los organofosforados. El malatión, un pesticida
organofosforado, ha sido
ampliamente utilizado en la agricultura y en el uso doméstico
para el control de plagas, por lo que ha generado una gran exposición a
altos niveles tanto en humanos como en animales(8).
El malatión tiene la propiedad de inhibir la actividad de
la acetilcolinesterasa en tejidos específicos, así como de afectar el
sistema reproductivo masculino y la espermatogénesis.
Estudios experimentales con ratones demostraron que la exposición a
este pesticida reduce la producción de espermatozoides, disminuye las
formas espermáticas normales, altera la
esteroidogénesis e induce la apoptosis de las células germinales con la
depleción subsiguiente del epitelio seminífero(9-12). El
objetivo de este estudio fue comparar los cambios histológicos
de los testículos y la actividad de la acetilcolinesterasa sérica
en ratas expuestas crónicamente a malatión inhalado con respecto a
ratas no expuestas.
Materiales y métodos
Se realizó un estudio de
investigación básica de tipo experimental en
animales. Se utilizaron ratas machos de la línea BIOU:
Wistar, con un peso promedio de 300 g, las cuales fueron suministradas
por el bioterio de la Universidad de los Andes (Mérida,
Venezuela) y trasladadas a las instalaciones del laboratorio de
farmacología y toxicología de la facultad de medicina de la misma
universidad; allí permanecieron durante todo el trabajo. Se
ubicaron en sus respectivas jaulas, se pesaron y se les dio una
semana como período de adaptación. Las ratas se sometieron a
ciclos constantes de 12 horas de luz y de oscuridad, y se mantuvieron a
una temperatura de 22-24°C, con ventilación continua.
Todas las ratas se manipularon de acuerdo con la guía estándar
para el cuidado y uso de animales de laboratorio.
Se utilizó como material tóxico el
malatión, nombre comercial
Malathion® 57 %, cuyos componentes son el malatión
al 57 % e ingredientes aditivos (43 %). Este es fabricado por
Insecticidas Internacionales C.A. (INICA). La preparación se
realizó de acuerdo con las recomendaciones del fabricante;
esto es, una dilución en una proporción de 1:100 con agua
destilada. Se estudiaron 20 ratas, las cuales se distribuyeron
al azar en dos grupos, 10 al grupo control y 10 al expuesto. El
grupo expuesto fue sometido a la aplicación de malatión de
manera inhalada. El tiempo y la frecuencia por semana de exposición al
malatión en los animales de experimentación, así
como la cantidad y preparación de este, se hicieron de acuerdo
con las instrucciones del fabricante, en dosis equivalentes a las
usadas por los humanos en agricultura.
La cantidad fue calculada de
acuerdo con el área de aplicación,
teniendo en cuenta que se usa de 1 a 3 litros de malatión por hectárea.
Se aplicaron, de acuerdo con las medidas del
área, 4 mL de la dilución (1:100) a través de una asperjadora
sobre las jaulas, en una instalación al aire libre, donde quedaron
expuestas las ratas por dos horas. Luego fueron llevadas
dentro de las instalaciones del laboratorio y fueron observadas
diariamente, vigilando signos de toxicidad aguda y, por
ende, sufrimiento del animal.
La exposición se hizo una vez a la
semana por catorce semanas
(crónica). Las ratas del grupo control fueron expuestas
a un placebo (agua destilada), de igual manera, al aire libre
por el mismo intervalo de tiempo. Al término de la exposición,
antes de la anestesia con enflurano inhalado al 1 % durante
aproximadamente 10 minutos, las ratas de cada grupo fueron
sacrificadas. Se practicó la necropsia. Las muestras de sangre
se obtuvieron por punción ventricular para la determinación
de la acetilcolinesterasa, y el suero poscentrifugación fue conservado
a -20°C hasta el momento de su análisis. Después, se
extrajeron ambos testículos, los cuales se fijaron con líquido
de Bouin durante 24 horas; luego, se seccionó en segmentos
pequeños, máximo de 0,5 cm.
Luego de la fijación, se siguieron
los pasos de lavado, aclaramiento,
fijación e inclusión en parafina y después se realizaron
los respectivos cortes con el microtomo. Los cortes de 5 µm se
colocaron en un portaobjetos y fueron coloreados con
hematoxilina-eosina, para ser analizados por microscopía de luz. La
determinación de la acetilcolinesterasa se llevó a cabo en el
laboratorio de farmacología de la facultad de medicina. Las muestras de
suero sanguíneo fueron procesadas por el método de hidroxamato
de Hestrin, modificado por Truhaut y Vernin(13), y analizadas por
espectrofotometría a 520 nm. La manipulación de los animales se
llevó a cabo cumpliendo con el reglamento establecido por la comisión
de bioética en BIOULA para protocolos de investigación y
docencia que involucran animales de laboratorio, la cual fue aprobada
para la realización del estudio.
Para el análisis de los datos se
usó el programa estadístico
SPSS para Windows, versión 20. Las variables cuantitativas se
expresaron como promedio ± desviación estándar y mediana
(rango intercuartil); y para la comparación se usó la prueba de
la U de Mann Whitney. Se realizó una correlación de Spearman
entre las variables estudiadas. Las variables cualitativas se
presentaron como número absoluto y porcentaje, se estableció su
asociación mediante la aplicación de la prueba exacta de Fisher
y se determinó la probabilidad de riesgo (odds ratio [OR]) de
alteración testicular por exposición al malatión. Se consideró un
nivel de significancia cuando el valor de p fue menor de 0,05.
Resultados
Se analizaron 20 ratas Wistar, 10
expuestas y 10 controles. En la Tabla 1 se presentan los valores de
peso y acetilcolinesterasa en el grupo control y el grupo expuesto a
malatión. Con respecto al crecimiento corporal, no se observaron
diferencias significativas en el peso inicial y final del estudio
entre los animales del grupo control y el expuesto. Los niveles de
acetilcolinesterasa fueron significativamente más
bajos en el grupo expuesto (p = 0,0001) en comparación con
el grupo control.
En cuanto a la relación entre los
niveles de acetilcolinesterasa y el
número de anormalidades histológicas presentes en
los testículos de las ratas (Figura 1),
se encontró una relación
inversa significativa fuerte (r = -0,862; p = 0,000); esto es, en la
medida que disminuyen los niveles de acetilcolinesterasa, se incrementa
el número de anormalidades histológicas presentes.
Figura 1. Correlación de los niveles de acetilcolinesterasa
(UC/50 μL)
con el número de anormalidades histológicas
presentes en el grupo expuesto.
Hallazgos histopatológicos a la
microscopía de luz
En el estudio histológico con
microscopía de luz en los testículos de
los animales expuestos al malatión se observó una
vacuolización del epitelio germinal en el 50 % de los casos. La
espermatogénesis avanzaba hasta la etapa de espermatocito I
en el 40 % de los epitelios. Las células germinales mostraron
núcleos picnóticos. El intersticio presentó hiperemia moderada; y los
túbulos seminíferos, disminución de su diámetro en el
30 %. Se encontró hipertrofia de las células de Leydig, hialinización
de la membrana basal, fibrosis peritubular, desprendimiento del
epitelio germinal y engrosamiento de la membrana
basal en el 10 % de los casos, mientras que en las muestras del
grupo control no se observaron alteraciones histopatológicas.
Tabla 1. Valores de peso corporal y actividad de
acetilcolinesterasa en el grupo control y el grupo expuesto a malatión
Datos en X+DE y mediana (rango intercuartil). Prueba de Mann-Whitney:
*p = 0,0001.
La asociación de la exposición al
malatión con la vacuolización del
epitelio germinal mostró significancia estadística
(prueba exacta de Fisher: p = 0,016) y un OR 3,00 veces mayor
de presentar vacuolización del epitelio germinal en aquellas
ratas expuestas a malatión, en comparación con las ratas control (IC 95
%: 1,46-6,13) (Figura 2). Del
mismo modo, la espermatogénesis incompleta presentó significancia
estadística
(prueba exacta de Fisher: p = 0,043) y un OR 2,66 veces mayor
de presentar esta alteración en las ratas expuestas al compararlas con
las ratas control (IC 95 %: 1,41-5,02) (Figura
3). No
se pudo determinar la significancia estadística con las demás
características histopatológicas presentes en los testículos de
las ratas expuestas al malatión.
En la Figura 4 se muestran
algunos cortes del estudio histológico (tinción con
hematoxilina-eosina) de testículos del
grupo control. En la Figura 4A
se observa la integridad de los
túbulos seminíferos con cada uno de sus componentes histológicos. La Figura 4B muestra la membrana basal
tubular intacta, el intersticio sin alteraciones morfológicas con
células de
Leydig normales (a) y la túnica albugínea homogénea sin alteraciones
(b). Los túbulos seminíferos se presentan con diferentes estadios de
maduración completa del epitelio germinal
(Figura 4C). Finalmente, en la Figura 4D se muestra la cola
del epidídimo en la que se observan diferentes canalículos con
monocapa de células cúbicas y acúmulos de espermatozoides
en la luz del tubo (a).
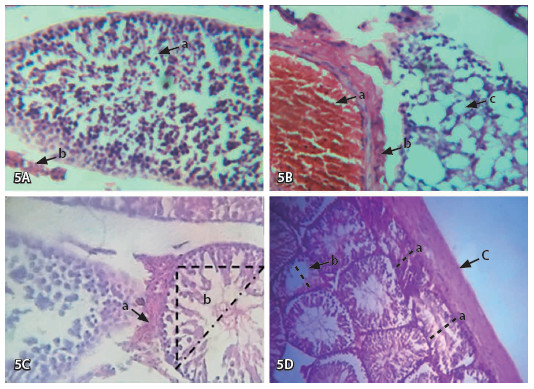
En la Figura 5 se muestra el
estudio histológico con la tinción con hematoxilina-eosina de
testículos del grupo expuesto. En la Figura
5A se observa una
vacuolización moderada
del epitelio germinal con maduración poco diferenciable, así
como una notable cariopicnosis en la mayoría de las células
germinales (a) con leve hipertrofia de las células intersticiales
de Leydig (b). En la Figura 5B
se puede apreciar, adyacente
al capilar hiperémico (a), la membrana basal con hialinización moderada
(b); y adyacente se evidencia la vacuolización
intensa de los epitelios germinales con espermatogénesis incompleta
(c). La Figura
5C muestra
grados leves de fibrosis
peritubular (a) y una disminución del diámetro del 15 % de
los túbulos seminíferos (b). Finalmente, la Figura 5D también
muestra la disminución en los diámetros de los túbulos (a)
ubicados adyacentes a la túnica albugínea (c), así como una
luz tubular con espermatogénesis incompleta (b).
Figura 2. Presencia o no de vacuolización del epitelio
germinal en los grupos control y expuesto al malatión.
Prueba exacta de Fischer: p = 0,016. OR: 3,00; IC 95 %:
1,46-6,13.
Figura 3. Presencia de espermatogénesis completa o
incompleta en los grupos control y expuesto a malatión.
Prueba exacta de Fisher: p = 0,043. OR: 2,66; IC
95 %:1,41-5,02.
Figura 4. Fotografías de algunos cortes del estudio histopatológico
(tinción con hematoxilina-eosina) de testículos
de las ratas del grupo control con aumentos de 100X y 400X. Se
observa la integridad de los túbulos seminíferos
con diferentes estadios de maduración del epitelio germinal,
membrana basal intacta e intersticio sin alteraciones
morfológicas.
Figura 5. Cortes histológicos (tinción con hematoxilina-eosina) de
testículos de las ratas del grupo expuesto con
aumentos
de 100X y 400X. Se observa vacuolización del epitelio
germinal, espermatogénesis incompleta y disminución
del diámetro de la luz de los túbulos seminíferos.
Discusión
Diversos estudios epidemiológicos
han puesto en evidencia la conexión
que existe entre la exposición a compuestos
químicos ambientales, específicamente pesticidas, con alteraciones en
los diferentes sistemas endocrinos, entre ellos el
reproductivo y sus hormonas(14-21). La exposición a pesticidas
conlleva un riesgo potencial de desarrollar trastornos reproductivos
masculinos, como la disminución en la calidad del semen e infertilidad;
alteraciones del desarrollo fetal, que se manifiesta como anormalidades
del tracto urogenital, incluyendo
hipospadia y criptorquidia, y el cáncer testicular.
Los principales determinantes de
los efectos tóxicos causados por los
pesticidas en el sistema reproductivo humano
incluyen: la dosis, la frecuencia de exposición, la vía de exposición y
las características genotípicas de los sujetos expuestos(22, 23). Los
posibles mecanismos fisiopatológicos que explican las alteraciones
generadas por los pesticidas en la función
reproductiva masculina son: el bloqueo del receptor de andrógenos y la
disminución en la conversión de testosterona a dihidrotestosterona(24).
El malatión es un insecticida
organofosforado ampliamente usado en la
agricultura y la jardinería, lo que supone un riesgo de exposición en
las personas que lo manipulan a través de
múltiples vías como la oral, dérmica e inhalatoria. Este trabajo
se basó en la intoxicación crónica con malatión por vía inhalatoria,
similar a como ocurre en los humanos, para observar si
se producía toxicidad en los testículos de ratas macho Wistar.
En la revisión de la literatura se encontró que, en la mayoría de
los estudios experimentales con ratas, las vías de administración del
malatión fueron la oral(25-29) y la intraperitoneal(11, 30, 31).
En nuestro estudio experimental se
considera que la intoxicación con
malatión del grupo expuesto fue efectiva, ya
que, como se esperaba, los niveles de acetilcolinesterasa fueron
menores que en el grupo no expuesto. Esto se debe a que el
malatión desarrolla su toxicidad a través de la fosforilación de
la enzima acetilcolinesterasa en las terminaciones nerviosas;
sin embargo, también es capaz de inhibir la acetilcolinesterasa
eritrocitaria, la plasmática y la hepática, reaccionando
específicamente con la zona esterásica de la enzima colinesterasa,
que forma una unión estable e irreversible y la enzima queda
inhabilitada para su función normal, lo que produce la disminución de
su actividad(32).
En el estudio histopatológico con
microscopía de luz se demostró que
cinco ratas (50 %) presentaron vacuolización del
epitelio germinal; y cuatro (40 %), espermatogénesis incompleta en el
grupo expuesto a malatión; y ninguna en el grupo
no expuesto. Esto resultó en una asociación significativa y un
alto riesgo de alteración histopatológica de los testículos con
la exposición crónica a malatión. Por otra parte, se logró determinar
que, mientras más bajos fueron los niveles de acetilcolinesterasa,
mayor era la presencia de alteraciones histopatológicas en un mismo
testículo. Estas alteraciones son debidas
al efecto del malatión por la vía inhalatoria, ya que fue la única
situación diferente entre los dos grupos de ratas.
No se encontraron estudios de
intoxicación crónica inhalatoria con
malatión en animales de experimentación para comparar con nuestros
resultados; sin embargo, existen dos estudios con intoxicación por vía
oral, con reporte histopatológico
testicular y con un seguimiento inferior al nuestro. El estudio
de Geng y colaboradores(25), en el que se expusieron ratas
macho Wistar con malatión por vía oral durante aproximadamente 8,5
semanas a dosis bajas y altas, demostró un efecto
dependiente de la dosis sobre la espermatogénesis dado por
la pérdida y desarreglo de las células espermatogénicas y la
vacuolización en el citoplasma de las células de Sertoli. Estos
cambios fueron más severos en las ratas del grupo expuesto a
las dosis más altas de malatión (108 mg/kg).
Por su parte, Uzun y
colaboradores(27) estudiaron el efecto
tóxico que induce el malatión sobre los testículos de ratas Wistar y el
efecto protector de la vitamina C y E al exponerlas por vía
oral a una dosis de 27 mg/kg (1/50 de las dosis letal 50) o vitamina C
(200 mg/kg) más vitamina E (200 mg/kg) diariamente
durante 4 semanas. En el grupo de ratas expuestas al malatión
hubo menos células espermatogénicas y necrosis en algunos túbulos
seminíferos, así como edema en el tejido intersticial. Por
otra parte, en el grupo de malatión más vitaminas hubo menos
células espermatogénicas en algunos túbulos seminíferos y edema leve en
los tejidos intersticiales. Nuestro estudio demostró
resultados similares a los comentados, con el uso de dosis bajas
de malatión, pero con un tiempo mucho mayor de exposición
(14 semanas), que fue consistente con espermatogénesis incompleta y
vacuolización del epitelio germinal.
El mecanismo fisiopatológico por el
cual el malatión ejerce
su acción sobre el epitelio germinal no está claro; sin embargo,
se cree que los efectos del malatión y otros organofosforados
relacionados se deben a su capacidad de atravesar la barrera
hematotesticular y, con ello, inducir estrés oxidativo y la
peroxidación lipídica. Esto produce daño y degeneración de las
membranas de las células espermáticas, y a nivel intersticial
tiene un impacto negativo en las células de Leydig. Lo anterior
lo soportan estudios experimentales en los que la administración
conjunta del malatión con antioxidantes atenúa los efectos tóxicos en
el conteo, la motilidad y la morfología espermática, así como la
integridad histológica del testículo(27, 33).
Otro mecanismo fisiopatológico
estudiado ha sido la capacidad que puede
tener el malatión en inducir la expresión de
ciertos genes que producen apoptosis. Se sabe que la proteína
Bax promueve la apoptosis al agotar los factores de crecimiento,
mientras que la proteína Bcl-2 inhibe la apoptosis al inactivar
múltiples proteínas proapoptóticas(34, 35). El balance entre
la expresión de los genes que codifican estas dos proteínas
determina si una célula puede o no sobrevivir(36,37). Estudios
experimentales en ratones muestran el efecto apoptótico del
malatión al incrementar la expresión de Bax y disminuir la expresión de
Bcl-2; por lo tanto, el retraso en la diferenciación
y proliferación de las células espermatogénicas y el reducido
número de células espermáticas y espermatozoides podrían
atribuirse al malatión(25).
En nuestro estudio se demostró que
la exposición crónica (14 semanas)
de ratas BIOU: Wistar al malatión tiene un
impacto en la histofisiología de la gónada masculina. Es por
eso por lo que surge una preocupación importante sobre el
uso indiscriminado de los pesticidas sin las medidas mínimas
generales de protección, lo que puede conllevar a efectos deletéreos en
la salud de las personas que manipulan este tipo de
sustancias. Nuestro estudio, cuya forma de exposición controlada fue
por la vía inhalatoria, similar a la mayoría de las exposiciones
crónicas en los seres humanos, es una alerta, aunque
no permite extrapolar los resultados a estos. Se recomienda
realizar estudios epidemiológicos en humanos expuestos al
malatión y correlacionar su potencial efecto como disruptor
endocrino sobre el sistema reproductivo masculino.
Fuentes de Financiación
Las fuentes de financiación de la investigación son provenientes
de recursos propios de los autores.
Se utilizaron ratas machos línea BIOU: Wistar, con un peso
promedio de 300 g, suministradas por el bioterio de la
universidad de los Andes (ULA), Mérida, Venezuela. Estas
permanecieron en las instalaciones del laboratorio de Farmacología y
Toxicología de la Facultad de Medicina de la
ULA, bajo las condiciones óptimas de preservación de animales de
experimentación durante todo el trabajo.
Se utilizó como material tóxico el malatión, nombre comercial
Malathion® 57 %, cuyos componentes son malatión al 57 % e ingredientes
aditivos (43%). Es fabricado
por Insecticidas Internacionales C.A. (INICA). Fue adquirido por
financiamiento propio de los autores.
La determinación de la actividad de la acetilcolinesterasa se
llevó a cabo en el laboratorio de farmacología de
la facultad de medicina de la ULA. Las muestras fueron
procesadas por el método de hidroxamato de Hestrin,
modificado por Truhaut y Vernin, y analizadas por espectrofotometría a
520 nm.
El estudio histopatológico con microscopía de luz se realizó en
el departamento de patología de la Universidad de
Los Andes, Mérida, Venezuela.
Conflictos de interés
Los autores declaran no tener
ningún conflicto de interés.
Referencias
1. Diamanti-Kandarakis
E, Bourguignon J-P, Giudice LC, Hauser R, Prins GS,
Soto AM, et al. Endocrine-disrupting chemicals: an Endocrine Society
scientific statement. Endocr Rev. 2009;30(4):293-342. 2. Sifakis S, Androutsopoulos VP,
Tsatsakis AM, Spandidos DA. Human
exposure to endocrine disrupting chemicals: effects on the male and
female
reproductive systems. Environ Toxicol Pharmacol. 2017;51:56-70. 3. Safe S. Endocrine disruptors and
falling sperm counts: lessons
learned or
not! Asian J Androl. 2013;15(2):191-4. 4. Slutsky M, Levin JL, Levy BS.
Azoospermia and oligospermia among
a large
cohort of DBCP applicators in 12 countries. Int J Occup Environ Health.
1999;5(2):116-22. 5. Perry MJ, Venners SA, Chen X,
Liu X, Tang G, Xing H, et al.
Organophosphorous pesticide exposures and sperm quality. Reprod Toxicol
Elmsford N.
2011;31(1):75-9. 6. Jouannet P, Wang C, Eustache F,
Kold-Jensen T, Auger J. Semen
quality and male reproductive health: the controversy about human sperm
concentration decline. APMIS Acta Pathol Microbiol Immunol Scand.
2001;109(5):333-44. 7. Jabłońska-Trypuć A, Wołejko E,
Wydro U, Butarewicz A. The impact
of pesticides on oxidative stress level in human organism and their
activity as an
endocrine disruptor. J Environ Sci Health B. 2017;52(7):483-94. 8. Suresh NB, Malik JK, Rao GS,
Aggarwal M, Ranganathan V. Effects
of subchronic malathion exposure on the pharmacokinetic disposition of
pefloxacin. Environ Toxicol Pharmacol. septiembre de 2006;22(2):167-71.
9. Rezg R, Mornagui B, El-Fazaa S,
Gharbi N. Biochemical evaluation
of hepatic damage in subchronic exposure to malathion in rats: effect
on superoxide dismutase and catalase activities using native PAGE. C R
Biol.
2008;331(9):655-62. 10. Rezg R, Mornagui B, El-Fazaa S,
Gharbi N. Caffeic acid
attenuates malathion
induced metabolic disruption in rat liver, involvement of
acetylcholinesterase activity. Toxicology. 2008;250(1):27-31. 11. Contreras HR, Bustos-Obregón E.
Morphological alterations in
mouse testis by a single dose of malathion. J Exp Zool.
1999;284(3):355-9. 12. Penna-Videau S, Bustos-Obregón
E, Cermeño-Vivas JR, Chirino D.
Malathion Affects Spermatogenic Proliferation in Mouse. Int J Morphol.
2012;30(4):1399-407. 13. Truhaut R, Vernin H.
[micromethod of determination of true
cholinesterase activity in whole blood]. Ann Biol Clin (Paris).
1964;22:419-28. 14. Duty SM, Silva MJ, Barr DB,
Brock JW, Ryan L, Chen Z, et al.
Phthalate exposure and human semen parameters. Epidemiol Camb Mass.
2003;14(3):269-77. 15. Mocarelli P, Gerthoux PM,
Patterson DG, Milani S, Limonta G,
Bertona M,
et al. Dioxin Exposure, from Infancy through Puberty, Produces
Endocrine
Disruption and Affects Human Semen Quality. Environ Health Perspect.
2008;116(1):70-7. 16. Abell A, Ernst E, Bonde JP.
Semen quality and sexual hormones
in greenhouse workers. Scand J Work Environ Health. 2000;26(6):492-500.
17. Juhler RK, Larsen SB, Meyer O,
Jensen ND, Spanò M, Giwercman A,
et al.
Human semen quality in relation to dietary pesticide exposure and
organic diet. Arch Environ Contam Toxicol. 1999;37(3):415-23. 18. Oliva A, Spira A, Multigner L.
Contribution of environmental
factors to the
risk of male infertility. Hum Reprod Oxf Engl. 2001;16(8):1768-76. 19. Larsen SB, Giwercman A, Spanò
M, Bonde JP. A longitudinal study
of semen
quality in pesticide spraying Danish farmers. The ASCLEPIOS Study
Group.
Reprod Toxicol Elmsford N. 1998;12(6):581-9. 20. Padungtod C, Savitz DA,
Overstreet JW, Christiani DC, Ryan LM,
Xu X. Occupational pesticide exposure and semen quality among Chinese
workers. J
Occup Environ Med. 2000;42(10):982-92. 21. Lifeng T, Shoulin W, Junmin J,
Xuezhao S, Yannan L, Qianli W,
et al. Effects
of fenvalerate exposure on semen quality among occupational workers.
Contraception. 2006;73(1):92-6. 22. Hernández AF, Parrón T,
Tsatsakis AM, Requena M, Alarcón R,
LópezGuarnido O. Toxic effects of pesticide mixtures at a molecular
level: their
relevance to human health. Toxicology. 2013;307:136-45. 23. Schug TT, Janesick A, Blumberg
B, Heindel JJ. Endocrine
disrupting chemicals and disease susceptibility. J Steroid Biochem Mol
Biol. 2011;127(3-
5):204-15. 24. Sharpe RM.
Environmental/lifestyle effects on spermatogenesis.
Philos
Trans R Soc B Biol Sci. 2010;365(1546):1697-712. 25. Geng X, Shao H, Zhang Z, Ng JC,
Peng C. Malathion-induced
testicular toxicity is associated with spermatogenic apoptosis and
alterations in testicular enzymes and hormone levels in male Wistar
rats. Environ Toxicol
Pharmacol. 2015;39(2):659-67. 26. Slimen S, Saloua EF, Najoua G.
Oxidative stress and cytotoxic
potential
of anticholinesterase insecticide, malathion in reproductive toxicology
of male adolescent mice after acute exposure. Iran J Basic Med Sci.
2014;17(7):522-30. 27. Uzun FG, Kalender S, Durak D,
Demir F, Kalender Y.
Malathion-induced testicular toxicity in male rats and the protective
effect of vitamins C and E.
Food Chem Toxicol Int J Publ Br Ind Biol Res Assoc. 2009;47(8):1903-8. 28. Krause W. Influence of DDT,
DDVP and malathion on FSH, LH and
testosterone serum levels and testosterone concentration in testis.
Bull Environ
Contam Toxicol. 1977;18(2):231-42. 29. Choudhary N, Goyal R, Joshi SC.
Effect of malathion on
reproductive system of male rats. J Environ Biol. 2008;29(2):259-62. 30. Bustos-Obregón E,
González-Hormazabal P. Effect of a single
dose of
malathion on spermatogenesis in mice. Asian J Androl. 2003;5(2):105-7. 31. Navarro OE, Bustos HR, Molina
HK, Arriaza C. Efecto del
insecticida
malathion sobre el epitelio germinativo de testículo de ratón cf1.
Interciencia Rev Cienc Tecnol América. 2015;40(8):560-3. 32. Fernández A. DG, Mancipe G. LC,
Fernández A. DC. intoxicación
por organofosforados. Rev Med. junio de 2010;18(1):84-92. 33. Uzunhisarcikli M, Kalender Y,
Dirican E, Kalender S, Ogutcu A,
Buyukkomurcu F. Acute, subacute and subchronic administration of methyl
parathion-induced testicular damage in male rats and protective role of
vitamins C and E. Pestic Biochem Physiol. 2007;87:115-22. 34. Koji T, Hishikawa Y. Germ cell
apoptosis and its molecular
trigger in mouse
testes. Arch Histol Cytol. 2003;66(1):1-16. 35. Youle RJ, Strasser A. The BCL-2
protein family: opposing
activities that mediate cell death. Nat Rev Mol Cell Biol.
2008;9(1):47-59. 36. Korsmeyer SJ. BCL-2 gene family
and the regulation of
programmed cell
death. Cancer Res. 1999;59(7 Suppl):1693s-700s. 37. Basu A, Haldar S. The
relationship between BcI2, Bax and p53:
consequences for cell cycle progression and cell death. Mol Hum Reprod.
1998;4(12):1099-109.