Incidentaloma suprarrenal: ¿cuándo mantener la sospecha, aunque haya un buen lavado?

Adrenal Incidentaloma: When to keep suspecting even after good washout time?

Duque-Ramírez J ¹ , Castro-Pinzón A ¹ , Díaz-Tribaldos D ¹


¹ Unidad de Endocrinología, Universidad Nacional de Colombia

Autor de correspondencia: : Juan José Duque-Ramírez.
Correo electrónico: jduquera@unal.edu.co
Fecha de recepción: 17/12/2020
Fecha de aceptación: 15/01/2021




Resumen

Se presenta a un hombre de 58 años, con hallazgo de masa incidental en la glándula suprarrenal izquierda. La tomografía computarizada de abdomen con protocolo para suprarrenales calculó un lavado absoluto del contraste de 72 %. La imagen de resonancia magnética de abdomen mostró intensidad de señal intermedia en T2 y baja en T1, sin presencia de grasa microscópica en secuencias eco gradiente fuera de fase. La bioquímica inicial fue normal, excepto por niveles de cortisol post dexametasona mayores de 1,8 μg/dL y una 17-hidroxiprogesterona elevada. Se discute el enfoque diagnóstico y el abordaje de las lesiones suprarrenales.

Palabras clave: adenoma corticosuprarrenal, neoplasias de las glándulas suprarrenales, carcinoma corticosuprarrenal, feocromocitoma, imagen por resonancia magnética, tomografía computarizada por rayos X.


Abstract

We present the case of a 58-year-old male with an incidental left adrenal mass. The adrenal contrast-enhanced computer tomography protocol showed an absolute washout time of 72 %. An abdomen magnetic resonance imaging was also performed, showing intermediate signal intensity in T2 and low intensity in T1, with poor lipid content in the in-phase and out-of-phase sequences. The biochemistry showed a possible cortisol production with a slightly unsuppressed 1 mg postdexamethasone suppression test, and an elevated 17 hydroxyprogesterone. The diagnostic and therapeutic approach of the adrenal incidentaloma is discussed in this paper.

Keywords: Adrenocortical Adenoma; Adrenal Gland Neoplasms; Adrenocortical carcinoma; Pheochromocytoma; Magnetic Resonance Imaging Tomography; X-Ray Computed.


Introducción

Los incidentalomas suprarrenales son un motivo de consulta frecuente (1). Aunque la mayoría de los casos son benignos, el rol del endocrinólogo es identificar patologías con morbilidad o mortalidad significativa. A continuación, se presenta el caso de un paciente con un incidentaloma suprarrenal de características no concluyentes y desenlace poco frecuente.


Reporte de caso

Hombre de 58 años que consulta por dolor epigástrico de una semana de evolución, de intensidad 6/10 en la escala análoga de dolor. Para su estudio realizan una tomografía computarizada (TC) de abdomen en donde se encuentra una masa en la glándula suprarrenal izquierda de 34 × 31 mm de diámetro. El dolor se autolimita sin documentarse patología aguda. En la revisión por sistemas refirió palpitaciones de 10 años de evolución controladas con metoprolol y picos de hipertensión arterial (HTA) esporádicos. Adicionalmente, informó diaforesis nocturna ocasional y estreñimiento con hábito intestinal cada 3 días.

En sus antecedentes figuraba la historia de HTA desde hacía 22 años y osteoartrosis. Su esquema farmacológico incluía amlodipino, losartán, metoprolol y atorvastatina. No tenía antecedentes quirúrgicos, tampoco de alergias o consumo de licor, aunque fue fumador con 14 paquetes/año hace 36 años.

Al examen físico se encuentra en buenas condiciones, signos vitales normales, peso de 70 kg e índice de masa corporal (IMC) de 24 kg/m² , sin ningún hallazgo anormal.

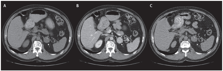
Se solicitó una TC abdominopélvica con contraste que informa un nódulo de 34×30×35 mm en la glándula suprarrenal izquierda, con densidad de tejidos blandos y pequeñas calcificaciones en su interior, que realza de forma homogénea con el medio de contraste. Posteriormente se tomó TC de abdomen con contraste aplicando protocolo para suprarrenales que calcula densidades en fase simple en 35 unidades Hounsfield (UH), 131 UH a los 60 segundos y 63 UH a los 15 minutos, para un lavado absoluto del 72 %. Dada la rápida captación del contraste en la fase arterial, se sugiere el diagnóstico diferencial de feocromocitoma (Figura 1). Adicionalmente se tomó imagen de resonancia magnética (RM) de abdomen, que reportó lesión focal dependiente de cuerpo de glándula suprarrenal izquierda de 31 mm, con contornos lobulados bien definidos, intensidad de señal intermedia en T2 y baja en T1, sin presencia de grasa microscópica en secuencias eco gradiente fuera de fase.

En la Tabla 1 se reporta la bioquímica sanguínea inicial, la cual es en general normal, a excepción de una leve elevación de la noradrenalina plasmática y el nivel de cortisol posprueba de dexametasona mayor de 1,8 μg/dL. Ante dudas sobre la posible producción autónoma de hormonas suprarrenales y malignidad potencial, se decide repetir perfil hormonal incluyendo esteroides sexuales.

El caso se lleva a junta médica con el servicio de urología oncológica y se decide realizar adrenalectomía laparoscópica unilateral, teniendo en cuenta la posible secreción esteroidea y la pobre cantidad de lípidos observada en las imágenes realizadas.

Posteriormente se recibe reporte histopatológico compatible con carcinoma corticosuprarrenal, con compromiso de la cápsula y extensión focal a los tejidos blandos adyacentes con un Ki67 del 5 %. Con este reporte se define estadificación ENSAT III y se decide iniciar terapia médica con mitotano, la cual tolera adecuadamente.


Discusión

La prevalencia del incidentaloma suprarrenal varía desde 1,9 % en series de TC de abdomen y llegando al 9 % en evaluaciones de autopsias. Un reporte latinoamericano realizado en Brasil mediante el uso de TC encontró una prevalencia de 2,5 % (2). Es más común a medida que aumenta la edad, siendo muy raro en menores de 30 años (1).

Las características imagenológicas de las masas suprarrenales permiten determinar el riesgo de malignidad. El 90 % de las lesiones neoplásicas tienen un tamaño mayor de 4 cm. Este corte de 4 cm tiene una sensibilidad del 93 % para carcinoma corticosuprarrenal (3).

En la TC sin contraste, una densidad menor de 10 unidades Hounsfield (UH), en especial si es homogénea, descarta malignidad (4). Sin embargo, hasta el 30 % de los adenomas benignos puede tener más de 10 UH, generalmente entre 10 y 20 UH. En este caso, se recomienda realizar una TC con protocolo suprarrenal para determinar el lavado absoluto o relativo de la lesión (5).

Aunque la recomendación de las guías es la realización del protocolo de lavado, su evidencia es débil, dado la falta de estudios prospectivos con verdaderos incidentalomas que evalúen esta característica. Solo un estudio de 50 pacientes cumple estos criterios encontrando una sensibilidad y especificidad del 95 % y 96 %, respectivamente (6).

Las UH basales por sí solas, son importantes predictores de riesgo, independiente del patrón de lavado, tal como se evidenció en este caso. El registro alemán de cáncer determinó un punto de corte de 21 UH como sugestivo de carcinoma corticosuprarrenal, con una sensibilidad del 96 % y una especificidad del 80 %. El rango de radiodensidad de los carcinomas corticosuprarrenales en este estudio fue de 14 a 74 UH (7).


Figura 1. Tomografía de abdomen con protocolo para suprarrenales. La flecha blanca apunta a la lesión en las 3 fases. A. Fase simple. B. Fase arterial temprana a los 60 segundos. C. Fase arterial tardía a los 15 minutos. Se observa un lavado absoluto del 72 %.
Figura 1. Tomografía de abdomen con protocolo para suprarrenales. La flecha blanca apunta a la lesión en las 3 fases.



Tabla 1. Resultados de laboratorios
Tabla 1. Resultados de laboratorios


Adicionalmente, las HU pueden predecir la presencia de feocromocitomas. Dado que la radio-intensidad del feocromocitoma y el carcinoma corticosuprarrenal se solapan, la probabilidad de tener un feocromocitoma con menos de 10 UH es del 0,5 % (1, 6).

La RM es útil clínicamente cuando no es posible la toma de TC. La evaluación del cambio de intensidad de la señal o desplazamiento químico (chemical shift) permite determinar la presencia de grasa en un tejido utilizando secuencias T1 “en fase” y “fuera de fase”. Las lesiones ricas en lípidos pierden intensidad en la secuencia “fuera de fase” y se vuelven más oscuras. Si la lesión no contiene lípidos, sus características no cambian (8, 9).

La tomografía por emisión de positrones (PET) con 18FDG no se recomienda de rutina en masas adrenales, aunque podría tener utilidad en masas sospechosas de metástasis (1). Las guías europeas no establecen criterios específicos para el uso de esta técnica en el algoritmo diagnóstico del incidentaloma suprarrenal (10).

Sin importar el estado de malignidad de la masa, siempre debe evaluarse la funcionalidad hormonal. Se recomienda en todos los casos descartar la presencia de feocromocitoma productor de catecolamina y de hipersecreción de cortisol. Solo cuando hay presencia de HTA e hipopotasemia amerita descartar hiperaldosteronismo. En mujeres con hirsutismo se debe establecer el exceso de andrógenos y la presencia de masas sugestivas de carcinoma corticosuprarrenal (1, 5).

La probabilidad de que un incidentaloma sea un feocromocitoma es del 1 a 5 % (11). La medición de metanefrinas libres en plasma o en orina para instaurar este diagnóstico tienen una sensibilidad del 90 a 100 % (12).

El hipercortisolismo es la hipersecreción hormonal más frecuente en los incidentalomas suprarrenales, con una prevalencia del 20 % sin importar la situación de malignidad (13). Rara vez estos pacientes presentan clínica florida de síndrome de Cushing, siendo algunos incluso asintomáticos. A este último escenario se le conoce como “secreción autónoma de cortisol” o síndrome de Cushing subclínico (5).

El test de cortisol posdexametasona de 1 mg es la prueba con mejor rendimiento en estos pacientes. Concentraciones menores de 1,8 μg/dL excluyen hipercortisolismo; entre 1,8 μg/dL y 5 μg/dL, zona gris, pone en consideración la secreción autónoma de cortisol; una concentración mayor de 5 μg/dL es diagnóstica de hipercortisolismo en 95 % de los casos (11). Llamativamente, el cortisol libre en orina de 24 horas no ha mostrado buenas características operativas, con sensibilidades entre el 30 % y 70 %; cuando la medición se hace mediante espectrometría de masas con cromatografía líquida (LCMS/MS), la sensibilidad y la especificad aumentan hasta 98 % y 91 %, respectivamente (1). Los estudios de cortisol salival a la hora de dormir son contradictorios, por lo que no se recomienda su uso en este escenario (1).

En los pacientes con HTA debe evaluarse la relación aldosterona-renina para evaluar la zona glomerular. Las lesiones secretoras de aldosterona son mucho menos frecuentes que el adenoma productor de cortisol o el feocromocitoma (0 % a 1,5 % de los pacientes) (11).

La secreción de esteroides sexuales es rara y sospechosa de carcinoma corticosuprarrenal. La producción puede ser tanto de andrógenos como de estrógenos, lo que en mujeres puede causar desde hirsutismo y virilización. Las manifestaciones clínicas en el hombre son menos evidentes tumores secretores de andrógenos, pero puede haber ginecomastia y atrofia testicular si hay secreción de estrógenos. Algunos adenomas benignos productores de cortisol pueden tener DHEA-S detectables a pesar de la supresión de la ACTH (1, 10).

Según sospecha diagnóstica y escenario clínico, podría considerarse la medición de 11-desoxicortisol; 17-OH-progesterona, androstenediona y testosterona en mujeres; y 17-betaestradiol en hombres y posmenopáusicas (14).

La cirugía es el manejo estándar de masas unilaterales secretoras de hormonas o sospechosas de malignidad (5). Para los nódulos no funcionales, el manejo quirúrgico no tiene ventajas claras; sin embargo, podría considerarse en lesiones grandes (>4 cm) o con síntomas de compresión de otros órganos (1). Las lesiones con imágenes no concluyentes para adenoma deben considerarse sospechosas de carcinoma corticosuprarrenal, hasta que se demuestre lo contrario (1).

En cuanto al tipo de abordaje quirúrgico, las masas con baja sospecha de malignidad pueden ser intervenidas de forma segura con adrenalectomía laparoscópica. Sin embargo, en carcinoma corticosuprarrenal existe la posibilidad de persistencias locales o siembras peritoneales cuando hay ruptura de la masa o resección incompleta (resecciones R1 o R2) (15). Es por esto por lo que cuando la sospecha de carcinoma corticosuprarrenal es alta, se prefiere un abordaje abierto, pudiéndose discutir la resección laparoscópica para masas menores de 6 cm, y con cirujanos altamente entrenados (15).

El manejo perioperatorio de pacientes con incidentaloma suprarrenal dependerá del perfil de funcionalidad de la lesión. En paciente con secreción confirmada (o sospechada) de cortisol, existe el riesgo de supresión corticosuprarrenal contralateral. Por esta razón, en todo paciente en quien se sospeche o confirme secreción de cortisol, se recomienda la administración de glucocorticoides en dosis de estrés (1, 5).

Cuando hay exceso de catecolaminas, el manejo incluye el bloqueo alfa (opcionalmente beta), la expansión de volumen circulante con cristaloides y dieta abundante en sodio. El bloqueo adrenérgico se encamina a reducir las crisis catecolaminérgicas durante la inducción operatoria y manipulación del tumor, mientras que la expansión de volumen es para evitar la hipotensión por vasoplejía una vez se retira la masa (16).

Si bien esta es la recomendación actual, la evidencia es escasa y de pobre calidad. Por esto que algunos grupos proponen abolir esta preparación, siempre y cuando haya un adecuado manejo anestésico y monitorización intraoperatoria (17).


Conclusion

El enfoque diagnóstico y terapéutico del incidentaloma suprarrenal es un reto. El clínico debe ser sistemático en descartar las causas potencialmente fatales (carcinoma corticosuprarrenal y feocromocitoma) para luego estudiar la funcionalidad y planear así el mejor manejo. El paciente presentado en este artículo tenía características de presentación no concluyentes que dificultaron el enfoque inicial. Sin embargo, la alta sospecha clínica y el uso de algunos criterios imagenológicos llevó a la decisión de cirugía. Este manejo quirúrgico resultó ser apropiado, teniendo en cuenta la patología compatible con carcinoma corticosuprarrenal. El paciente actualmente está con terapia sistémica con mitotano, con aceptable tolerabilidad, y en plan de seguimiento imagenológico y bioquímico periódico.


Referencias

1. Sherlock M, Scarsbrook A, Abbas A, Fraser S, Limumpornpetch P, Dineen R, et al. Adrenal Incidentaloma. Endocr Rev. 2020;41(6):775-820. doi: 10.1210/endrev/bnaa008
2. Ferreira EV, Czepielewski MA, Faccin CS, Accordi MC, Furtado APA. [Prevalence of adrenal incidentaloma at computed tomography (chest and abdominal) in a general hospital in Brazil]. Arq Bras Endocrinol Metabol. 2005;49(5):769–75. doi: 10.1590/s0004-27302005000500017
3. Mantero F, Arnaldi G. Management approaches to adrenal incidentalomas. A view from Ancona, Italy. Endocrinol Metab Clin North Am. 2000;29(1):107-25, ix. doi: 10.1016/s0889-8529(05)70119-5
4. Boland GW, Lee MJ, Gazelle GS, Halpern EF, McNicholas MM, Mueller PR. Characterization of adrenal masses using unenhanced CT: an analysis of the CT literature. AJR Am J Roentgenol. 1998;171(1):201-4. doi: 10.2214/ ajr.171.1.9648789
5. Fassnacht M, Arlt W, Bancos I, Dralle H, Newell-Price J, Sahdev A, et al. Management of adrenal incidentalomas: European Society of Endocrinology Clinical Practice Guideline in collaboration with the European Network for the Study of Adrenal Tumors. Eur J Endocrinol. 2016;175(2):G1- 34. doi: 10.1530/EJE-16-0467
6. Angelelli G, Mancini ME, Moschetta M, Pedote P, Pignataro P, Scardapane A. MDCT in the differentiation of adrenal masses: comparison between different scan delays for the evaluation of intralesional washout. ScientificWorldJournal. 2013;2013:957680. doi: 10.1155/2013/957680
7. Lee JH, Kim EK, Hong AR, Roh E, Bae JH, Kim JH, et al. Radiographic Characteristics of Adrenal Masses in Oncologic Patients. Endocrinol Metab (Seoul). 2016;31(1):147-52. doi: 10.3803/EnM.2016.31.1.147
8. Schieda N, Siegelman ES. Update on CT and MRI of Adrenal Nodules. AJR Am J Roentgenol. 2017;208(6):1206-17. doi: 10.2214/AJR.16.17758.
9. Platzek I, Sieron D, Plodeck V, Borkowetz A, Laniado M, Hoffmann R-T. Chemical shift imaging for evaluation of adrenal masses: a systematic review and meta-analysis. Eur Radiol. 2019;29(2):806-17. doi: 10.1007/ s00330-018-5626-5
10. Kamenicky P, Houdoin L, Ferlicot S, Salenave S, Brailly S, Droupy S, et al. Benign cortisol-secreting adrenocortical adenomas produce small amounts of androgens. Clin Endocrinol. 2007;66(6):778-88. doi: 10.1111/j.1365- 2265.2007.02810.x
11. Cawood TJ, Hunt PJ, O’Shea D, Cole D, Soule S. Recommended evaluation of adrenal incidentalomas is costly, has high false-positive rates and confers a risk of fatal cancer that is similar to the risk of the adrenal lesion becoming malignant; time for a rethink? Eur J Endocrinol. 2009;161(4):513-27. doi: 10.1530/EJE-09-0234
12. Lenders JWM, Duh Q-Y, Eisenhofer G, Gimenez-Roqueplo A-P, Grebe SKG, Murad MH, et al. Pheochromocytoma and paraganglioma: an endocrine society clinical practice guideline. J Clin Endocrinol Metab. 2014;99(6):1915-42. doi: 10.1210/jc.2014-1498
13. Vassilatou E, Vryonidou A, Michalopoulou S, Manolis J, Caratzas J, Phenekos C, et al. Hormonal activity of adrenal incidentalomas: results from a long-term follow-up study. Clin Endocrinol. 2009;70(5):674-9. doi: 10.1111/j.1365-2265.2008.03492.x
14. Fassnacht M, Dekkers O, Else T, Baudin E, Berruti A, de Krijger R, et al. European Society of Endocrinology Clinical Practice Guidelines on the management of adrenocortical carcinoma in adults, in collaboration with the European Network for the Study of Adrenal Tumors. Eur J Endocrinol. 2018;179(4):G1-46. doi: 10.1530/EJE-18-0608
15. Fassnacht M, Assie G, Baudin E, Eisenhofer G, de la Douchardiere C, Haak H, et al. Adrenocortical carcinomas and malignant phaeochromocytomas: ESMO–EURACAN Clinical Practice Guidelines for diagnosis, treatment and follow-up. Ann Oncol. 2020;31(11):1476-90. doi: 10.1016/j.annonc.2020.08.2099
16. Naranjo J, Dodd S, Martin YN. Perioperative Management of Pheochromocytoma. J Cardiothorac Vasc Anesth. 2017;31(4):1427-39. doi: 10.1053/j. jvca.2017.02.023
17. Fang F, Ding L, He Q, Liu M. Preoperative Management of Pheochromocytoma and Paraganglioma. Front Endocrinol (Lausanne). 2020;11:586795. doi: 10.3389/fendo.2020.586795.