https://doi.org/10.53853/encr.8.4.688

Recibido: 16 de octubre de 2021; Aceptado: 13 de diciembre de 2021

Anatomía microscópica normal de la glándula tiroides: principios básicos para el residente de Endocrinología y anatomía patológica con una breve nota histórica


Microscopic anatomy of the normal thyroid gland. Basic principles for Endocrinology and Pathological anatomy residents, with a brief historical note

A. Heredia-Jara, 1* C. Ortiz-Hidalgo, 12

Departamento de Anatomía Patológica, Clínica Fundación Médica Sur, Ciudad de México, México Departamento de Anatomía Patológica Clínica Fundación Médica Sur Ciudad de México México
Departamento de Biología celular y Tisular, Escuela de Medicina, Universidad Panamericana, Ciudad de México, México Universidad Panamericana Departamento de Biología celular y Tisular Escuela de Medicina Universidad Panamericana Ciudad de México Mexico

Correspondencia: ortizhidalgocarlos@gmail.com

Resumen

Contexto:

es necesario conocer las características histológicas normales de la glándula tiroides para comprender los procesos patológicos de esta glándula.

Objetivo: esta es una revisión práctica sobre la estructura normal de la glándula tiroides, dirigida a residentes de Endocrinología y anatomía patológica.

Metodología: se realizó una búsqueda bibliográfica sobre la histología normal de la glándula tiroides y se utilizó material histológico del Departamento de Patología del Hospital Médica Sur (México).

Resultados:

la glándula tiroides normal está formada por dos lóbulos laterales conectados centralmente por un istmo. Esta glándula es color marrón clara y de consistencia firme, con un peso de 15 a 25 g. Aproximadamente en el 80 % de los individuos existe un lóbulo piramidal que se extiende hacia arriba desde el istmo a lo largo de la superficie anterior del cartílago tiroides. Este lóbulo es un remanente del conducto tirogloso. Histológicamente, la tiroides está formada por numerosos folículos esféricos con un diámetro promedio de 200 μm. Cada folículo está revestido por células epiteliales planas, cuboidales o cilíndricas y tiene en el centro coloide secretado por las células epiteliales, bajo la influencia de la hormona estimulante de la tiroides. Existe un segundo grupo de células, las células C o células parafoliculares, ubicadas principalmente en los polos superiores de los lóbulos tiroideos, que secretan calcitonina.

Conclusiones:

En la glándula tiroides se presentan diversos procesos patológicos por lo que es importante conocer su estructura normal para interpretar adecuadamente cada proceso.

Palabras clave:

Glándula tiroides, anatomía, embriología, histología, inmunohistoquímica..

Abstract

Background:

It is necessary to know the normal histology of the thyroid gland to understand the pathological processes of this gland.

Purpose:

This is a practical review on the normal structure of the thyroid gland, aimed at residents of endocrinology and anatomical pathology.

Methodology:

A bibliographic search was carried out on the normal histology of the thyroid gland and histological material from the Department of Pathology of the Hospital Medica Sur (Mexico) was used.

Results:

The normal thyroid gland is formed by two lateral lobes connected centrally by an isthmus. This gland is light brown in color and firm in consistency, weighing 15 to 25 g. In approximately 80 percent of individuals, a pyramidal lobe is present, extending upward from the isthmus along the anterior surface of the thyroid cartilage. This lobe is a remnant of the thyroglossal duct. Histologically, the thyroid is formed by numerous spherical follicles average 200 μm in diameter. Each follicle is lined by a flat to cuboidal to cylindrical epithelial cells and contains a central store of colloid secreted from the epithelial cells under the influence of the thyroid stimulating hormone. There is a second group of cells, the C cells or parafollicular cells mainly located in the upper poles of the thyroid lobes, which secrete calcitonin.

Conclusions:

Various pathological processes occur in the thyroid gland therefore it is important to know its normal structure to properly interpret each process.

Keywords:

Thyroid gland, anatomy, embryology, histology, immunohistochemistry..

Introducción y nota histórica

La glándula tiroides es un sitio frecuente de diversas patologías que requiere del conocimiento de la anatomía microscópica básica. Tanto para el residente de Endocrinología como para el de Anatomía Patológica es necesario conocer la histología de esta glándula para interpretar adecuadamente las alteraciones tiroideas.

Se presenta en este artículo una panorámica general de la histología de la glándula tiroides con algunas implicaciones clínicas.

La tiroides es una glándula endocrina que se ubica en la porción anterior del cuello, contigua a la laringe y a la tráquea (1). Recibe su nombre del hecho de que está próxima al cartílago tiroides y gracias a la palabra griega thyreoeides, la cual significa escudo o puerta (2, 3). En el renacimiento italiano ya había sido documentada la tiroides, el polímata florentino Leonardo da Vinci (1452-1519) la dibujó por primera vez en forma de dos glándulas separadas, una a cada lado de la laringe, y sugirió que “estaba hecha para llenar el espacio donde faltan los músculos y sujetarla del hueso hioides” (4) (figura 1)A.

Posteriormente, Andreas Vesalius (1514- 1564) en su libro De humani corporis fabrica libri septem, dibujó esta glándula y la llamó “Glandulae laryngi appositae” (glándula unida a la laringe) (3). Vesalio igualmente la describió formada por dos lóbulos y pensó que estos eran órganos separados (figura 1B). Esta fue la creencia por algún tiempo hasta que, primero, Bartolomeo Eustachio (Eustachi) (c-1500-1574) describió la parte que conecta los dos lóbulos de la glándula y la llamó istmo, y Giovanni Battista Morgagni (1682-1771) confirmó que en efecto los dos lóbulos estaban conectados y que la tiroides era un solo órgano (2).

En 1656, el anatomista inglés de la Universidad de Oxford, Thomas Wharton (1614-1673), en su texto Adenographia sive glandularum totius corporis descriptio, la llamó “glandulis thyroideis” (Wharton también describió el conducto de la glándula submandibular, conducto de Wharton, y a la sustancia rica en mucopolisacáridos del cordón umbilical, gelatina de Wharton). De acuerdo con Bondeson y Bondeson (5), es posible que Mateo Realdo Colombo (Realdus Columbus) (1516- 1559), alumno de Vesalio y quien lo sustituyó como profesor en Padua, haya sido el primero en distinguir los dos lóbulos de la glándula tiroides como un órgano que llamó “glandula laryngis”, en su libro De Re Anatomica, editado en 1559 (5) (figura 1 C).Esta publicación no contiene dibujos, pues estos habían sido encargados a Miguel Ángel (Michelangelo Buonarroti) (1475- 1564), pero nunca los completó (2).Miguel Ángel muy posiblemente supo sobre la glándula tiroides, al menos en forma de bocio, pues en el fresco titulado “Separación de la luz de la oscuridad”, localizado en el techo de la capilla Sixtina, ilustra al “Creador” con un crecimiento en el cuello que bien puede ser bocio 5.

A) dibujo de Leonardo da Vinci que ilustra la laringe y la glándula tiroides formada por dos lóbulos, B) boceto anatómico de la glándula tiroides, dibujando en el libro de anatomía de Andreas Vesalius de 1543 Andreae Vesalii Bruxellensis De humani corporis fabrica libri septem. Basileæ: Ex officina Ioannis Oporini, C) Mateo Realdo Colombo (Realdus Columbus) (1516-1559) Nota explicativa:figuraA: es posible que este dibujo corresponda a la primera representación de la glándula tiroides y probablemente sea una tiroides no humana.

Figura 1: : A) dibujo de Leonardo da Vinci que ilustra la laringe y la glándula tiroides formada por dos lóbulos, B) boceto anatómico de la glándula tiroides, dibujando en el libro de anatomía de Andreas Vesalius de 1543 Andreae Vesalii Bruxellensis De humani corporis fabrica libri septem. Basileæ: Ex officina Ioannis Oporini, C) Mateo Realdo Colombo (Realdus Columbus) (1516-1559) Nota explicativa:figuraA: es posible que este dibujo corresponda a la primera representación de la glándula tiroides y probablemente sea una tiroides no humana.

Fuente: elaboración propia.

Sobre su función, Galeno de Pérgamo (129-c. 201/216) indicó que las secreciones de la tiroides lubricaban la laringe y al cartílago adyacente y también se le atribuyeron funciones de reservorio de sangre para el cerebro, o el mismo Wharton propuso que era un órgano estético para mejorar la belleza del cuello de la mujer (6). En 1776, el médico suizo Albrecht von Haller (1708-1777) describió la tiroides como una glándula sin conducto, cuya secreción podría ser vertida a la circulación, lo que dio inicio al conocimiento del sistema endocrino (2,6).

A comienzos del siglo pasado, el médico austriaco Julius Wagner-Jauregg (1857-1940) y premio Nobel en Medicina en 1927 (por sus estudios sobre el tratamiento de la parálisis periódica luética con paludismo) se dio cuenta que el yodo era el “nuevo remedio” para mejorar los síntomas cerebrales del cretinismo, ya que estudió la psicosis y el cretinismo y trató el bocio mediante la administración de yodo y extractos de la glándula tiroides.

Berta von Zuckerkandl-Szeps (Bertha Szeps - 1864-1945), la esposa del distinguido anatomista austriaco Emil von Zuckerkandl (quien describió el paraganglio que se encuentra en el espacio intercavoaórtico, por arriba de la bifurcación aórtica-órgano de Zuckerkandl), describió en sus memorias sobre el éxito del tratamiento de Wagner- Jauregg en pacientes con cretinismo que le mostró en una excursión al valle en Estiria, Austria, que era una zona con grave deficiencia de yodo (7).

En 1914, el bioquímico Edward Calvin Kendall (1886-1972), de la clínica Mayo, aisló de las glándulas tiroides de bovinos la hormona que llamó “tiroxina”, sin embargo, asignó la estructura química incorrecta, pero su extracto cristalino tenía la actividad biológica correcta. Kendall obtuvo en 1950 en el Premio Nobel de Medicina, pero no por sus logros en la investigación de la tiroides, sino más bien por sus estudios sobre la estructura y los efectos biológicos de las hormonas de las glándulas suprarrenales (premio compartido con Philip S. Hench y Tadeus Reichstein) (8). En realidad, le debemos la descripción correcta de la estructura química y síntesis de tiroxina (tetrayodotironina - T4), al químico galés Charles R. Harington (1897-1972), quien fue más tarde y por muchos años, director del National Institute for Medical Research en Londres, Inglaterra. Por sus logros en este campo, Harington fue propuesto en siete ocasiones (de 1929 a 1953) para el premio Nobel, pero nunca le fue otorgado el preciado galardón (2, 9).

Desarrollo embriológico y anatomía general.

El desarrollo de la tiroides comienza entre la tercera y la cuarta semana de gestación y es la primera glándula endocrina en emerger durante el proceso embriológico. Los cuatro factores de transcripción de genes: Hhex, TITF-1 (Nkx2-1), TTF-2 (Foxe1) y PAX-8 son los esenciales para la maduración y la diferenciación tiroidea (10).

La tiroides se origina a partir de un engrosamiento endodérmico del piso de la lengua en el sitio del foramen ciego, el cual se encuentra donde la línea media se cruza con el sulcus terminalis que divide la lengua en dos tercios anteriores (parte oral) y tercio posterior (parte faríngea). Por lo anterior, es posible encontrar tejido tiroideo normal en la base de la lengua (tiroides lingual) que resulta de una anomalía embriológica del descenso de esta glándula (11).

El primordio tiroideo desciende a través de la línea media del cuello en forma de conducto (conducto de Vater o ductus lingualis de His), hasta su destino final frente a la tráquea a la altura del cartílago cricoides, donde se divide en dos lóbulos. La persistencia de restos de esta estructura se conoce como “conducto tirogloso persistente” y puede dar origen al “quiste del conducto tirogloso”. Durante el descenso, hacia la quinta semana, la parte superior del conducto se degenera, pero un fragmento puede permanecer y formar el lóbulo piramidal, presente hasta en el 80 % de las personas (12) (figura 2). Durante la novena semana de gestación, las células endodérmicas se diferencian en láminas de células que se disponen en folículos y adquieren la capacidad de formar tiroglobulina (13). Hacia la decimocuarta semana, los folículos están bien desarrollados y se encuentran revestidos por células foliculares que contienen coloide en su luz.

Los primordios laterales de la tiroides derivan del cuerpo último branquial (CUB) que aparece como un pequeño saco de la cuarta bolsa faríngea (técnicamente quinta, pero esa es rudimentaria y se fusiona con la cuarta), durante la quinta semana de desarrollo embrionario. De esta cuarta bolsa faríngea se originan las paratiroides superiores, que junto con células del CUB se desprenden de la pared de las bolsas faríngeas y comienzan su migración medio caudal. Las paratiroides se adhieren a la superficie dorsal de la tiroides y las células del CUB se incorporan a los lóbulos laterales tiroideos y se dispersan a través del intersticio superior y medio, estas células dan origen a las células C (parafoliculares), así como los cuerpos sólidos (vide infra) (11), sin embargo, recientemente se ha sugerido que las células C pueden tener origen endodérmico (14).

Las células C se distribuyen predominantemente en la parte superior de los lóbulos laterales y están ausentes en la zona del istmo, lo anterior explica el por qué el carcinoma medular suele localizarse predominantemente en los polos superiores de la tiroides y prácticamente nunca en el istmo o el lóbulo piramidal (15). El tejido tiroideo ectópico puede aparecer en cualquier punto a lo largo del recorrido del descenso de la tiroides (10), en raras condiciones, la tiroides puede descender a la parte superior del tórax u a otros sitios extratorácicos (10, 16).

tiroides Nota explicativa: la flecha ilustra el lóbulo piramidal.

Figura 2: Glándula: tiroides Nota explicativa: la flecha ilustra el lóbulo piramidal.

Fuente: elaboración propia

La glándula tiroides se extiende desde la altura de la quinta vértebra cervical a la primera vértebra torácica y está compuesta por dos lóbulos conectados por el istmo, el cual atraviesa la superficie anterior al nivel del segundo y tercer cartílago traqueal. La glándula pesa entre 15 y 25 g y cada lóbulo mide aproximadamente 5 cm de longitud y 2,5 cm de ancho, aunque generalmente el lóbulo derecho es un poco más grande (1). El tamaño de la tiroides suele ser un poco más grande en las mujeres, ya que puede aumentar de tamaño durante el embarazo y en la fase secretora del ciclo menstrual (1); además, existen variaciones significativas relacionadas con el género, la edad, la masa corporal, el estatus hormonal, el estado funcional de la glándula y la ingesta de yodo (1). El lóbulo piramidal se extiende del istmo centralmente hacia arriba (12) y las cuatro glándulas paratiroides suelen estar estrechamente relacionadas con la glándula tiroides, y se encuentra en la superficie posterolateral de los lóbulos, aproximadamente a 1 cm de la arteria tiroidea inferior, en el 80 % de los individuos (16), aunque, en ocasiones, las paratiroides se encuentran inmersas en el parénquima tiroideo (intratiroides) (16). Las glándulas paratiroideas superiores son más dorsales o posteriores y se ubican a la altura del cartílago cricoides y las inferiores tienen una posición más variable, pero por lo general son anteriores a los nervios laríngeos recurrentes (16).

La tiroides es de color marrón claro, blanda y está rodeada por una delgada capa de tejido conectivo (fascia peritiroidea) que hacia atrás se engrosa para adosarse al cartílago cricoides. Esta fascia es el ligamento lateral de la tiroides, descrito por el cirujano canadiense James Berry en 1888 (ligamento de Berry). De la fascia peritiroidea penetran delgadas láminas de tejido conectivo hacia el parénquima para delimitar, irregularmente, lóbulos y lobulillos. Con la edad, la glándula tiroidea puede adquirir un color más oscuro debido al depósito de lipofuscina en el citoplasma de las células foliculares (melanosis thyroidi), fenómeno similar a lo que sucede con pacientes tratados con minociclina (17). Esta lipofuscina se puede hacer evidente por medio de las tinciones de PAS (ácido peryódico de Schiff) y Fontana Masson (18).

La irrigación de la glándula tiroides deriva de la arteria tiroidea inferior (rama del tronco tirocervical de la arteria subclavia) y de la arteria tiroidea superior que se origina de la carótida externa. La arteria tiroidea media es inconstante (presente en 6-16 % de la población) y emerge del tronco braquicefálico o del cayado de la aorta directamente (19). Las venas tiroideas superior y media drenan a la vena yugular interna y la vena inferior (derecha e izquierda) a sus respectivas venas braquicefálicas (1).

La inervación de la glándula tiroides deriva del sistema nervioso autónomo: las fibras parasimpáticas proceden de los nervios vagos y las fibras simpáticas de los ganglios superior, medio e inferior del tronco simpático. Estos pequeños nervios entran en la glándula junto con los vasos sanguíneos (1).

Histología funcional

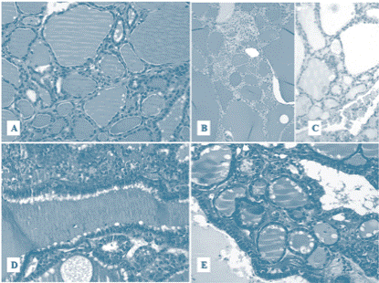
La unidad funcional y estructural de la glándula tiroides es el folículo tiroideo, el cual es una formación redonda a oval con una pared revestida por células foliculares o tirocitos, cuya morfología varía de acuerdo con el estado funcional de la glándula (1). La luz folicular contiene una masa gelatinosa llamada coloide, que se tiñe tanto con colorantes básicos (hematoxilina) como ácidos (eosina) y es positiva al PAS y al azul alcián (figuras 3 A, B y C).

En glándulas funcionalmente activas es posible encontrar, en la interfase entre el coloide y la región apical de las células foliculares, pequeñas formaciones de apariencia vacuolada llamadas “vacuolas de reabsorción” (figura 3 D). Cada folículo está separado por escaso tejido conectivo en el que se pueden encontrar vasos capilares, fibroblastos dispersos y delgadas fibras de colágeno, evidentes con la tinción de Masson Figura (3 E). El diámetro de los folículos varía de 50 μm a 1 mm, según se encuentre en la fase secretora o de almacenamiento (1).

Los folículos tiroideos están compuestos por dos tipos de células: 1) las células foliculares que son las responsables de la producción, síntesis y almacenamiento de las hormonas tiroideas: triyodotironina (T3) y tiroxina (T4), y 2) las células C (parafoliculares) que son los componentes del sistema neuroendocrino difuso y producen la calcitonina. Las células foliculares están unidas entre sí mediante desmosomas y la membrana celular apical (la que ve hacia el coloide) presenta microvellosidades que varían en longitud de acuerdo con el estado funcional de la glándula (1).

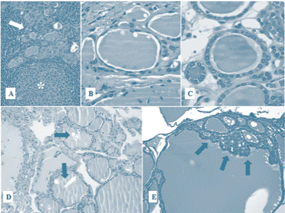
El citoplasma es levemente eosinófilo con núcleos redondos, cromatina homogénea y con uno o más nucleolos, poseen además abundante retículo endoplásmico rugoso, aparato de Golgi, numerosos lisosomas y mitocondrias. En ocasiones, el citoplasma de las células foliculares presenta eosinofilia intensa, lo que se conoce como células de Hurthle u oncocitos, resultado del contenido de abundantes mitocondrias (20) (figura 4A).

El epitelio folicular puede variar dependiendo del estado funcional de la glándula, cuando la tiroides presenta inactividad y los folículos están llenos de coloide, las células foliculares pueden ser cúbicas bajas o casi planas, mientras que son cilíndricas altas cuando hay gran actividad y se ha liberado el coloide (figuras 4 B y C).

El coloide está compuesto por la tiroglobulina que es una glucoproteína dimérica yodada de 660 kDa con 2768 aminoácidos, producida por las células foliculares. Es frecuente encontrar en el coloide espacios irregulares claros que contienen cristales birrefringentes de oxalato de calcio (weddelitta) (figura 4 D). Estos cristales pueden encontrarse hasta en el 73,1 % de las tiroides normales, no se observan en menores de 10 años y son más frecuentes en las personas mayores de 70 años (21). La presencia de estos cristales posiblemente se asocie con un bajo estado funcional de los folículos tiroideos (21).

A) folículos tiroideos con coloide que pueden teñirse tanto acidófilos como basófilos, B) el coloide es positivo a la tinción de PAS, C) al azul alcián, D) en glándulas activas se pueden observar vacuolas de reabsorción entre el coloide y la región apical de las células foliculares, E) tinción de Masson, donde se observan láminas delgadas de colágena (color azul) entre los folículos.

Figura 3.: A) folículos tiroideos con coloide que pueden teñirse tanto acidófilos como basófilos, B) el coloide es positivo a la tinción de PAS, C) al azul alcián, D) en glándulas activas se pueden observar vacuolas de reabsorción entre el coloide y la región apical de las células foliculares, E) tinción de Masson, donde se observan láminas delgadas de colágena (color azul) entre los folículos.

Ocasionalmente en glándulas tiroides normales, pero más frecuentemente en las hiperplásicas, se pueden observar agregados de células foliculares de aspecto papilar que sobresalen hacia la cavidad folicular, llamados “cojinetes de Sanderson-Damberg” (figura 4 E). Estos agregados se ven en un polo del folículo y representan células foliculares hiperreactivas (22). Estas estructuras son benignas, pero hay que estar familiarizado con ellas, pues por sus características papilares se pueden confundir con el carcinoma papilar de la tiroides (22).

Por inmunohistoquímica, las células foliculares expresan tiroglobulina y el receptor para tirotropina, que son probablemente los marcadores más específicos del epitelio folicular tiroideo (figuras 5A,B y C). Además, hay expresión nuclear de TTF-1 (factor de transcripción tiroideo 1 y PAX 8, y citoplásmica de diversas citoqueratinas como CK 7, CK18, CK19, CAM5.2 y 34βE11. El antígeno epitelial de membrana (EMA), diversas claudinas, el EGFR (receptor del factor de crecimiento epidérmico), la vimentina y los receptores de estrógenos β, igualmente suelen ser positivos (1).

Las células C (células parafoliculares) representan el 0,1 % del volumen glandular y se ubican en la periferia del epitelio folicular, por lo general dentro de la membrana basal del folículo, pero sin estar expuestas a la luz folicular (figura 5 D). Se prefiere el término de células C ya que estas no siempre están relacionadas con folículos en localización parafolicular, ya que pueden encontrarse también en el intersticio tiroideo

A)Células de Hürthle u oncocitos (flecha) en un caso de tiroiditis de Hashimoto, B) epitelio folicular plano simple, C) epitelio folicular cúbico/cilíndrico simple, D) cristales de oxalato de calcio (weddelitta) flechas, E) “cojinetes de Sanderson-Damberg” (flechas) Nota explicativa: figura A) nótese la presencia de un folículo linfoide (*).

Figura 4: A)Células de Hürthle u oncocitos (flecha) en un caso de tiroiditis de Hashimoto, B) epitelio folicular plano simple, C) epitelio folicular cúbico/cilíndrico simple, D) cristales de oxalato de calcio (weddelitta) flechas, E) “cojinetes de Sanderson-Damberg” (flechas) Nota explicativa: figura A) nótese la presencia de un folículo linfoide (*).

Fuente: elaboración propia.

(23). Las células C no son fáciles de identificar en cortes teñidos con hematoxilina y eosina (H&E), aunque suelen ser metacromáticas con azul de toluidina.

Los núcleos de estas células son algo más grandes y pálidos que los de las foliculares y el citoplasma es eosinófilo pálido. Por microscopía electrónica se identifican numerosos gránulos neurosecretores de diferente densidad, los gránulos tipo I miden 280 nm, son moderadamente densos en electrones y están presentes en la mayoría de las células C, y los gránulos tipo II miden 130 nm, son más electrodensos y escasos. Las células C producen calcitonina, hormona de 32 aminoácidos purificada en 1962 por Douglas Harold Copp y Barbara J. Cheney en la Universidad de Columbia Británica en Canadá (24), su función principal es la regulación del calcio sérico y su secreción está regulada por la concentración de calcio en la sangre. Las células C también producen bombesina, somatostatina, melatonina y serotonina, cuya función no está bien determinada (25).

Por la técnica de hematoxilina y eosina no es fácil reconocer las células C, por lo que el procedimiento más confiable para identificarlas es por medio de inmunohistoquímica con anti- calcitonina (figura 5 E). Además, estas células pueden expresar: el péptido relacionado al gen de la calcitonina (CGRP: Calcitonin Gene- Related Peptide), la sustancia P, serotonina, enolasa neuronal específica (NSE; neuron specific enolase), cromogranina A, sinaptofisina, antígeno carcinoembrionario (CEA; Carcinoembryonic

Las células foliculares (tirocitos) pueden expresar A)tiroglobulina, B)TTF-1, C)PAX8, D)células C(parafoliculares / flecha) (histology-guide /dominio público) Nota explicativa: figura D) las células C expresan calcitonina.

Figura 5: Las células foliculares (tirocitos) pueden expresar A)tiroglobulina, B)TTF-1, C)PAX8, D)células C(parafoliculares / flecha) (histology-guide /dominio público) Nota explicativa: figura D) las células C expresan calcitonina.

Fuente: elaboración propia.

Antigen), somatostatina y son negativas a la tiroglobulina, TTF-1 y PAX8 (1).

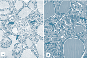
Los cuerpos sólidos son otro componente celular tiroideo presentes hasta en el 60 % de las glándulas. Estos son conglomerados celulares originados del cuerpo ultimobranquial (CUB) y están constituidos de células poligonales a alargadas, con núcleos centrales ovalados y moderado citoplasma, que en ocasiones puede ser muy eosinófilo intenso, lo que le da características escamoides (1) (figura 6). Por inmunohistoquímica expresan p63, p40, GATA3, Galectina-3, CK19 y Bcl-2, y son negativos a la tiroglobulina, TTF-1 y calcitonina (26, 27).

Los cuerpos sólidos fueron descritos por la patóloga bielorrusa Sophia Getzowa en 1907 (cuerpos de Getzowa) (28) y es posible que sean células pluripotenciales que contribuyen tanto a la histogénesis de las células C (parafoliculares) como a la de las células foliculares, así como a algunos tumores tiroideos como el carcinoma mucoepidermoide primario tiroideo y el carcinoma que muestra diferenciación similar al timo, conocido con el acrónimo de Castle (carcinoma showing thymus-like differentiation) (29, 30). Es importante reconocer los cuerpos sólidos, pues pueden confundirse con hiperplasia de células C, carcinoma medular de tiroides y con el carcinoma epidermoide (escamoso), primario o metastásico.

Principios básicos de la producción de hormona tiroidea

Las células foliculares producen dos hormonas, tiroxina (T4 / con cuatro átomos de yodo) y triyodotironina (T3 / tres átomos de

A y B) Muestra de cuerpos sólidos (cuerpos de Getzowa) Nota explicativa: son conglomerados celulares (flechas) constituidos de células poligonales a alargadas, con núcleos centrales ovalados y citoplasma eosinófilo que les da características escamoides.

Figura 6 : A y B) Muestra de cuerpos sólidos (cuerpos de Getzowa) Nota explicativa: son conglomerados celulares (flechas) constituidos de células poligonales a alargadas, con núcleos centrales ovalados y citoplasma eosinófilo que les da características escamoides.

Fuente: elaboración propia.

yodo), que son imprescindibles para la regulación del metabolismo, la síntesis proteica de todas las células, el consumo de oxígeno y especialmente importantes en el crecimiento y el desarrollo corporal (31).

La secreción de estas hormonas está regulada por la tirotropina u hormona estimulante de la tiroides (TSH: Thyroid-Stimulating Hormone), que es una hormona glucoprotéica producida por la adenohipófisis, compuesta por dos subunidades (alfa y beta), con peso molecular de 28.000 Da y, a su vez, esta hormona está controlada por la hormona liberadora de tirotropina (TRH; Thyrotropin-Releasing Hormone), que es producida por neuronas del núcleo paraventricular del hipotálamo.

La T3 es la forma activa de la hormona tiroidea y representa solo el 20 % de la hormona liberada; la mayor parte de T3 proviene de la conversión periférica de T4 a T3. La T4 constituye más del 80 % de la hormona secretada y cuando se libera en la circulación forma T3 a través del proceso de desyodación (31).

Como se vio en párrafos anteriores, la tiroglobulina es producida por las células foliculares tiroideas y su componente proteínico es sintetizado en el retículo endoplásmico rugoso y transportado por el Golgi, donde es glucosilada, empaquetada en vesículas y transportada a la luz folicular por medio de exocitosis. El yodo, ingerido en la alimentación, es transportado como yoduro y mediante cotransportadores unidireccionales de sodio/yoduros dependientes de ATPasa de la membrana celular es incorporado al citoplasma de las células foliculares y convertido en yodo por la acción de la peroxidasa tiroidea (31), el yodo se une a la tirosina y forma monoyodotirosina (MIT) y diyodotirosina (DIT) cuando se unen uno o dos átomos de yodo respectivamente. Al unirse una molécula de MIT y dos de DIT forman triyodotironina (T3) y por la unión de dos moléculas de DIT se forma tiroxina (T4). Estas moléculas de yodo son trasladadas hasta la luz del folículo mediante los transportadores pendrina y anoctamina-1 de la membrana apicaly almacenadas en el coloide junto con la tiroglobulina en el coloide folicular. Cuando se requiere tiroixina, esta se libera a partir del coloide almacenado, la célula folicular emite seudópodos citoplásmicos en su superficie luminal que engloban pequeñas gotas de coloide que son incorporadas al citoplasma en forma de endosomas y una vez en el citoplasma, estas endosomas se fusionan con lisosomas y se produce proteólisis de la tiroglobulina que se rompe en unidades menores, T3 y T4. Los productos degradados se difunden a través de la membrana celular basal hacia los capilares perifoliculares, donde se unen a proteínas transportadoras (proteína fijadora de tiroixina: TGB; Thyroxine-binding globulin, transtiretina; transports thyroxine and retinol o albúmina sérica) para ser llevadas por toda la circulación hacia los órganos blancos. La tiroglobulina se recicla de regreso a la luz folicular, donde puede continuar sirviendo como sustrato para la síntesis de la hormona tiroidea.

La secreción de hormona tiroidea por las células foliculares está principalmente regulada por TSH, que a su vez está controlada por la TRH, sin embargo, hay algunos mediadores endocrinos adicionales como estrógenos y corticosteroides que están involucrados en la regulación de la biosíntesis de T3 y T4. También, la función tiroidea está bajo la influencia de péptidos intratiroideos, pues hay evidencia de que por mecanismos paracrinos las células C liberan péptidos que actúan localmente sobre las células foliculares vecinas (25).

Conclusión

El conocimiento preciso de la morfología de la tiroides es importante para la adecuada interpretación de la patología de la glándula tiroides. Las lesiones infamatorias, autoinmunes y neoplásicas de esta glándula son problemas que se encuentran en la práctica médica diaria. El conocer la estructura normal ayuda a elaborar un mejor diagnóstico y a dirigir el tratamiento y la atención de los pacientes con enfermedades tiroideas.

Financiación

La presente investigación no ha recibido ninguna beca específica de agencias de los sectores público, comercial o sin ánimo de lucro. Los autores declaran haber seguido una conducta idónea y respetuosa en la elaboración del manuscrito.

Conflictos de interés

Los autores declaran que no tuvieron conflictos de interés asociados al desarrollo de la investigación.