https://doi.org/10.53853/encr.8.1.693

Recibido: 13 de junio de 2019; Aceptado: 19 de abril de 2021

Cáncer paratiroideo como causa de fractura y osteoporosis secundaria en el adulto mayor: reporte de caso y revisión de la literatura


Parathyroid cancer as cause of fracture and secondary osteoporosis in the elderly adult: Case report and literature review

J. Huertas-Quintero, *1 M. Romero, 1 J. Trejos, 2 L. Maldonado, 1

Unidad de Endocrinología, Departamento de Medicina Interna, Facultad de Medicina, Universidad Nacional de Colombia, Hospital Universitario Nacional, Bogotá, Colombia. Universidad Nacional de Colombia Unidad de Endocrinología, Departamento de Medicina Interna Facultad de Medicina Universidad Nacional de Colombia Bogotá Colombia
Departamento de Medicina Interna, Facultad de Medicina, Universidad Nacional de Colombia, Hospital Universitario Nacional, Bogotá, Colombia. Universidad Nacional de Colombia Departamento de Medicina Interna Facultad de Medicina Universidad Nacional de Colombia, Hospital Universitario Nacional Bogotá Colombia

Correspondencia: jahuertasq@unal.edu.co

Resumen

Introducción

. El carcinoma paratiroideo es infrecuente y más en población geriátrica, afecta el metabolismo óseo y es enmascarado por patologías comunes que causan fracturas de bajo impacto.

Objetivo.

Ilustrar el cáncer paratiroideo dentro del estudio de las fracturas patológicas y la osteoporosis secundaria, para favorecer el diagnóstico temprano en el adulto mayor.

Presentación del caso.

Mujer de 71 años con osteoporosis presentó fractura de fémur mientras caminaba. Se evidenció síndrome constitucional, anemia, nefrolitiasis y lesiones osteolíticas; se consideró metástasis óseas versus tumores pardos. Se descartaron neoplasias ginecológicas frecuentes y tumores de células plasmáticas. Estudios tomográficos mostraron nódulo pulmonar y nódulo tiroideo (4 cm), el perfil fosfocálcico indicó hiperparatiroidismo primario, gammagrafía paratiroidea Tc99 MIBI fue negativa. Previa dosis de zoledronato, se realizó exploración de paratiroides, hemitiroidectomía izquierda en bloque y paratiroidectomía superior derecha. Histología e inmunohistoquímica de masa cervical reportó carcinoma de paratiroides. Seguimiento posquirúrgico indicó paratohormona y calcio elevado, e imágenes con metástasis pulmonares.

Discusión y conclusión.

Las fracturas por osteoporosis son frecuentes, pero ante fracturas atípicas y/o puntaje Z≤-2, se deben considerar causas tumorales, infecciosas y evaluación temprana del metabolismo fosfocálcico. El cáncer de paratiroides es más frecuente alrededor de los 50 años, pero puede presentarse a cualquier edad; en adultos mayores comparte características clínicas con entidades prevalentes como osteoporosis posmenopáusica, nefrolitiasis y nódulo tiroideo. El cáncer paratiroideo tiene un espectro clínico amplio y debe ser una posibilidad diagnóstica ante fracturas patológicas o hiperparatiroidismo grave, incluso en ausencia de lesión paratiroidea en un Tc99 MIBI o en presencia de patología tiroidea. El abordaje quirúrgico temprano es la mejor opción terapéutica, y el diagnóstico histológico debe apoyarse en inmunohistoquímica por falta de características citológicas específicas del cáncer paratiroideo.

Palabras clave:

neoplasias de las paratiroides, fracturas óseas, osteoporosis posmenopáusica, fracturas de cadera, nódulo tiroideo, hiperparatiroidismo primario.

Abstract

Background.

Parathyroid carcinoma is a rare entity and it is even rarer in geriatric patients. It affects bone metabolism; it is often confused with common pathologies that cause low-impact fracture.

Objective.

To illustrate parathyroid cancer in the study of pathological fractures and secondary osteoporosis, to favor early diagnosis in the elderly.

Case presentation.

A 71-year-old woman with osteoporosis presented femur fracture while she was walking. Constitutional symptoms, anemia, nephrolithiasis, and osteolytic lesions were documented; presence of bone metastatic disease vs brown tumors were considered. Frequent gynecological neoplasms and plasma cell tumors were ruled out. Tomographic studies showed pulmonary nodule and thyroid nodule (4cm), evaluation of phospho-calcium metabolism indicated primary hyperparathyroidism, Tc-99m MIBI parathyroid scintigraphy was negative. After receiving zoledronate, the patient underwent exploratory surgery, left thyroidectomy with its parathyroid in bloc and right upper parathyroidectomy. Histopathology and immunohistochemistry of neck mass reported parathyroid carcinoma. Post-surgical follow-up showed higher PTH elevation and hypercalcemia, and follow-up images showed multiple lung metastasis.

Discussion and conclusion.

Osteoporotic fractures are frequent, however, when there is presence of atypical fractures and/or a Z-score ≤-2, tumoral and infectious causes, as well as the early evaluation of phospho-calcium metabolism must be considered. Parathyroid carcinoma is more frequent around age fifty. However, it can occur at any age. In the elderly, it shares clinical characteristics with prevalent etiologies such as postmenopausal osteoporosis, nephrolithiasis, and thyroid nodule. Parathyroid cancer has a broad clinical spectrum and should be a diagnostic possibility in atypical fractures, and severe hyperparathyroidism, even in the absence of parathyroid lesion in a 99m-MIBI-SPECT or in the presence of thyroid disease. Early surgical approach is the best therapeutic option. Histological diagnosis must be supported on immunohistochemistry due to a lack of specific cytologic features in parathyroid cancer.

Keywords:

Parathyroid Neoplasms, Fractures, Bone, Osteoporosis, Postmenopausal, Hip Fractures, Thyroid Nodule, Hyperparathyroidism, Primary..

Introducción

El cáncer paratiroideo es infrecuente con prevalencia anual del 0.005 % (1), se confunde con patologías más prevalentes por su inespecífico espectro clínico, esta característica retrasa el diagnóstico y tratamiento, afectando la sobrevida y calidad de vida de los pacientes.

Actualmente, el mejor tratamiento descrito es la resección en bloque, pero si es tardía se producen complicaciones derivadas de la hipercalcemia, las metástasis y el compromiso óseo (2), con mayor carga de enfermedad y costos para los sistemas de salud.

Las neoplasias paratiroideas malignas son responsables del 1 % de los hiperparatiroidismos primarios (3), por tanto, hay pocos casos reportados desde 1904. cuando De Quervain describe el primero (4). En la literatura latinoamericana disponible en web, por su dificultad diagnóstica, hay ~12 casos (5-8), de los cuales tres se han reportado en Colombia (9-11).

Las diversas presentaciones clínicas del carcinoma paratiroideo dificultan el reconocimiento temprano, aún más en población geriátrica y especialmente si no está presente entre las opciones del clínico. El objeto de este artículo es ilustrar el cáncer paratiroideo dentro del estudio de las fracturas patológicas y la osteoporosis secundaria, para favorecer el diagnóstico temprano en el adulto mayor.

Presentación del caso

Mujer de 71 años, delgada, con buena funcionalidad previa (Barthel 100/100) y antecedente de osteoporosis, presentó dolor súbito y limitación para la marcha por fractura subcervical de fémur izquierdo (Figura 1), se programó osteosíntesis considerando fractura por fragilidad. Al ampliar estudios se documentó síndrome constitucional de dos meses de evolución, nefrolitiasis, anemia microcítica y lesiones osteolíticas generalizadas (Figura 2). Se consideraron neoplasias de células plasmáticas como el mieloma múltiple y metástasis óseas de neoplasias ocultas, como las ginecológicas. Estudios tomográficos mostraron nódulo pulmonar inespecífico con derrame pleural escaso y nódulo tiroideo de 4 cm (Figura 3), ecografía de tiroides indicó nódulo de alto riesgo y biopsia por trucut reportó adenoma folicular oncocítico.

Radiografía de fémur. Fractura a nivel intertrocantérico izquierdo con ascenso de la diáfisis femoral, cambios por osteoporosis y lesiones osteolíticas. Ampliación con TAC reporta fractura intracapsular de fémur izquierdo, que sugiere proceso atípico.

Figura 1: Radiografía de fémur. Fractura a nivel intertrocantérico izquierdo con ascenso de la diáfisis femoral, cambios por osteoporosis y lesiones osteolíticas. Ampliación con TAC reporta fractura intracapsular de fémur izquierdo, que sugiere proceso atípico.

Fuente: los autores.

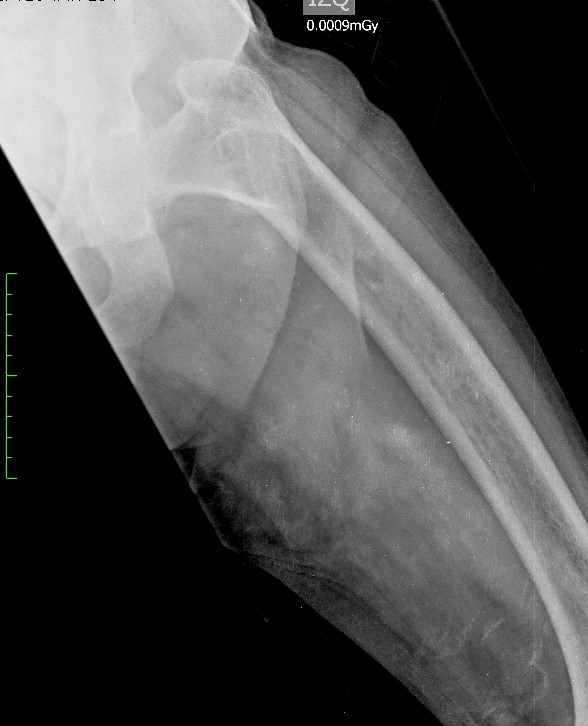
Radiografía de huesos largos. Lesión osteolítica en radio, sugestiva de metástasis óseas vs. tumor pardo.

Figura 2: Radiografía de huesos largos. Lesión osteolítica en radio, sugestiva de metástasis óseas vs. tumor pardo.

Fuente: los autores.

TAC contrastado de cuello. Nódulo tiroideo izquierdo de alto riesgo. Biopsia reporta: nódulo sólido tiroideo izquierdo, lesión folicular oncocítica con gruesa capa de tejido conjuntivo denso que presenta algunas calcificaciones, no se aprecia invasión vascular o perineural.

Figura 3: TAC contrastado de cuello. Nódulo tiroideo izquierdo de alto riesgo. Biopsia reporta: nódulo sólido tiroideo izquierdo, lesión folicular oncocítica con gruesa capa de tejido conjuntivo denso que presenta algunas calcificaciones, no se aprecia invasión vascular o perineural.

Fuente: los autores.

La paciente presentó nueva fractura femoral atípica derecha por traslado a cama. Con evidencia de hipercalcemia y posibles tumores pardos se completó perfil fosfocálcico (Tabla 1), documentando hiperparatiroidismo primario por lo que se solicitó una gammagrafía paratiroidea Tc99 MIBI, que fue negativa para lesiones tumorales. Previa estabilización clínica se realizó osteosíntesis femoral izquierda y biopsia ósea; se protegió con 4 mg de ácido zoledrónico y se llevó a cirugía exploratoria de paratiroides, hemitiroidectomía izquierda en bloque y paratiroidectomía superior derecha. La patología e inmunohistoquímica (IHQ) de la masa cervical fueron compatibles con carcinoma paratiroideo de 2x1.5x3 cm (Figura 4), las paratiroides restantes no presentaron alteraciones histológicas. La paciente presentó elevación de la hormona paratiroidea (PTH) con hipercalcemia en la primer semana posquirúrgica y en tomografía se evidenciaron múltiples nódulos pleurales sugestivos de metástasis. El PET-CT reportó compromiso pulmonar y óseo múltiple. La biopsia ósea fue compatible con tumor pardo. Al momento de este reporte la paciente se encuentra con movilidad limitada, bajo control de hipercalcemia con denosumab 120 mg SC mensual y tratamiento de soporte paliativo por metástasis pulmonares.

Tabla 1: Perfil fosfocálcico del caso. Se presentan rangos de los valores bioquímicos del perfil fosfocálcico del caso, cuando había reportes de la misma variable diferentes al valor al inicio de los síntomas y el valor posquirúrgico. Los rangos se presentan de mayor a menor o de menor a mayor, según la tendencia en el orden cronológico de los estudios.

*Corresponde a calcio colorimétrico corregido por la fórmula: calcio medido + (albúmina del paciente - 4 (albúmina normal esperada) x 0.8) (52). ** Corresponde a valores de referencia del calcio colorimétrico. *** La PTHi se midió mediante inmunoensayo quimio-luminiscente de micropartículas. + Rango de referencia para mujeres en posmenopausia

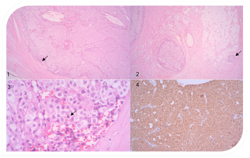
Patología. Tumor de configuración nodular constituido por grupos expansivos y trabéculas gruesas de células amplias de citoplasma eosinófilo pálido con núcleos de tamaño intermedio, algunos hipercromáticos con nucléolos evidentes y ligera atipia. La neoplasia posee estroma fibrovascular y está rodeada por cápsula fibrosa gruesa en la que hay implantes de tamaño variable del tumor que comprometen focalmente los tejidos blandos adyacentes. Fotografías: 1. Cápsula fibrosa; 2. Invasión focal del tejido blando; 3. Anisonucleosis y figura mitótica; 4. Inmunohistoquímica para PTH++. IHQ también fue positivo para cromogranina++, calcitonina+, Ki67 10 %. Negativo para CK19, TTF1, tiroglobulina, proteína S100, CD10 y CEA.

Figura 4: Patología. Tumor de configuración nodular constituido por grupos expansivos y trabéculas gruesas de células amplias de citoplasma eosinófilo pálido con núcleos de tamaño intermedio, algunos hipercromáticos con nucléolos evidentes y ligera atipia. La neoplasia posee estroma fibrovascular y está rodeada por cápsula fibrosa gruesa en la que hay implantes de tamaño variable del tumor que comprometen focalmente los tejidos blandos adyacentes. Fotografías: 1. Cápsula fibrosa; 2. Invasión focal del tejido blando; 3. Anisonucleosis y figura mitótica; 4. Inmunohistoquímica para PTH++. IHQ también fue positivo para cromogranina++, calcitonina+, Ki67 10 %. Negativo para CK19, TTF1, tiroglobulina, proteína S100, CD10 y CEA.

Discusión

La fractura es una solución de continuidad del hueso, producida por fuerzas mecánicas que superan la resistencia ósea; las causas son trauma de alta energía, repetidos estímulos compresivos (fracturas de fatiga o estrés) o debilidad ósea (fractura de bajo impacto) (12,13).

La fractura de bajo impacto genera altos costos para los sistemas de salud, en Colombia se estima mayor a 340 millones de pesos anuales (14) que equivalen a 530 SMMLV , además es un motivo de consulta frecuente y en adultos mayores son principalmente por osteoporosis (15,16); en mujeres posmenopáusicas solo las fracturas de cadera tienen incidencia de 300 casos por 100 000 mujeres/año (17), en Colombia se estima en 127/100 000 mujeres/año (18); la mortalidad es del 9 % a los 30 días (19) y la discapacidad representa 0.83 % de la carga global de enfermedad en el mundo por no transmisibles (15).

Fracturas de bajo impacto

Si ocurre una fractura espontánea o por una fuerza que en condiciones normales no la ocasiona (fractura de bajo impacto), existe una insuficiencia del tejido óseo (20). Aunque no existe una clasificación estándar (21), frente a estas fracturas resulta útil diferenciar si son por fragilidad, patológicas o atípicas.

Fractura por fragilidad: es la que ocurre en el húmero, la cadera, la muñeca, la columna o la pelvis, por una caída desde la misma altura de la persona o de una altura menor. Se ocasiona por una baja masa ósea y/o alteraciones de la microarquitectura ósea (22).

Fractura patológica: esta se origina por la pérdida localizada de la resistencia ósea, por enfermedades subyacentes que afectan la totalidad del esqueleto (mieloma múltiple, osteomalacia, osteogénesis imperfecta) o de manera focal (tumores, infecciones, cuerpos extraños, desuso) (20).

Fractura atípica: es la fractura de la diáfisis femoral que cumple los criterios mayores aceptados para su diagnóstico, según The American Society for Bone and Mineral Research (ASBMR) del año 2013 (23). Generalmente, se presentan como raras complicaciones del uso prolongado de fármacos que causan una gran supresión del recambio óseo, que algunos denominan “hueso congelado” (24,25).

La paciente presentada es una adulta mayor con osteoporosis y fractura de bajo impacto. En este contexto se puede considerar que presentó una fractura por fragilidad; sin embargo, una completa historia clínica y valoración radiológica permitió determinar que las fracturas eran patológicas, incluso la segunda cumple los criterios de una fractura atípica. La fractura atípica, a diferencia de las causadas por fragilidad, tiene una incidencia muy baja (1.6/100 000 pacientes/año) (26), y su presentación obliga a descartar causas diferentes a la osteoporosis posmenopáusica o senil (27).

Enfoque de la osteoporosis secundaria

La osteoporosis asociada a patologías subyacentes o a efectos adversos de fármacos se clasifica como osteoporosis secundaria, sus etiologías son múltiples (Tabla 2). Es responsable del 64 % de la osteoporosis en hombres, del 50 % en mujeres pre y perimenopáusicas, y del 20 % al 30 % en las mujeres posmenopáusicas (28). En el caso presentado, dada la naturaleza de las lesiones, las causas secundarias más probables eran mieloma múltiple, metástasis óseas y enfermedades metabólicas como el hiperparatiroidismo.

Tabla 2: Diagnóstico diferencial de osteoporosis secundaria y su enfoque inicial.

*Principales causas de osteoporosis secundaria en hombres (28). En mujeres la primera causa de osteoporosis secundaria es el uso de corticoides. El déficit de vitamina D debe ser con niveles por debajo de 10 ng/ml. Las causas de osteoporosis secundaria deben ser investigadas ante fracturas atípicas, patológicas y en densidad mineral ósea respecto al mismo grupo poblacional por debajo a 2 desviaciones estándar (puntaje Z < -2 DE) (43).

Hiperparatiroidismo primario y diagnóstico de cáncer paratiroideo

El hiperparatiroidismo primario es debido al incremento autónomo e inapropiado de las concentraciones de la PTH en la sangre, que conduce a un estado de hipercalcemia e hipofosfatemia; es más prevalente en mujeres y especialmente en la posmenopausia. La incidencia varia de 0.4 a 82 casos/100 000 pacientes/año, y se incrementa con la edad (29). Es causado por un adenoma paratiroideo (80 % de los casos), una hiperplasia glandular (9 % al 15 %), adenomas múltiples (2 % al 5 %) y rara vez por un cáncer de paratiroides (1 %) (1).

La presentación del cáncer de paratiroides puede ser esporádica o asociada a síndromes genéticos hereditarios, principalmente, por mutaciones del gen HRPT2/CDC73 que codifica para la parafibromina, proteína relevante en la inhibición de la proliferación celular. La mutación de CDC73 se ha encontrado en el síndrome de hiperparatiroidismo asociado a tumor de mandíbula (HPT-JT), en el carcinoma paratiroideo esporádico e, infrecuentemente, en el hiperparatiroidismo aislado familiar (30).

El diagnóstico histológico del cáncer de paratiroides es difícil, incluso se confunde con los adenomas paratiroideos, porque no poseen características citopatológicas específicas, y por eso para su diagnóstico se requiere tener la evidencia de invasión local a estructuras subyacentes (31,32). En el caso presentado, la histología preliminar reportaba un tumor epitelial de difícil caracterización, con diagnóstico diferencial principal entre carcinoma medular variante paraganglioma-like, carcinoma folicular y adenoma atípico de glándula paratiroides.

La pérdida de la expresión de la parafibromina se evidencia entre el 67 % y el 77 % de los cánceres paratiroideos, y es muy raro encontrarlo en patologías benignas de las glándulas paratiroideas. Se utiliza como marcador de mutación inactivante bialélica de CDC73, y se asocia a disminución de sobrevida y necesidad de seguimiento a largo plazo y de seguimiento familiar (1,32,33). Si bien se han reportado dificultades en el desarrollo e interpretación, la pérdida de tinción nuclear de parafibromina promete sensibilidad hasta del 96 % y especificidad del 99 % para carcinoma paratiroideo (31). Actualmente, se están validando paneles de IHQ con parafibromina, Galactina-3 , PGP9.5 y/o Ki67, que, además de sensibles (79 %) y específicos (100 %) (34), pueden ser factores pronósticos tempranos (35). Sin embargo, tales marcadores no están ampliamente disponibles y el diagnóstico debe hacerse por hallazgos morfológicos más la identificación por inmunohistoquímica de PTH intracelular con ausencia de tiroglobulina y de calcitonina (36).

Schantz & Castelman postularon desde 1973 las presentaciones histológicas más frecuentes de carcinoma paratiroideo, en un estudio con 67 casos: trabéculas fibrosas (90 %), figuras mitóticas (81 %), invasión capsular (67 %) y vascular (12 %) (37). En el caso que se presenta, la existencia de una cápsula fibrosa gruesa con implantes de tamaño variable del tumor, la extensión focal a tejidos blandos adyacentes y el conteo mitótico (Figura 4), aunque no son inequívocos, sugirieron el diagnóstico de carcinoma paratiroideo que se confirmó mediante la IHQ: índice de proliferación Ki 67 10 %, marcación positiva para PTH, marcación negativa para tiroglobulina y otros que descartaron diagnósticos diferenciales.

Cabe resaltar que aunque la calcitonina usualmente es negativa, ya ha sido reportada en carcinomas paratiroideos y su marcación en la IHQ fue débil (38).

Características clínicas y progresión del cáncer paratiroideo

El hiperparatiroidismo primario se presenta en promedio a los 50 años de edad y afecta principalmente a mujeres. En una serie latinoamericana de 67 casos de hiperparatiroidismo primario, el rango de edad de los afectados fue de 22 a 80 años y el 77.6 % fueron mujeres (5). A diferencia del hiperparatiroidismo, el carcinoma de paratiroides se distribuye igual por sexo, y presenta un rango más amplio de edad 15 a 81 años, pero con similar edad media de presentación (4,39).

El carcinoma paratiroideo se presenta como un hiperparatiroidismo primario, pero con mayor grado de alteración bioquímica; el calcio sérico varía entre 10.6 mg/dL y 22 mg/dL, la elevación en PTH intacta puede variar entre 5 y 50 veces el límite superior del laboratorio, el 65 % de los pacientes cursan con niveles de calcio mayores a 14 mg/dL y concentraciones de PTH de 5 a 10 veces por encima del rango de referencia (40). La mayoría de los casos se presentan con elevación de la fosfatasa alcalina mayor a 10 veces el límite superior de la normalidad y disminución del nivel de fósforo sérico (Tabla 3). Para el caso hay concordancia bioquímica con la literatura (tablas 1,3).

Tabla 3: Perfiles fosfocálcicos reportados en casos de cáncer paratiroideo.

*Corresponde a cálcio sérico colorimétrico.

La tabla se presenta con énfasis regional y nacional. Se buscaron casos y series de casos mediante PubMed, BIREME-Lilacs y Google Escolar, con los términos MeSH y DeCS correspondientes: carcinoma, parathyroid OR parathyroid neoplasm. Se preferían series de casos, en su defecto se seleccionaron los casos que tuvieran los valores bioquímicos del perfil fosfocálcico.

Si se requería, se convertían las unidades de calcio o fósforo de mol/L a mg/dL, por ser las unidades más utilizadas en Colombia, también se realizó la conversión de unidades de iPTH de pmol/L a pg/mL según correspondiera, utilizando el factor de conversión de 9,5, derivado de su peso molecular (9 500 Da) (19).

La enfermedad renal es una presentación clínica muy frecuente (32 % al 70 %) (40), especialmente la litiasis renal que está en el 65 % de los pacientes al momento del diagnóstico 5), sin ser advertida previamente, como en el caso de la paciente.

La enfermedad ósea puede presentarse entre el 34 % y el 73 % de los casos (40) como fracturas atípicas, osteoporosis grave u osteítis fibrosa quística (hasta en el 35 % de los pacientes). A diferencia del caso presentado, las múltiples fracturas por fragilidad se observan más en personas jóvenes (5).

El carcinoma paratiroideo puede presentarse como masa cervical entre el 30 % y el 76 % de los pacientes (4), por tanto, debe diferenciarse de un nódulo tiroideo de riesgo intermedio o alto asociado a hiperparatiroidismo primario (1,41). En la paciente, un probable nódulo tiroideo de alto riesgo, por características tomográficas, ecográficas y citológicas, generó confusión.

La gammagrafía paratiroidea negativa es una situación reportada en la literatura (42,43). La sensibilidad de la gammagrafía para carcinoma paratiroideo es baja (~33 %), igual que para adenoma múltiple (30 %), a diferencia de la sensibilidad para adenomas solitarios (89 %) e hiperplasias paratiroideas (45 %) (10).

Otras manifestaciones menos frecuentes asociadas a la hipercalcemia incluyen gastritis (25.3 %), osteopenia (20.9 %), crisis paratiroidea (12 %), úlcera péptica (7.4 %) y, de forma menos frecuente, pancreatitis (2.9 %), gota (2.9 %) (5), síntomas constitucionales (44) y anemia (6) e incluso presentaciones asintomáticas (7 %) (40).

El cáncer paratiroideo tiene altas tasas de recurrencia (40 % al 60 %), con una media de sobrevida de 14.3 años. La enfermedad no operable o diseminada conlleva a tasas de mortalidad del 35 % (45).

El tratamiento va dirigido a controlar la hipercalcemia, pero ante la sospecha de carcinoma de paratiroides se debe resecar la lesión en bloque junto con el lóbulo tiroideo ipsilateral, evitar cualquier ruptura de la cápsula tumoral por el riesgo de diseminación y, de ser posible, lograr márgenes amplios y limpios con resección de las estructuras en apariencia comprometidas. La disección de los ganglios linfáticos cervicales se realizará en casos de sospecha de compromiso metastásico. La disección profiláctica del compartimento central ganglionar no es clara en cuanto a beneficio pronóstico. Cuando no se sospecha el cáncer y el diagnóstico es posoperatorio por hallazgos histológicos, se debe reintervenir porque posiblemente la resección amplia sea el factor pronóstico más importante (1,46). La resección radical como primera línea mejora la sobrevida libre de enfermedad en ~8 años y la sobrevida libre de reoperación por recaída en ~7 años (47), entonces, la baja sospecha prequirúrgica disminuye notablemente las probabilidades de éxito.

Otros tratamientos para la adyuvancia como la radioterapia son controversiales, y aunque hay algunos casos reportados de respuesta favorable, por lo infrecuente de la condición, actualmente no se tiene suficiente evidencia para su recomendación a favor o en contra (48).

La quimioterapia no ha demostrado respuesta favorable en general, sin embargo, hay un reporte reciente del uso de temozolamida con remisión por largo tiempo en una mujer (45). En un reporte de caso reciente de una mujer con metástasis pulmonar el inicio de sorafenib (inhibidor multicinasa) disminuyó el tamaño de las lesiones pulmonares y evitó la progresión del hiperparatiroidismo (49). Se requieren más estudios para indicar el uso de esta terapia en el tratamiento, aunque parece prometedora.

La identificación apropiada con imágenes de las recurrencias y su resección, cuando es posible, ayudan al control de las complicaciones. Hay pocos casos en el seguimiento con 18F-FDG PET/CT, y se pueden confundir los hallazgos esqueléticos de enfermedad metastásica con los propios de la enfermedad metabólica ósea del hiperparatiroidismo (como los tumores pardos), por tanto el análisis del PET debe ser cuidadoso (50). Las complicaciones derivadas de la hipercalcemia y las fracturas son las condiciones que conllevan mayor morbilidad y mortalidad en comparación con las masas tumorales.

En los pacientes con enfermedad persistente o recaída local el tratamiento quirúrgico citoreductor y la resección con márgenes amplios facilita el control del calcio asociado al tratamiento médico, aunque no sea curativa (51).

Conclusiones

Las fracturas son frecuentes en la población geriátrica femenina, causadas principalmente por osteoporosis posmenopáusica, sin embargo, cuando se presentan fracturas atípicas o una mayor pérdida de la densidad mineral ósea respecto al mismo grupo poblacional (puntaje Z < -2) se deben evaluar causas secundarias como tumorales, tóxicas, infecciosas o metabólicas.

En el enfoque inicial de las causas secundarias frecuentemente se difiere la evaluación del metabolismo fosfocálcico, postergando el reconocimiento temprano de patologías con alta carga de morbilidad, mortalidad y costos para los sistemas de salud, tales como el hiperparatiroidismo primario y el carcinoma paratiroideo.

El hiperparatiroidismo primario y el carcinoma paratiroideo también pueden presentarse clínicamente como un nódulo tiroideo y/o nefrolitiasis recurrente, por lo que deben ser considerados dentro de los diagnósticos diferenciales de tales patologías, que son más prevalentes.

El éxito del tratamiento de la neoplasia paratiroidea requiere del diagnóstico oportuno (con estudio histológico apoyado en inmunohistoquímica) y de un abordaje quirúrgico en bloque, dado que otras terapias no han demostrado control efectivo de la enfermedad.

Agradecimientos

A los doctores del HUN Carlos Alfonso Cortés, médico radiólogo, y Ángel Yobany Sánchez, médico patólogo, por el apoyo con las imágenes y lectura de las mismas.

Conflicto de interés

No existe conflicto de intereses, este estudio fue adelantado con recursos propios. Como declaración de transparencia, se afirma que el manuscrito es un relato honesto, preciso y transparente del estudio que se presenta, y no se ha omitido algún aspecto importante del mismo.

El proceso de confirmación diagnóstica se realizó en el Hospital Universitario Nacional de Colombia (HUN), sin embargo, la paciente recibió atención médica en diferentes instituciones de salud de Bogotá, D.C., Colombia.