https://doi.org/10.53853/encr.8.1.696

Recibido: 15 de agosto de 2020; Aceptado: 19 de mayo de 2021

Fractura atípica de fémur asociada al uso de bifosfonatos: reporte de caso y revisión de la literatura


Atypical femur fracture after bisphosphonate therapy: a case report and literature review

D. Gutiérrez-Zúñiga, 1* E. González, 2 P. Arbeláez, 1

Departamento de Ortopedia y Traumatología, Pontificia Universidad Javeriana, Hospital Universitario San Ignacio. Bogotá, D.C., Colombia. Pontificia Universidad Javeriana Departamento de Ortopedia y Traumatología Pontificia Universidad Javeriana Hospital Universitario San Ignacio Bogotá, D.C. Colombia
Pontificia Universidad Javeriana, Hospital Universitario San Ignacio. Bogotá, D. C. Colombia. Pontificia Universidad Javeriana Pontificia Universidad Javeriana Hospital Universitario San Ignacio Bogotá, D. C Colombia

:danielagutierrez@javeriana.edu.co

Resumen

La alteración en la microarquitectura del hueso generada con la osteoporosis predispone a fracturas por fragilidad que impactan la calidad y el pronóstico de vida de millones de adultos mayores. Uno de los tratamientos actuales de la osteoporosis son los antiresortivos como los bifosfonatos. Con el auge del uso de bifosfonatos actualmente existe un incremento en la incidencia de los efectos adversos. Aunque su fisiopatología aún es debatida, existe una asociación entre el uso crónico de estos medicamentos y fracturas atípicas del fémur. Se reporta el caso de una paciente con uso crónico de alendronato por 10 años, quien presenta una fractura atípica subtrocantérica de fémur, con estudios de imágenes previos por presentar síntomas prodrómicos.

Palabras clave:

fracturas atípicas de fémur, bifosfonatos, osteoporosis, alendronate..

Abstract

The changes in bone metabolism caused by osteoporosis, affect the micro-architecture of bone and predispose to fragility fractures that impact the quality of life and prognosis of millions of elderly patients. The current mainstay of treatment are bisphosphonates. With the increase in the use of bisphosphonates, physicians must be aware of their side effects. Although its pathophysiology is still debated and there is no clear causal relationship, there is an association between the chronic use of bisphosphonates and atypical fractures of the femur. We present the case of a patient with chronic use of alendronate for 10 years who develops an atypical subtrochanteric femur fracture, with previous imaging studies due to prodromal symptoms.

Keywords:

Atypical femur fractures, Bisphosphonates, Osteoporosis, Alendronate..

Introducción

Los bifosfonatos son una de las herramientas disponibles para el tratamiento de la osteoporosis. Con el envejecimiento de la población, que aumenta la prevalencia de esta alteración del metabolismo óseo, se han incrementado también los efectos adversos asociados al uso crónico de bifosfonatos como la osteonecrosis de mandíbula y las fracturas atípicas del fémur. Las fracturas atípicas en la región subtrocantérica del fémur, que fueron reportadas inicialmente en 2005 por Odvina y cols. (1), son de fisiopatología aún poco clara. Sin embargo, se conoce que se asocian a la alteración en la función osteoclástica que modifica el proceso normal de remodelación y lleva a un aumento de la fragilidad del hueso. En la actualidad, la cantidad de fracturas por fragilidad en pacientes con osteoporosis que se previenen por el uso de bifosfonatos supera ampliamente la incidencia de fracturas atípicas generadas por el uso de estos medicamentos (2). Sin embargo, es de vital importancia conocer las características de estas fracturas, así como sus posibles complicaciones, y su tratamiento quirúrgico y farmacológico.

Presentación del caso

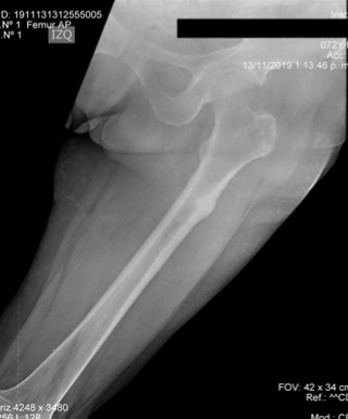
El caso corresponde a una paciente de 72 de edad, natural y procedente de la ciudad de Bogotá, con antecedente de osteoporosis en tratamiento con alendronato a frecuencia semanal durante 10 años. Consultó por presentar dolor de leve intensidad en el muslo izquierdo que empeoraba con el apoyo sobre la extremidad, sin haber presentado ningún trauma previo. En el estudio de imágenes de radiografía evidenció un engrosamiento de la cortical lateral del fémur izquierdo en la región subtrocantérica y una sospecha de una fractura unicortical atípica (figuras 1 y 2).

Radiografía en proyección AP del fémur izquierdo, donde se evidencia un engrosamiento de la cortical lateral del fémur izquierdo.

Figura 1: Radiografía en proyección AP del fémur izquierdo, donde se evidencia un engrosamiento de la cortical lateral del fémur izquierdo.

Fuente: los autores.

Radiografía de pelvis en proyección AP, donde se evidencia un engrosamiento de la cortical lateral a nivel subtrocantérico en el fémur izquierdo, sin cambios en el fémur contralateral.

Figura 2: Radiografía de pelvis en proyección AP, donde se evidencia un engrosamiento de la cortical lateral a nivel subtrocantérico en el fémur izquierdo, sin cambios en el fémur contralateral.

Fuente: los autores.

Ante estos hallazgos de imágenes, la paciente suspendió el uso de alendronato. En las imágenes de resonancia se confirma un trazo de fractura transverso no desplazado a nivel de la región subtrocantérica de fémur izquierdo en la zona del dolor (Figura 3).

Imagen de resonancia magnética en cortes coronales con secuencia STIR (A) y secuencia T2 (B), e imágenes en cortes axiales en secuencia T2 (C) y sagitales (D), donde se evidencia un engrosamiento del periostio en la cortical lateral de la región subtrocantérica de fémur izquierdo, a partir de la cual se origina un trazo de fractura incompleto en sentido transverso hacia la cortical medial.

Figura 3: Imagen de resonancia magnética en cortes coronales con secuencia STIR (A) y secuencia T2 (B), e imágenes en cortes axiales en secuencia T2 (C) y sagitales (D), donde se evidencia un engrosamiento del periostio en la cortical lateral de la región subtrocantérica de fémur izquierdo, a partir de la cual se origina un trazo de fractura incompleto en sentido transverso hacia la cortical medial.

Fuente: los autores.

Sin embargo, antes de ser revalorada con estos resultados de imágenes la paciente presenta un trauma de baja energía a nivel del muslo izquierdo por una caída de su altura, con posterior dolor, deformidad en el muslo y limitación para la marcha. Se toman nuevas radiografías que muestran una fractura subtrocantérica de fémur izquierdo completa, transversa y desplazada, con un engrosamiento perióstico de la cortical lateral a este nivel, a nivel de la cortical medial un pico hacia distal, un hallazgo característico de las fracturas atípicas de fémur (Figura 4). Se realiza manejo quirúrgico con una reducción cerrada y fijación interna con un clavo endomedular anterógrado de fémur (Figura 5). La paciente inicia rehabilitación posterior al procedimiento, recuperando la marcha y la movilidad completa de cadera y rodilla. En los seguimientos ambulatorios, ante la presencia de una fractura atípica en una paciente con osteoporosis asociada al uso de antiresortivos, se decidió modificar el tratamiento a teriparatide.

Imágenes de fémur izquierdo (B) donde se evidencia una fractura atípica de fémur izquierdo, una fractura subtrocantérica completa transversa sin conminución, con un pico medial y un engrosamiento localizado del periostio lateral documentado en estudios previos.

Figura 4: Imágenes de fémur izquierdo (B) donde se evidencia una fractura atípica de fémur izquierdo, una fractura subtrocantérica completa transversa sin conminución, con un pico medial y un engrosamiento localizado del periostio lateral documentado en estudios previos.

Radiografías postoperatorias posteriores a reducción y fijación endomedular con un clavo largo de fémur en proyección de pelvis (A).

Figura 5: Radiografías postoperatorias posteriores a reducción y fijación endomedular con un clavo largo de fémur en proyección de pelvis (A).

Fuente: los autores.

Discusión

Los bifosfonatos han demostrado reducir el riesgo de presentar fracturas por fragilidad desde un 50 % hasta un 70 % (3). Su mecanismo de acción consiste en disminuir la capacidad resortiva de los osteoclastos e inducir su apoptosis (9). Sin embargo, por este motivo también alteran la remodelación ósea, generando una menor capacidad de consolidación de microfracturas en zonas donde existe alto estrés mecánico, como a nivel de la cortical lateral de la diáfisis proximal del fémur.

Cuando esto ocurre, como resultado puede presentarse una fractura por estrés llamada fractura atípica de fémur (FAF) (4). Aunque los beneficios del uso de bifosfonatos superan por 100 veces el riesgo de fracturas atípicas, de acuerdo al análisis de Edwards en 2013 (2), las fracturas atípicas se han incrementado con el aumento del uso de bifosfonatos en osteoporosis. La incidencia de una FAF en Estados Unidos se calcula de 0.3 hasta 11 por 100 000 personas por año (5,6). Adicionalmente, en ajustes por tiempo de exposición, Dell encontró que la incidencia aumenta de 1.78 /100 000 pacientes por año en pacientes que utilizan bifosfonatos por 0.1 a 1.9 años, hasta un 113.1/100 000 pacientes al año, si el uso del medicamento aumenta de 8 hasta 9.9 años (7).

Recientemente, Black en un análisis multivariado encontró que el tiempo de exposición a los bifosfonatos aumenta exponencialmente la probabilidad de presentar fracturas atípicas, además de otros factores como la raza asiática, el peso y el uso de corticoides (8). Sin embargo, concluye que el beneficio de prevenir fracturas de cadera y vertebrales por fragilidad supera en gran medida el riesgo de presentar una FAF, logrando después de tres años la prevención de 149 fracturas por fragilidad de cadera. En otros estudios este riesgo de FAF parece elevarse en gran medida después de tres años de administración de bifosfonatos (9,10). Al suspender la administración de bifosfonatos este riesgo parece disminuir rápidamente.

Específicamente, el uso prolongado de alendronato se ha asociado a las FAF. De acuerdo al metanálisis de Liu (11), aunque el alendronato ha demostrado efectividad a tres años en la reducción de fracturas vertebrales y no vertebrales en pacientes con osteoporosis, su uso mayor a cinco años puede estar relacionado con el desarrollo de fracturas atípicas. La fisiopatología de esta alteración, de acuerdo a lo planteado por Allen (12,13), ocurre por cambios en la arquitectura ósea que aumentan la densidad del hueso, cambiando la configuración trabecular y generando un entrecruzamiento heterogéneo del colágeno, lo que hace que el hueso sea más propenso a fracturas.

Para el diagnóstico de la FAF actualmente se utiliza la definición propuesta por la Sociedad Americana de Investigación Ósea y Mineral (ASBMR, por sus siglas en inglés) (Tabla 1) (14). En general, el criterio mayor para definir una fractura atípica por radiografías corresponde a una fractura localizada en la diáfisis del fémur desde la región distal al trocánter menor hasta la región supracondílea, como criterio general que debe asociarse a cuatro de cinco criterios mayores.

Tabla 1: Características de las fracturas atípicas de fémur establecidas por la Sociedad Americana de Investigación Ósea y Mineral. (Tomada y adaptada de Githens M, Garner MR, Firoozabadi R. Surgical Management of Atypical Femur Fractures Associated With Bisphosphonate Therapy. J Am Acad Orthop Surg. 2018).

Fuente: los autores.

En general, las FAF se presentan como un trazo transverso generalmente, sin conminución, con un engrosamiento endóstico de la cortical lateral. Existen criterios menores asociados a las FAF, pero que no se requieren para del diagnóstico. En caso de presencia de síntomas prodrómicos (dolor en el muslo al apoyar la extremidad) suele indicarse estudio con resonancia magnética, en el cual se identifican con mayor precisión hallazgos como edema óseo, trazos de fracturas ocultas o puede ser más evidente el engrosamiento endóstico (15). En caso de detectar estas fracturas ocultas o trazos incompletos, además de la suspensión del tratamiento con bifosfonatos, la suplementación de calcio y vitamina D, la restricción de carga de peso y limitación de actividad, la fijación profiláctica con clavo cefalomedular para la prevención de una FAF completa (16) ha demostrado resultar en mejores desenlaces y prevención de morbimortalidad de estos pacientes (17,18).

El manejo quirúrgico de estas fracturas puede representar un reto terapéutico, considerando la alteración en la microarquitectura ósea que torna el hueso frágil, propenso a propagación de la fractura durante la fijación y a complicaciones como mal reducción o retraso en la consolidación (19).

De acuerdo a lo evaluado por Bogdan (20), los pacientes con FAF tienen una alta tasa de no unión, requiriendo mayores cirugías de revisión y una probabilidad cuatro veces mayor de fracturas perimplante. Por lo general, el implante de elección suele ser un clavo endomedular largo de fémur. Existen diferentes consideraciones técnicas importantes para lograr un resultado quirúrgico óptimo. Se debe tener en cuenta el engrosamiento endóstico a nivel de la fractura atípica, que puede generar dificultad en el brocado progresivo y llevar a una mal reducción de la fractura por un brocado excéntrico, que puede ocasionar perforaciones de la cortical medial o la pérdida de la reducción (19).

Además de la mala reducción, las FAF pueden generar complicaciones en su tratamiento como no unión o retraso en la consolidación. Para prevenir estas complicaciones, teóricamente el uso de aumentación biológica con autoinjertos permitiría suplir la alteración en el metabolismo óseo generada por la inhibición crónica de los osteoclastos por los bifosfonatos. Aunque actualmente el uso de injertos o de proteínas morfogenéticas óseas (21,22) se ha reservado para cirugías de revisión, aún no existe evidencia suficiente para ser recomendados en la intervención quirúrgica inicial. En cuanto al tratamiento farmacológico ante una FAF, se debe de inmediato suspender la terapia con bifosfonatos. Asimismo, aunque no existe ningún estudio aleatorizado que demuestre su evidencia en términos de prevención de complicaciones, se recomienda suplementación de 1 200 mg por día de suplementación de calcio y mantener niveles de vitamina D por encima de los 30 ng/ml (16).

El uso de teriparatide, por su efecto anabólico en el metabolismo óseo, se ha planteado como un adyuvante en el tratamiento de las FAF para favorecer la consolidación, así como para prevención de nuevas fracturas, evaluándose en series de casos y estudios de nivel III o IV (23,24). En la serie de casos de Yeh y cols (25) demostró mejores desenlaces funcionales y una consolidación más temprana. Se cree que pueden aumentar la formación de callo y reducir el tiempo de consolidación (20). Se requiere de estudios de mayor nivel de evidencia y cantidad de pacientes para permitir una recomendación generalizada sobre uso.

Conclusiones

El uso de bifosfonatos ha demostrado disminuir las fracturas por fragilidad en pacientes con osteoporosis. Aunque los beneficios en término de prevención de fracturas sobrepasan exponencialmente las complicaciones y efectos adversos, las fracturas atípicas de fémur son una complicación que representa un reto quirúrgico por las complicaciones asociadas como retraso en la consolidación y mala reducción.

Se debe hacer seguimiento estricto a los pacientes con uso de prolongado de bifosfonatos y seguir las recomendaciones de las guías y consensos publicados sobre el tema. El uso de teriparatide podría ser una alternativa como medicamento anabólico para el tratamiento de osteoporosis en estos casos.