https://doi.org/10.53853/encr.8.4.703

Recibido: 1 de mayo de 2021; Aceptado: 22 de noviembre de 2021

Receptores tiroideos de estrógenos y progesterona: cumplen estos una función en el desarrollo del cáncer papilar de tiroides en los hombres?


Estrogen and progestin hormonal receptors: Do they have a developmental role in males with papillary thyroid cancer?

C. Duque, 1* A. Vélez, 1 A. Isaza, 2 A. Londoño, 1 J. Dueñas, 1 J. Zuleta, 1 M. Agudelo, 3

Hospital Pablo Tobón Uribe, Medellín, Colombia Hospital Pablo Tobón Uribe Medellín Colombia
IPS Universitaria, Medellín Colombia IPS Universitaria Medellín Colombia
Newark Beth Israel Medical Center, Newark (NJ), Estados Unidos Newark Beth Israel Medical Center USA

Correspondencia: csduque@hptu.org.co

Resumen

Contexto:

el cáncer de tiroides es más común en mujeres que en hombres, es por esto por lo que, pese a que se ha propuesto una teoría de origen de esta tumoración en las hormonas femeninas, esta hipótesis al momento no ha podido ser validada.

Objetivo: se propuso un estudio piloto para evaluar la posibilidad de encontrar marcadores hormonales femeninos en tejido de pacientes hombres intervenidos por cáncer de tiroides.

Metodología:

las muestras de tejido de diez pacientes hombres intervenidos por cáncer papilar fueron sometidas a estudios de inmunohistoquímica con marcadores para estrógenos y progesterona.

Resultados:

ninguna de las muestras de tejido de hombres con cáncer papilar sometidas a estudios de inmunohistoquímica en este estudio piloto reaccionó frente al marcador hormonal femenino.

Conclusiones:

este estudio piloto, de una serie de casos pequeña, no demostró relación hormonal en tejido tiroideo de pacientes hombre con cáncer papilar frente a los marcadores para estrógenos o para progesterona.

Palabras clave:

cáncer de tiroides, mujeres, hombres, estrógenos, progestágenos..

Abstract

Context:

Thyroid cancer is more common in women than in men, in this regard a theory has been proposed explaining the origin of this tumor due to the female hormones, to date this hypothesis has not been proven yet.

Objective:

A pilot study was proposed to examine the possibility of finding female hormonal markers in tissue from male patients who were operated due to thyroid cancer.

Methodology:

Tissues samples from ten male patients with thyroid cancer were subjected to immunohistochemical techniques with markers for estrogen and progesterone.

Results:

None of the tissue samples from this patients subjected to immunohistochemical studies in this pilot study reacted to the female hormonal markers.

Conclusions:

This pilot study of a small case series did not demonstrate a hormonal relationship in thyroid tissue from males with papillary cancer to estrogen or progestogen markers.

Keywords:

Thyroid cancer, female, male, estrogens, progestogen..

Introducción

El cáncer papilar de tiroides ha tenido un aumento en la frecuencia en todo el mundo, su incidencia es tres veces mayor en las mujeres que en los hombres (1). Generalmente, las mujeres suelen ser afectadas al inicio de su edad reproductiva, con un pico entre 40 y 49 años, mientras que en los hombres la enfermedad no es tan común y tiende a ser un poco más agresiva (1-3).

Aunque la exposición a la radiación es el único factor realmente documentado que pudiese explicar el desarrollo del cáncer de tiroides, se han descrito otras potenciales causas que explicarían el origen de esta enfermedad. Entre estos se destaca el papel de las hormonas sexuales, las cuales podría jugar un papel importante en la etiología de esta tumoración. Sin embargo, aunque este ha sido estudiado y analizado, no se ha logrado establecer hasta el momento una conexión real. La revisión de la información disponible se llevó a cabo en un estudio piloto limitado a fin de dar respuesta la pregunta: Existe una relación entre los estrógenos y progestágenos que explique el desarrollo del cáncer de tiroides en la población masculina? (4-14).

Materiales y métodos

Se realizó un estudio piloto observacional descriptivo en diez hombres mayores de 18 años con diagnóstico de papilar de tiroides, intervenidos quirúrgicamente en el Hospital Pablo Tobón Uribe (Medellín, Colombia), entre el 2015 y el 2018. El estudio fue evaluado y aprobado por el comité institucional de investigaciones.

Las historias clínicas de los pacientes fueron revisadas a fin de descartar antecedentes personales y familiares que pudiesen explicar el desarrollo de su cáncer de tiroides, en particular se buscaron antecedentes como exposición a radiación, tratamientos con radioterapia o una relación familiar importante de pacientes consanguíneos con cáncer de tiroides. Todas las muestras de los pacientes fueron sometidas a técnicas de inmunohistoquímica por parte de uno de los investigadores, quien no tenía detalles sobre los antecedentes de los pacientes, edad, cirugía practicada y demás tratamientos recibidos. Se realizaron marcadores de estrógenos (Monoclonal Mouse Anti Human Estrogen receptor Dako Clone EP 1) y progesterona (Monoclonal Mouse Anti Human Progesterone receptor Dako Clone Pgr 636) - Agilent, Santa Clara, CA USA- por técnica automatizada.

Resultados

La revisión detallada de los antecedentes personales o familiares no demostró exposición a fuentes de radiación o haber recibido tratamientos por radioterapia en el pasado. Ninguno de los pacientes tenía familiares con antecedente de cáncer de tiroides.

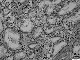
Se incluyen estudios de patología de diez hombres, diagnosticados e intervenidos por cáncer papilar de tiroides variedad clásica. Siete de estos pacientes fueron sometidos a tiroidectomía total y tres requirieron adicionalmente disección de cuello por compromiso ganglionar a ese nivel. El rango de edad fluctuó entre 32 y 70 años, con un promedio de 46 años. Todas las biopsias de estos pacientes, evaluadas mediante técnicas de inmunohistoquímica, fueron negativas para estrógenos y progestágenos (figuras 1 y 2).

Discusión

La disparidad de género del cáncer ha sido observada para una variedad de tumores malignos del cuerpo. El cáncer bien diferenciado de tiroides es sin duda alguna un claro ejemplo de esta situación, con una incidencia más alta en mujeres, pero enfermedad más agresiva en hombres (7-10).

Hay escasa evidencia de la función de las hormonas sexuales en el inicio y progresión del cáncer de tiroides. Hipotéticamente se consideraría que la exposición prolongada a estrógenos exógenos está asociada con el desarrollo del cáncer papilar de tiroides. En conjunto, estos estudios sugieren una función específica para hormonas sexuales. Algunos de los artículos encontrados en la literatura son hechos sobre modelos animales, sin embargo, gracias a las técnicas de inmunohistoquímica, se está recolectando nueva información entre esta relación causal a fin de procurar confirmar una relación en el desarrollo del cáncer de tiroides en las mujeres (6-8,10-20).

HE Cáncer papilar de tiroides. 40 x

Figura 1: HE Cáncer papilar de tiroides. 40 x

Fuente: los autores.

Inmunohistoquímica negativa para receptores hormonales. 40 x

Figura 2: Inmunohistoquímica negativa para receptores hormonales. 40 x

Fuente: los autores.

Se sabe que los estrógenos promueven la autorenovación de las células madre y, por lo tanto, pueden estar involucrados en el desarrollo del tumor. Un estudio en ratones realizado en Italia en 2016, mostro que los estrógenos podrían tener una gran influencia en el desarrollo del tumor tanto en mujeres como en hombres, pero con un impacto diferente. En los ratones macho los estrógenos podrían contribuir a la progresión altamente agresiva actuando a través del factor de transición epitelial mesenquimal y la angiogénesis; mientras que en las hembras los estrógenos podrían explicar la propensión de las células tumorales a la apoptosis y por ende un mejor pronóstico. Esto contribuiría a la hipótesis de que la utilización de inhibidores de receptores de estrógenos podría ayudar a modular la enfermedad en hombres (10-19).

Un estudio retrospectivo de Ahmed y Abolenaga, publicado en 2014, revisó 644 pacientes tratados y revisados para cáncer de tiroides en un periodo de nueve años 2003 a 2011 (68.8 % mujeres y 31.2 % hombres, con un rango de edad que fluctuó entre los 8 a 84 años), con un mínimo de seguimiento de 44 meses, evaluando diferentes factores como tipo y volumen tumoral, edad al momento del diagnóstico, si menor o mayor a 45 años, etc. Este estudio es, sin embargo, importante porque para los últimos tres años del mismo los autores sometieron las muestras de patología de 152 pacientes a estudio de expresión de receptor de estrógenos-α(ER). comprobando mediante inmunohistoquímica la expresión de ER-α 69 pacientes de los cuales el 86.9 % eran mujeres; más aún, se encontró asociación significativa en el sexo femenino a la presencia de metástasis a los ganglios linfáticos (20).

El presente estudio se basó en la inmunohistoquímica (IHC) esta es una técnica utilizada para determinar la presencia y el nivel específico de proteínas celulares y mide la expresión proteica utilizando especialmente anticuerpos marcados que se unen a las proteínas de la célula. El anticuerpo se mezcla con componentes celulares del tumor, puede ser detectada bajo visión microscópica, porque las áreas que se unieron al anticuerpo se verán diferentes siendo positivo para receptores de estrógenos y progesterona en el núcleo (21-22).

Aunque se ha probado definitivamente la relación entre el cáncer de mama en las mujeres y su estado hormonal, particularmente en relación con los estrógenos, este factor en la etiología del cáncer de tiroides, aunque pareciera sugerirse una relación causal importante dada la mayor presencia de la enfermedad en los periodos fértiles de la mujer, aun no es totalmente aceptada.

Este es, según la revisión de la literatura médica, el primer estudio piloto para determinar si en el tejido tiroideo de pacientes de sexo masculino con cáncer papilar de tiroides se evidencian marcadores para hormonas sexuales como estrógeno y progestágenos. Sin embargo, los resultados no demostraron, como en su momento se consideró, una relación hormonal directa de rango femenino en pacientes masculinos intervenidos por esta tumoración de la tiroides (15-17).

Este estudio piloto abre la posibilidad de nuevas investigaciones sobre el tema que puedan no solo ayudar a entender la diferencia en la incidencia y progresión del cáncer papilar de tiroides en hombres y mujeres, sino también un posible tratamiento.

Conclusión

Este estudio piloto en diez pacientes hombres tratados para cáncer papilar de tiroides sin antecedentes relevantes personales, no demostró, como en su momento se consideró, una asociación entre la expresión de receptores hormonales-estrógenos y progestágenos- y el desarrollo de cáncer de tiroides, como hipotéticamente se observa en las mujeres.

Financiación

Este estudio no recibió financiación ni tampoco los autores en su escritura o publicación.

Conflicto de interés

Ninguno de los autores presenta conflicto de intereses para este artículo.