https://doi.org/10.53853/encr.8.4.716

Recibido: 29 de julio de 2020; Aceptado: 14 de diciembre de 2021

Disgenesia gonadal parcial (XY)


Partial gonadal dysgenesis (XY)

H. Vargas-Uricoechea, 1 H. Vargas-Sierra, 2* I. Meza-Cabrera, 3 K. Gómez-Silva, 4

Grupo de Investigación en Enfermedades Metabólicas, Departamento de Medicina Interna, Universidad del Cauca, Popayán, Colombia Universidad del Cauca Grupo de Investigación en Enfermedades Metabólicas Departamento de Medicina Interna Universidad del Cauca Popayán Colombia
Programa de Posgrado en Medicina Interna, Departamento de Medicina Interna, Facultad de Ciencias de la Salud, Universidad del Cauca, Popayán, Colombia Universidad del Cauca Programa de Posgrado en Medicina Interna, Departamento de Medicina Interna Facultad de Ciencias de la Salud Universidad del Cauca Popayán Colombia
Departamento de Patología, Universidad del Cauca, Popayán, Colombia Universidad del Cauca Departamento de Patología Universidad del Cauca Popayán Colombia
Facultad de Ciencias de la Salud, Universidad del Cauca, Popayán, Colombia Universidad del Cauca Facultad de Ciencias de la Salud Universidad del Cauca Popayán Colombia

Correspondencia: hdvargas@unicauca.edu.co

Resumen

Introducción:

los trastornos del desarrollo sexual se definen como afecciones congénitas en las que el desarrollo del sexo cromosómico gonadal o anatómico es atípico. Son anormalidades raras, ocurren en 1 de cada 1000 a 4500 nacidos vivos. Dentro de las causas más comunes se encuentran: la hiperplasia suprarrenal congénita debido a la deficiencia de 21-hidroxilasa en un individuo XX, mosaicismos como el que involucra el 45, X/46, XY que tiene un amplio espectro fenotípico y el síndrome de insensibilidad a andrógenos en un individuo XY. Las causas más raras incluyen mutaciones genéticas (NR5A1, WT1 o MAP3K1), deficiencia de 17-beta-hidroxiesteroide deshidrogenasa y deficiencia de 5-alfa reductasa.

Objetivo:

el objetivo de este reporte de caso, es hacer énfasis en el riesgo de aparición de tumores malignos de células germinales en pacientes con disgenesia gonadal XY.

Presentación del caso:

se reporta el caso de un paciente de 24 años edad, fenotípicamente femenino, cariotipo 46 XY, ausencia de genitales femeninos internos por hallazgos tomográficos y testículos atróficos en canal inguinal (extraídos por vía laparoscópica). Se describen las características al examen físico, el enfoque clínico y el terapéutico.

Discusión y conclusión:

los pacientes con disgenesia gonadal XY, pueden tener un riesgo incrementado de tumores gonadales. Para poder hacer el diagnóstico de esta entidad, se debe realizar un abordaje multidisciplinario que permita su clasificación exacta.

Palabras clave:

trastornos del desarrollo sexual, disgenesia gonadal parcial, cariotipo gonadal.

Abstract

Introduction:

Disorders of sexual development are defined as congenital conditions in which the development of anatomical or gonadal chromosomal sex is atypical. They are rare abnormalities, occurring in 1 in 1,000 to 4,500 live births. Among the most common causes are congenital adrenal hyperplasia due to 21 - hydroxylase deficiency in an XX person, mosaicisms such as that involving 45, X/46, XY that have a broad phenotypic spectrum, and androgen insensitivity syndrome in an XY person. The rarest causes include XY gonadal dysgenesis due to genetic mutations (NR5A1, WT1, or MAP3K1), 17-beta-hydroxysteroid dehydrogenase deficiency, and 5-alpha reductase deficiency.

Purpose:

The objective of this case report is to emphasize the risk of malignant germ cell Tumors in patients with XY gonadal dysgenesis.

Case presentation:

The case of a 24-year-old patient, phenotypically female and 46 XY karyotype. Total abdominal tomography reported absence of internal female genitalia. Under the preoperative suspicion of XY gonadal dysgenesis, diagnostic laparoscopy was performed, finding atrophic testes in inguinal channels, which were removed. The characteristics of the physical examination, the clinical and therapeutic approach are described.

Discussion and conclusion:

Patients with XY gonadal dysgenesis may have an increased risk of gonadal tumors. In order to make the diagnosis of this entity, a multidisciplinary approach must be carried out that allows it´s exact classification.

Keywords:

disorders of sexual development, partial gonadal dysgenesis, gonadal karyotype.

Introducción

El inicio de la sexualidad en humanos comienza durante la fecundación, con el establecimiento del sexo genético (1-3).

La disgenesia gonadal 46 XY hace alusión al desarrollo anormal de la gónada fetal y a las alteraciones en el desarrollo de los genitales internos y externos. Es un trastorno raro, con una prevalencia estimada de 1:100.000 nacimientos. Dentro de estos trastornos se encuentran diversas patologías, entre las que se encuentran el síndrome de Turner y sus variantes, la disgenesia gonadal parcial y la completa (4-7).

La disgenesia gonadal XY completa, denominada también (síndrome de Swyer), se asocia con genitales externos femeninos, estructuras de Müller intactas y gónadas estriadas; mientras que la disgenesia gonadal parcial puede producir infertilidad, genitales atípicos y subvirilización. Las estructuras de Müller pueden ser normales, hipoplásicas o ausentes. Por el contrario, en individuos XX la disgenesia gonadal no interfiere con el desarrollo genital y, por lo tanto, no suele presentarse con genitales atípicos (8-10).

La disgenesia gonadal parcial representa la segunda causa de genitales ambiguos en neonatos (después de la hiperplasia suprarrenal congénita) y se caracteriza por presentarse con baja talla y estigmas “turnerianos” en la infancia, asociados con amenorrea primaria en la adolescencia (11- 13). Es importante hacer un diagnóstico temprano debido a que la presencia de disgenesia gonadal y un cromosoma “Y” crea un riesgo importante de malignización (por lo general, de gonadoblastoma) (14).

Debido a la variabilidad fenotípica, algunos pacientes son diagnosticados en la infancia con genitales ambiguos, mientras que otros no son diagnosticados hasta la pubertad, cuando se presentan con amenorrea primaria (15, 16).Las personas que nacen con genitales que no parecen típicamente femeninos o masculinos se han clasificado en el trascurso del tiempo como trastornos del desarrollo o de la diferenciación sexual; sin embargo, es un término confuso que se usa de manera inconsistente y que usualmente no es aceptado universalmente por los pacientes que lo padecen. En este caso, describiremos a un paciente con apariencia genital atípica y discordante con su sexo cromosómico (17-19).

La amenorrea puede ser una entidad transitoria o permanente y resulta de una disfunción del hipotálamo, la hipófisis, los ovarios, el útero o la vagina. Se clasifica como primaria o secundaria. La amenorrea primaria suele ser resultado de una anomalía genética o anatómica y dentro de las etiologías más comunes se encuentran la disgenesia gonadal, incluido el síndrome de Turner, la agenesia de Müller, el retraso fisiológico de la pubertad, el síndrome de ovario poliquístico, la anorexia nerviosa y el hipopituitarismo.

Presentación del caso

Paciente de 24 años, procedente de zona rural del departamento del Cauca, Colombia. Fenotípicamente femenina, producto de parto vaginal normal, de primer embarazo a término (38 semanas, parto domiciliario), con controles prenatales positivos, sin alteraciones en ecografías, con evidencia de consanguinidad (padres, primos en segundo grado). Historia de hipertensión arterial diagnosticada a los 21 años, en manejo con clonidina y espironolactona, disgenesia gonadal (cariotipo 46, XY) (figura 1) diagnosticado a los 15 años (consultó en esa oportunidad por ausencia de desarrollo mamario y amenorrea). Sin antecedentes quirúrgicos y con hospitalización previa en relación con hipocalemia severa y cifras tensionales elevadas, requirió reposición endovenosa de potasio y manejo antihipertensivo, egresada sin mayores datos.

Cariotipo 46, XY

Figura 1: Cariotipo 46, XY

Fuente: historia clínica (con permiso)

La paciente consulta por cuadro de emesis, malestar general, síntomas constitucionales y debilidad en extremidades. La exploración física fue: peso: 78 kilogramos, talla: 184 centímetros, presión arterial: 160/100 mmHg, frecuencia cardiaca: 71 latidos por minuto. Facies robusta, frente prominente, pabellones auriculares asimétricos, puente nasal deprimido, con desviación del tabique hacia la izquierda, sin anodoncias, lengua lisa, cuello corto, tórax normal, cardiopulmonar sin alteraciones, ausencia de vello axilar, microtelia bilateral (Tanner II), abdomen sin visceromegalias, genitales externos femeninos, labios menores y mayores aumentados de tamaño, con clitoromegalia, sin hipospadias, ausencia de vello púbico (Tanner I). Exploraciones complementarias: ecografía abdominal total con hallazgos de agenesia de útero y anexos, analítica compatible con hipogonadismo primario, testosterona total: < 0,10 ng/mL (suprimida), estradiol: 18,26 pg/mL (disminuido), LH y FSH elevadas.

Cariotipo 46, XY (las 50 metafases analizadas tienen 46 cromosomas y forma sexual XY).

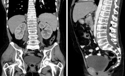
Cortisol sérico: 2,07 μg/dL (bajo) y ACTH: 37 pg/mL (normal-elevado); valores que fueron corroborados posteriormente en el ámbito ambulatorio, con cortisol sérico: 18 μg/dL y ACTH: 10 pg/mL normales, descartándose así insuficiencia adrenal asociada. Aldosterona sérica normal y actividad de renina plasmática detectable. Ecografía Doppler de arterias renales sin evidencia de estenosis, con flujo intraparenquimatoso renal normal. Tomografía de abdomen y pelvis con hallazgos superponibles a los ecográficos, ausencia de útero y anexos, no se logran visualizar rudimentos gonadales (figura 2).

Tomografía axial computarizada de abdomen (contrastada), se evidencia la ausencia de genitales femeninos internos

Figura 2: Tomografía axial computarizada de abdomen (contrastada), se evidencia la ausencia de genitales femeninos internos

Fuente: historia clínica (con permiso)

Ante la sospecha de disgenesia gonadal XY, se realiza laparoscopia diagnóstica en búsqueda de tejido testicular disgenético. Se realiza disección de peritoneo de canales inguinales, encontrando testículos atróficos, los cuales se extraen. El reporte final anatomopatológico describe atrofia testicular derecha e izquierda, epidídimo izquierdo adrenal ectópico y epidídimo derecho normal (figura 3).

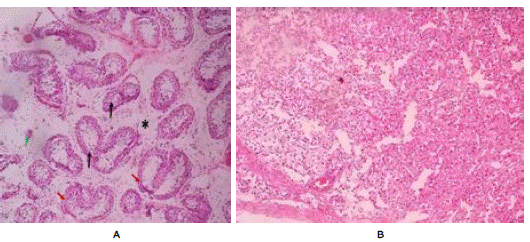
A y B. Análisis histopatológico testicular Notas aclaratorias: A. Imagen de testículo tomada en 10x. Nótese el intersticio laxo e hipo celular (*), túbulos ocupados por células de Sertoli (flecha negra), engrosamiento irregular de la membrana basal tubular (flecha roja) y se observa un solo grupo de células de Leydig (flecha verde). No se observan células germinales. B. Imagen en 10x, representativa de la glándula suprarrenal ectópica, se reconoce la capa glomerular de la corteza

Figura 3: A y B. Análisis histopatológico testicular Notas aclaratorias: A. Imagen de testículo tomada en 10x. Nótese el intersticio laxo e hipo celular (*), túbulos ocupados por células de Sertoli (flecha negra), engrosamiento irregular de la membrana basal tubular (flecha roja) y se observa un solo grupo de células de Leydig (flecha verde). No se observan células germinales. B. Imagen en 10x, representativa de la glándula suprarrenal ectópica, se reconoce la capa glomerular de la corteza

Fuente: elaboración propia

Discusión

La disgenesia gonadal parcial 46, XY, se caracteriza por individuos con formación testicular parcial y cariotipo 46, XY (como en el caso que se describe). Las causas más frecuentes de disgenesia gonadal incluyen mutaciones genéticas como, por ejemplo, mutaciones en la región Y que determina el sexo y otras, incluyendo el gen del factor de empalme 1 y en gen del tumor de Wilms 1.

Cuando estas mutaciones se diagnostican al nacer, por lo general, cursan con genitales externos ambiguos, en estos casos el diagnóstico más frecuente es la hiperplasia suprarrenal congénita. Cuando resultan en la adolescencia, lo hacen por signos de virilización o amenorrea primaria con retraso puberal (20, 21).

Los testículos disgenéticos pueden contener, en estadios tempranos, células germinales, pero están generalmente ausentes en la adolescencia (22).

Aquellos pacientes con disgenesia gonadal que involucra al cromosoma Y, tienen mayor riesgo (25%) de presentar malignidad. El gonadoblastoma y el disgerminoma son los tumores que más aparecen, aunque otros como el carcinoma embrionario o el tumor del seno endodérmico también han sido descritos (23-25).

El diagnóstico de la disgenesia gonadal suele ser consecuencia del estudio de la amenorrea primaria. Para poder hacer este diagnóstico, se requiere un estudio clínico completo, analítico, genético, radiológico, quirúrgico y anatomopatológico, lo que permite su clasificación exacta (26).

Es claro que no se debe demorar el tratamiento mientras se esperan los resultados de las pruebas por sospechas de entidades que pueden asociarse con complicaciones potencialmente mortales, como la hiperplasia suprarrenal congénita e hipopituitarismo.

Todos los pacientes con sospecha de trastornos del desarrollo sexual deben someterse a una ecografía pélvica para definir la anatomía en búsqueda de estructuras de Müller (útero, trompas de Falopio, vagina) y pruebas genéticas/ moleculares; sin embargo, esto último se convierte en una limitante en nuestro medio, con relación al costo y a la accesibilidad de estas pruebas en instituciones de baja-mediana complejidad. No debemos olvidar que en la literatura también reposan casos de desórdenes del desarrollo sexual, asociados a disruptores endocrinos y de acción androgénica que se deben tener en cuenta al momento de abordar esta entidad (27).

Si las estructuras de Müller están presentes en la ecografía pélvica, es probable que exista hiperplasia suprarrenal congénita y, en ese caso, los niveles elevados de 17- hidroxiprogesterona séricos apoyan el diagnóstico. Si las estructuras de Müller están ausentes en la ecografía pélvica, es probable que exista un defecto en la síntesis o acción de andrógenos. Los resultados de pruebas adicionales incluyen la medición de hormona luteinizante que generalmente se encuentra elevada y de la hormona folículo-estimulante, que puede encontrarse normal o ligeramente elevada (28).

Otros procedimientos de diagnóstico, como la endoscopia urogenital, puede identificar restos müllerianos y la laparoscopia que, aunque no es necesario realizarla rutinariamente, puede facilitar la identificación de las gónadas y la toma de biopsias intrabdominales de las mismas (29).

Finalmente, los individuos que cursan con estos trastornos del desarrollo sexual pueden tener un amplio espectro fenotípico. En series retrospectivas han documentado mujeres fenotípicas con síndrome de Turner típico o atípico, así como casos de genitales externos ambiguos y gónadas asimétricas (es decir, gónadas mixtas disgenéticas) o fenotipos masculinos con masculinización incompleta, lo que confirma la variabilidad fenotípica de estos trastornos (30).

Conclusiones

Se concluye que los trastornos del desarrollo sexual representan un grupo complejo y heterogéneo de entidades clínicas que conllevan a repercusiones psicológicas importantes. La disgenesia gonadal parcial representa una emergencia médica y social, debido a la presencia de genitales ambiguos al nacer y el riesgo de malignización gonadal futura. Su manejo clínico y terapéutico deben ser siempre interdisciplinarios.

Al cumplir el criterio de gónada disgenética (por la ausencia de células germinales en el reporte patológico) y por la ausencia de tejido ovárico, pero con la existencia de tejido testicular disgenético, consideramos que el diagnóstico más probable de este caso es de disgenesia gonadal parcial XY. (figura 4, algoritmo de evaluación y diagnóstico de los trastornos del desarrollo sexual).

Algoritmo de evaluación y diagnóstico de los trastornos del desarrollo sexual Notas aclaratorias: abreviaturas: LH (sigla en inglés: hormona luteinizante), FSH (sigla en inglés: hormona folículo estimulante), FISH (sigla en inglés: hibridación in situ fluorescente), SRY (sigla en inglés: proteína de la región Y que determina el sexo).

Figura 4: Algoritmo de evaluación y diagnóstico de los trastornos del desarrollo sexual Notas aclaratorias: abreviaturas: LH (sigla en inglés: hormona luteinizante), FSH (sigla en inglés: hormona folículo estimulante), FISH (sigla en inglés: hibridación in situ fluorescente), SRY (sigla en inglés: proteína de la región Y que determina el sexo).

Fuente: elaboración propia

Financiación

Esta investigación no recibió soporte financiero.

Conflictos de interés

Los autores declaran que no tuvieron conflictos de interés asociados al desarrollo de la investigación