https://doi.org/10.53853/encr.8.4.717

Recibido: 17 de marzo de 2021; Aceptado: 22 de diciembre de 2021

Hipoparatiroidismo primario con síndrome de Fahr como causa de epilepsia refractaria


Fahr syndrome with hypoparathyroidism causing refractory epilepsy

E. Mora Garzón, 13* C. Restrepo Valencia, 13 C. Parra Santacruz, 2 V. Rodas Restrepo, 13

SES Hospital de Caldas, Manizales, Colombia SES Hospital de Caldas Manizales Colombia
Hospital Departamental Universitario Santa Sofía, Manizales, Colombia Hospital Departamental Universitario Santa Sofía Manizales Colombia
Universidad de Caldas,Manizales, Colombia Universidad de Caldas Universidad de Caldas Manizales Colombia

Correspondencia: endocrinologiaemg@gmail.com

Resumen

Introducción:

el hipoparatiroidismo primario se caracteriza por niveles inadecuadamente bajos de hormona paratiroidea (PTH), lo cual conlleva un estado de hipocalcemia crónica que, de no corregirse, genera perturbaciones predominantemente de tipo neuromuscular.

Objetivo:

se presenta un caso de una paciente con hipoparatiroidismo primario con el fin de mostrar sus características clínicas, criterios diagnósticos y patologías diferenciales. Se evidencia la importancia de un diagnóstico temprano y de un tratamiento oportuno que impacte en el pronóstico y calidad de vida de los pacientes.

Presentación del caso:

se presenta el caso de una mujer de 23 años con antecedente de epilepsia de difícil control desde los dos meses de edad, manejada con múltiples anticonvulsivantes, pero con persistencia de crisis convulsivas. En neuroimágenes de control realizadas a sus 22 años, se reportan calcificaciones ganglio-basales y frontales y es derivada a la consulta de Endocrinología para estudios. En los estudios de perfil fosfocálcico se evidenció hipocalcemia severa, hiperfosfatemia y PTH suprimida.

Discusión y conclusión:

se realiza el diagnóstico de síndrome de Fahr secundario a hipoparatiroidismo primario, por lo que se instaura tratamiento con carbonato de calcio y calcitriol, lográndose control de los episodios convulsivos y finalmente suspensión de drogas anticonvulsivantes. Estos hallazgos sugieren incluir al hipoparatiroidismo primario como diagnóstico diferencial de pacientes con epilepsia refractaria.

Palabras clave:

hipoparatiroidismo, hipocalcemia, convulsiones, epilepsia refractaria, ganglios basales hiperfosfatemia.

Abstract

Introduction:

Primary hypoparathyroidism is characterized by inappropriately low or absent levels of parathyroid hormone (PTH) which leads to chronic hypocalcemia, and cause neuro-muscular disturbances predominantly.

Purpose:

A case of a patient with primary hypoparathyroidism is presented in order to show its clinical characteristics, diagnostic criteria and differential pathologies. The importance of an early diagnosis and a timely treatment that has an impact on the prognosis and quality of life of the patients is evidenced.

Case presentation:

We present the case of a 23 years old woman with history of drug resistant epilepsy that began at 2 months of age, she received multiple anticonvulsant drugs but seizures continue, at the age of 22 years old we documented basal ganglia and frontal calcifications. She was referred to endocrinology. Phosphocalcium profile studies showed severe hypocalcemia, hyperphosphatemia and suppressed PTH.

Discussion and conclusion

: The diagnosis of Fahr syndrome associated with primary hypoparathyroidism was made. Therefore treatment with calcium carbonate and calcitriol was established, achieving control of seizures and finally suspension of anticonvulsant drugs. These findings suggest including primary hypoparathyroidism as a differential diagnosis in patients with refractory epilepsy..

Keywords:

Hypoparathyroidism, Hypocalcemia, Seizures, Drug resistant epilepsy, Basal Ganglia Hyperphosphatemia.

Introducción

El hipoparatiroidismo primario es un síndrome caracterizado por niveles inapropiadamente bajos de hormona paratiroidea (PTH) que conduce a un estado de hipocalcemia e hiperfosfatemia. El diagnóstico debe sospecharse ante pacientes con hipocalcemia, siendo los síntomas predominantemente neuromusculares (parestesias, calambres o espasmos musculares, prolongación del intervalo QT y, en casos severos, arritmias y convulsiones). Las convulsiones se han descrito hasta en un 70 % de los pacientes con hipoparatiroidismo (1).

En esta insuficiencia de PTH se presenta una reducción en la resorción ósea con la consecuente disminución en la liberación de calcio por el hueso, también hay una reducción en la absorción de calcio a nivel intestinal ante la pérdida de la activación de la vitamina D por la PTH a nivel renal, llevando a la hipocalcemia. El otro efecto de la PTH a nivel renal es la fosfaturia, la cual se pierde y lleva a su consecuente hiperfosfatemia (2-4).

Las calcificaciones del sistema nervioso central constituyen un hallazgo relativamente frecuente en pacientes con crisis epilépticas recurrentes y secundarias con hipoparatiroidismo primario. Cuando estas calcificaciones se presentan en los ganglios basales se denomina síndrome de Fahr, término utilizado para causas secundarias, a diferencia de la enfermedad de Fahr. Aunque se desconoce el mecanismo exacto de su desarrollo, se ha sugerido que la hiperfosfatemia crónica estaría involucrada (5, 6, 7, 9).

Se reporta un caso del síndrome de Fahr secundario a hipoparatiroidismo primario en una paciente adulta con epilepsia refractaria desde la infancia.

Presentación del caso

En el servicio de Endocrinología de un hospital de tercer nivel fue atendida una paciente femenina de 23 años, derivada desde el Servicio de Neurología ante el reporte de calcificaciones ganglio-basales y frontales en RM cerebral simple.

Con antecedente de epilepsia desde los dos meses de edad, la paciente persistía con convulsiones pese al manejo con múltiples anticonvulsivantes (carbamazepina, fenitoína, lamotrigina). El examen físico fue normal, sin alteraciones cardiopulmonares ni neurológicas, sin signos de Chvostec y Trosseau, tampoco signos mucocutáneos de infección por cándida o de enfermedades por depósito. Se le realizó un electroencefalograma con actividad paroxística epileptiforme de localización frontal bilateral.

Resonancia magnética de encéfalo. Nota aclaratoria: corte axial, imagen potenciada en T1. Están marcadas las áreas hiperintensas que comprometen ganglios de la base, tálamo y coronas radiadas en forma bilateral

Figura 1: Resonancia magnética de encéfalo. Nota aclaratoria: corte axial, imagen potenciada en T1. Están marcadas las áreas hiperintensas que comprometen ganglios de la base, tálamo y coronas radiadas en forma bilateral

Fuente: elaboración propia

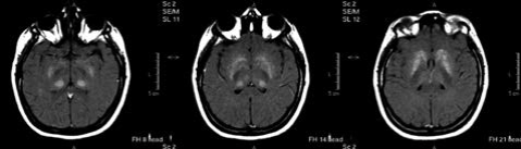
Resonancia magnética de encéfalo. Nota aclaratoria: imagen de susceptibilidad magnética, donde se evidencia la ausencia de sangrado, por lo que los hallazgos en T1, aunque son hiperintensos, no corresponden a sangrado y son compatibles con depósitos de calcio.

Figura 2: Resonancia magnética de encéfalo. Nota aclaratoria: imagen de susceptibilidad magnética, donde se evidencia la ausencia de sangrado, por lo que los hallazgos en T1, aunque son hiperintensos, no corresponden a sangrado y son compatibles con depósitos de calcio.

Fuente: elaboración propia.

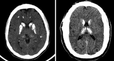
Tomografía de cráneo simple. Nota aclaratoria: se identifican múltiples calcificaciones ganglio-basales bilaterales comprometiendo el putamen, el núcleo caudado, los lóbulos frontales, los parietales, pero sin compromiso del cerebelo. El mesencéfalo, el sistema ventricular y el tallo estaban normales

Figura 3: Tomografía de cráneo simple. Nota aclaratoria: se identifican múltiples calcificaciones ganglio-basales bilaterales comprometiendo el putamen, el núcleo caudado, los lóbulos frontales, los parietales, pero sin compromiso del cerebelo. El mesencéfalo, el sistema ventricular y el tallo estaban normales

Fuente: elaboración propia

Ante estos hallazgos se iniciaron estudios metabólicos que evidenciaron unos niveles de calcio colorimétrico de 5,4 mg/dl (8,4-10,2 mg/dl), albúmina de 4,2 g/dl, calcio corregido de 5,2mg/dl, PTH intacta de 11 pg/ml (15- 65 pg/ml), fósforo de 6,6 mg/dl (2,5-4,5 mg/ dl), magnesio de 1,4mg/dl (1,6-2,3), vitamina D25OH 39,5ng/ml (30-100), calciuria de 24h de 98 mg (esperado 4 mg/58 kg/24h = 232 mg), volumen urinario de 24h 1400 cc, creatinina de 1,0, sodio de 142, potasio de 4,2, TSH de 1,76, glicemia de 82, CT de 130, TGC de 104, HDL de 53, LDL de 56, leucocitos en 7000, hemoglobina de 13,5, plaquetas en 289.000, ALT de 30 (9-52) y AST de 25 (14-36).

Tampoco se encontraron alteraciones electrocardiográficas y se descartaron causas secundarias de hipoparatiroidismo con ecografía de tiroides, paratiroides y renal normales. Se decidió hospitalizar para ampliar los estudios y descartar secundarismo. Se comenzó el tratamiento y la suplementación con carbonato de calcio y calcitriol orales con mejoría de la calcemia y sin nuevos episodios convulsivos, se dio egreso con carbonato de calcio a 4200 mg/día y calcitriol 0,5 μg c/12h. En los controles ambulatorios se pudieron retirar los anticonvulsivantes sin presentar nuevas convulsiones.

Discusión

El hipoparatiroidismo primario es una enfermedad poco frecuente, con una incidencia aproximada en Estados Unidos de 0,8/100.000 personas/año (10) que conlleva a un estado de hipocalcemia e hiperfosfatemia crónicas con sus consecuentes implicaciones clínicas. La severidad de los síntomas dependerá de la velocidad de instauración, predominando en la presentación aguda las alteraciones neuromusculares (mialgias, broncoespasmos), cardiovasculares (arritmias ventriculares, hipotensión refractaria), neurológicas (convulsiones tónico-clónicas, motoras focales o crisis de ausencia atípicas) y psiquiátricas (psicosis, depresión) (12, 13, 15), mientras en el curso crónico puede ir desde la ausencia de síntomas hasta el deterioro cognitivo significativo y síntomas extrapiramidales, debido a calcificaciones de los ganglios basales (13, 16, 17).

La hiperfosfatemia conduce a la aparición de calcificaciones de los tejidos blandos (4). Las calcificaciones ganglio-basales se han reportado entre un 21 y un 73 % de los pacientes con hipoparatiroidismo, pudiendo afectar la corteza de forma simétrica, con mayor frecuencia en lóbulo frontal, sustancia blanca subcortical y cerebelo (4, 7, 15).

La enfermedad de Fahr se caracteriza por depósitos anormales de calcio en los ganglios basales, disfunción neurológica progresiva, convulsiones y alteraciones neuropsiquiátricas de carácter hereditario y no tiene un tratamiento efectivo, mientras que el síndrome de Fahr (SF) está asociado con otras enfermedades, principalmente hipoparatiroidismo, y puede ser controlado tras corregir la causa primaria (18). Nuestra paciente, al presentar una hipocalcemia crónica, se manifestó con convulsiones refractarias al manejo anticonvulsivante y calcificaciones ganglio-basales y frontales asociadas a la hiperfosfatemia crónica.

La principal causa de hipoparatiroidismo es el daño del tejido glandular como complicación de una cirugía anterior de cuello, lo que representa el 75 % de las causas de hipoparatiroidismo; la siguiente causa adquirida más frecuente en adultos es el hipoparatiroidismo autoinmune, el cual puede estar aislado o comprometer otras glándulas.

Las otras causas restantes de hipoparatiroidismo adquirido son secundarias a una variedad de trastornos raros por infiltración, como la enfermedad metastásica o la sobrecarga de hierro o cobre o secundarias a radiación con daño del tejido paratiroideo (10). También están las causas genéticas de importante relevancia en pacientes sin antecedente quirúrgico, donde se encuentran desde trastornos en el desarrollo de las glándulas paratiroideas o de la síntesis de la PTH, como en mutaciones del gen de la PTH, ADN mitocondrial o de receptores sensores de calcio (CaSR), el cual regula la reabsorción tubular de calcio según la concentración extracelular (11) y donde sus mutaciones producen una hipocalcemia familiar con formas autosómicas dominantes (2) donde hay hipocalcemia, PTH baja, hipercalciuria e hiperfosfatemia (11). Estos pacientes pueden ser asintomáticos y diagnosticarse en la adultez o presentar convulsiones, principalmente durante episodios febriles e infecciosos (4, 11), en nuestro caso, no existe hipercalciuria ni historia familiar de hipocalcemia, no obstante, no se pudo realizar un análisis genético que permitiera descartar esta alteración (11).

Otras etiologías de hipoparatiroidismo se consideran un diagnóstico de exclusión (2, 4, 10, 12), como aquellos asociados a insuficiencia suprarrenal y candidiasis o como parte del síndrome poliglandular autoinmune tipo 1 (2, 4). En nuestra paciente no había alteraciones de la vitamina D, ni enfermedad renal y se consideró un hipoparatiroidismo primario al descartarse las causas secundarias.

Conclusiones

Dentro del abordaje diagnóstico no solo se deben tener en cuenta los niveles de calcio, la PTH o el fósforo séricos, sino también descartar la hipomagnesemia asociada (2, 12, 13), sin embargo, aunque la paciente tenía un nivel levemente disminuido, esto no explicaría la hipocalcemia e hiperfosfatemias crónicas (14).

En Colombia, encontramos un reporte de una paciente de 41 años, quien ingresó con diagnóstico de crisis parciales, sin mejoría con anticonvulsivantes, asociada a alteraciones neuropsiquiátricas, encontrándose un SF con mejoría tras la corrección del calcio (19), evidenciando la amplia presentación clínica del SF, por lo que debe ser considerado como diferencial en pacientes con alteraciones neuropsiquiátricas, y de un hombre de 31 años con convulsiones tónico-clónicas, pérdida de agudeza visual, con cambios comportamentales e hipoparatiroidismo primario (15). Con estos casos se tenía en común la presencia del SF, sin mejoría con anticonvulsivantes, pero la presentación clínica de nuestra paciente fue diferente, al tener únicamente convulsiones y sin otros síntomas asociados, lo que dificultó el diagnóstico.

El objetivo del tratamiento es controlar los síntomas de la hipocalcemia y consiste en iniciar suplementación con calcio y calcitriol, con metas de calcemia entre 8,0-8,5 mg/dL (20); sin embargo, aproximadamente el 50 % de los pacientes pueden llegar a sufrir deterioro renal o nefrocalcinosis con esta terapia de no lograrse una óptima suplementación, otra posibilidad de tratamiento en casos refractarios o requerimiento de altas dosis de suplementación es la PTH humana recombinante (3, 4). Las metas son: para el fósforo mantenerlo menor a 6 y del magnesio en rangos de normalidad con un producto fosfocálcico menor a 55 mg/L, para evitar la calcifilaxis y la hipercalciuria (metas < 300 mg/24h) que en caso de presentarse requeriría manejo con tiazidas (20).

En conclusión, aunque el hipoparatiroidismo primario no ha sido una de las etiologías a considerar inicialmente en el enfoque de pacientes con epilepsia al ser una enfermedad con baja prevalencia(4), debe tenerse en cuenta en casos refractarios, realizar el perfil fosfocálcico y buscar cambios ganglio-basales ante la posibilidad de encontrar un síndrome de Fahr, para iniciar un manejo temprano e impactar sobre la calidad de vida y el pronóstico de los pacientes (7).

Financiación

Esta investigación no recibió apoyo financiero ni los autores para la escritura o publicación de este artículo.

Conflictos de interés

Los autores declaran que no tienen conflictos de interés asociados al desarrollo de la investigación.