https://doi.org/10.53853/encr.11.1.833

Recibido: 28 de junio de 2023; Aceptado: 21 de septiembre de 2023

Síndrome de paraganglioma mediastinal tipo 4 asociado a una variante en el complejo succinato deshidrogenasa tipo B (SDHB)


Mediastinal paraganglioma type 4 syndrome associated with a Variant in the Succinate dehydrogenase Type B complex (SDHB)

R. Cano, ¹² S. Araque, ¹* Y. Mantilla, ¹ H. Gaona, ¹ W. Yamil Ali, ¹ J. Pérez-García, 3 J. Ovalle, 4

Programa de especialización en Medicina Interna, Universidad Libre, Barranquilla, Colombia Universidad Libre Programa de especialización en Medicina Interna Universidad Libre Barranquilla Colombia
Departamento de Endocrinología, Clínica General del Norte, Barranquilla, Colombia Departamento de Endocrinología Clínica General del Norte Barranquilla Colombia
Centro de Diagnóstico de Patología, Clínica General del Norte, Barranquilla, Colombia Centro de Diagnóstico de Patología Clínica General del Norte Barranquilla Colombia
Departamento de Cirugía de Tórax, Clínica General del Norte, Barranquilla, Colombia Departamento de Cirugía de Tórax Clínica General del Norte Barranquilla Colombia

Correspondencia: saraie-araquel@unilibre.edu.co

Resumen:

Introducción:

los tumores productores de catecolaminas son las neoplasias sólidas con mayor heredabilidad (40 %), raros, con una prevalencia menor al 0,05 % en la población general, clínicamente son heterogéneos, en su mayoría son asintomáticos y estudiados como incidentalomas o durante el seguimiento de otras patologías.

Objetivo:

existen pocos casos reportados de tumores productores de catecolaminas sintomáticos en nuestro medio, principalmente se trata de paragangliomas hereditarios; por lo que el objetivo de este reporte de caso es describir el abordaje diagnóstico y terapéutico que se realizó en un centro de cuarto nivel de la ciudad de Barranquilla.

Presentación de caso:

se describe el caso de una mujer en su tercera década de vida con hipertensión arterial secundaria relacionada con paraganglioma de mediastino posterior, bioquímicamente funcional. Se realizó una extirpación quirúrgica exitosa. El estudio de patología confirmó el origen en las células cromafines de ganglio simpático y el análisis genético identificó una variante heterocigota en el gen succinato deshidrogenasa subunidad B, variante c166_170del, de significado patogénico, por lo que se concluye paraganglioma familiar tipo 4.

Discusión y conclusión:

en este artículo se discute la definición, la presentación clínica, el diagnóstico, el tratamiento y el pronóstico de tumores secretores de catecolaminas y se presenta un caso clínico con paraganglioma familiar tipo 4, pruebas diagnósticas, imágenes y enfoque clínico.

Palabras clave:

paraganglioma, feocromocitoma, tumor neuroendocrino, catecolaminas, hipertensión endocrina, succinato deshidrogenasa..

Abstract:

Introduction:

Catecholamine-producing tumors are the most heritable (40%) solid neoplasms, rare, with a prevalence of less than 0.05% in the general population. They are clinically heterogeneous, mostly asymptomatic and studied as incidentalomas or during the follow-up of other pathologies.

Objective:

There are few reported cases of symptomatic catecholamine-producing tumors in our region, mainly hereditary paragangliomas. Therefore, the objective of this case report is to describe the diagnostic and therapeutic approach conducted at a tertiary center in the city of Barranquilla.

Case presentation:

We describe the case of a woman in her third decade of life with secondary arterial hypertension related to a functional posterior mediastinal paraganglioma. Successful surgical resection was performed, and pathology examination confirmed origin from chromaffin cells of the sympathetic ganglion. Genetic analysis identified a heterozygous mutation in the Succinate Dehydrogenase Subunit B gene, variant c166_170del, with pathogenic significance, leading to the conclusion of familial paraganglioma type 4.

Discussion and conclusion:

This article discusses the definition, clinical presentation, diagnosis, treatment, and prognosis of catecholamine-secreting tumors. It presents a clinical case of type 4 paraganglioma, diagnostic tests, imaging, and clinical approach.

Keywords:

Paraganglioma, Pheochromocytoma, Neuroendocrine tumor, Catecholamines, Endocrine hypertension, Succinate dehydrogenase..

Introducción

Las feocromocitomas y paragangliomas simpáticos son tumores neuroendocrinos (TNE) provenientes de las células cromafines de la médula adrenal y los ganglios de la cadena simpática, respectivamente, comparten la capacidad de sintetizar y liberar catecolaminas (1). Su incidencia anual estimada es de aproximadamente 0,6-0,8 casos por millón de habitantes, posiblemente sea mayor debido a la falta de diagnóstico hasta la autopsia (0,05-0,1 %) (2, 3).

El 40 % de TNE secretores de catecolaminas presenta mutaciones de la línea germinal y pueden manifestarse en pacientes con síndromes tumorales clásicos o con síndromes de paraganglioma hereditarios con potencial metastásico superior (1, 3, 4).

La presentación clínica se relaciona con hipersecreción de catecolaminas o efecto de masa.

La tríada clásica incluye cefalea, palpitaciones y sudoración profusa (5).

La importancia de este caso clínico radica en su poca frecuencia, subdiagnóstico, incremento de la morbilidad cardiovascular, mortalidad y su riesgo de heredabilidad y malignidad, particularmente en paragangliomas asociados a mutación de la succinato deshidrogenada subunidad B (SDHB) (6).

Presentación del caso

Mujer de 20 años quien nació y actualmente reside en Cartagena, Colombia. Tiene un antecedente personal de hipertensión arterial y está en tratamiento con Amlodipino de 5 mg y Valsartan de 10 mg al día, sin antecedentes tóxicos o familiares.

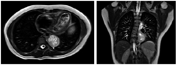
Presenta un cuadro clínico de cefalea holocraneana diaria e intermitente, de instauración gradual, de tipo pulsátil e intensidad moderada, que está acompañada de taquicardia y diaforesis, lo cual inició seis meses antes de su admisión, sin exacerbantes o atenuantes. El monitoreo ambulatorio de presión arterial reveló hipertensión arterial sistólica y diastólica de día y de noche, por lo que inició el tratamiento actual. Se realizó una pesquisa de hipertensión arterial secundaria, incluyendo una resonancia magnética de abdomen contrastada, bajo sospecha de TNE suprarrenal. Se evidenciaron signos de neoformación en mediastino posterior, con diámetros de 43 x 38 x 59 mm, en situación paravertebral izquierda (figura 1).

Resonancia magnética de abdomen Nota: A Imagen hiperintensa localizada en mediastino posterior. B. Imagen de aspecto fusiforme, heterogénea, hiperintensa en t1, con focos hiperintensos en t2 y periferia de menor intensidad de señal que realza predominantemente en la periferia, con diámetros de 43 x 38 x 59 mm.

Figura 1: Resonancia magnética de abdomen Nota: A Imagen hiperintensa localizada en mediastino posterior. B. Imagen de aspecto fusiforme, heterogénea, hiperintensa en t1, con focos hiperintensos en t2 y periferia de menor intensidad de señal que realza predominantemente en la periferia, con diámetros de 43 x 38 x 59 mm.

Fuente: elaboración propia.

La paciente fue hospitalizada para confirmación bioquímica de tumor secretor de catecolaminas. Durante el examen físico estuvo clínicamente estable, con cifras tensionales de 138/64 mmHg, frecuencia cardiaca de 92 latidos por minuto y no hubo otros hallazgos relevantes. Los estudios bioquímicos confirmaron una producción excesiva de catecolaminas con un fenotipo noradrenérgico en sangre y orina (tabla 1), y el FGD-PET/TC reportó una lesión hipermetabólica en mediastino posterior (figura 2). Se indicó una secuenciación de exoma completo individual que identificó una variante heterocigota en el gen succinato deshidrogenasa subunidad B, variante c166_170del, de significado patogénico.

Como había un contexto clínico de hipertensión arterial de inicio súbito en una paciente joven y con manifestaciones coincidentes con crisis paroxísticas, normetanefrinas en plasma y noradrenalina en orina de 24 horas por encima del límite de referencia, así como los hallazgos de lesión hipermetabólica paravertebral en estudio funcional y variante patogénica genética en SDHB, se realizó el diagnóstico de síndrome de paraganglioma 4. También, se hizo una extirpación quirúrgica como primera línea de tratamiento para la resolución definitiva y tener un mejor pronóstico, previo al control de cifras tensionales con alfa bloqueo y luego beta bloqueo para una meta de frecuencia cardiaca preoperatoria de 60- 80 latidos por minuto. Se realizó una resección completa, sin complicaciones. La pieza quirúrgica midió 8 x 6 x 3 cms, con un peso de 52 g, de superficie externa lisa, pardo oscuro y al corte amarilla con áreas hemorrágicas. Las secciones histológicas mostraron neoplasia epitelial con fina cápsula conectiva y células eosinófilas de amplio citoplasma claro, con bordes mal definidos y núcleos irregulares, organizadas en nidos rodeados por finos septos conectivos, vascularizados, que mostró invasión focal a la cápsula. La expresión inmunohistoquímica demostró fuerte reacción positiva y difusa para cromogranina y proteína S100, con moderada positividad para Gata 3, y negatividad ante inhibina y vimentina. La tinción para retículo mostró acentuación del patrón anidado de la neoplasia con áreas de colapso de la reticulina (figura 3).

Estudio con PET/TC. Lesión hipermetabólica en mediastino posterior

Figura 2: Estudio con PET/TC. Lesión hipermetabólica en mediastino posterior

Fuente: elaboración propia.

Tabla 1: Resultados de pruebas bioquímicas de confirmación

Fuente: elaboración propia

Paraganglioma mediastinal Nota: En (A), neoplasia epitelial encapsulada de células eosinófilas claras, en nidos delimitados por finos septos conectivos (H&E 10X). En (B), nidos de células con citoplasma amplio de borde indefinido, con núcleos irregulares de cromatina marginal, con finas trabéculas vascularizadas congestivas (H&E 40X). El estudio de inmunohistoquímica demostró fuerte reacción positiva difusa para cromogranina (C) y para proteína S100 (D) con expresión moderada ante Gata3 (E). La tinción de retículo (F) resalta la demarcación anidada de la neoplasia con colapso de la reticulina en área central.

Figura 3: Paraganglioma mediastinal Nota: En (A), neoplasia epitelial encapsulada de células eosinófilas claras, en nidos delimitados por finos septos conectivos (H&E 10X). En (B), nidos de células con citoplasma amplio de borde indefinido, con núcleos irregulares de cromatina marginal, con finas trabéculas vascularizadas congestivas (H&E 40X). El estudio de inmunohistoquímica demostró fuerte reacción positiva difusa para cromogranina (C) y para proteína S100 (D) con expresión moderada ante Gata3 (E). La tinción de retículo (F) resalta la demarcación anidada de la neoplasia con colapso de la reticulina en área central.

Fuente: elaboración propia

En este caso no existió evidencia de genes de susceptibilidad en familiares. Hasta la fecha de redacción de este artículo, la paciente ha estado estable, sin síntomas y normotensa sin medicación; aguarda control bioquímico y de imagen.

Discusión

Los tumores cromafines son 80-85% feocromocitomas y el 15-20 % son paragangliomas (3), en su mayoría benignos, y son diagnosticados como incidentalomas suprarrenales en un 5 % de los casos (7). El estudio más reciente realizado a escala nacional fue en Países Bajos, el cual demostró una incidencia del 0,46 y 0,11 por 100 000 personas al año para feocromocitomas y paragangliomas simpáticos, respectivamente (8).

La triada sintomática clásica producida por elevación plasmática de catecolaminas se caracteriza por diaforesis, palpitaciones y cefalea, asociada o no a hipertensión arterial continua o paroxística (9). En contraste, en una reciente serie prospectiva multicéntrica de 245 pacientes con tumores secretores de catecolaminas, se analizó la forma en que se diagnosticó la enfermedad y se encontró que el 37 % presentó signos y síntomas, el 36 % se estudió por incidentalomas en imágenes diagnósticas y el 27 % se identificó durante el seguimiento clínico de otras condiciones médicas, lo que permite entender que las dos últimas superan la prevalencia de neoplasias sintomáticas (10). Estos hallazgos son consistentes con Gabiño et al. (2011), quienes realizaron una revisión de 105 casos de paragangiomas recopilados en un período de diez años. En este se obtuvo que solo el 11,6 % presentó cefalea como síntoma predominante, el resto fueron asintomáticos o tuvieron manifestaciones por efecto de masa (11).

En el caso expuesto en el presente artículo, se presentó clínica florida, las cifras tensionales elevadas de forma sostenida en una menor de 20 años y las crisis paroxísticas condicionaron la sospecha diagnóstica, que se acentuó con el hallazgo imagenológico de masa paravertebral presente en solo un 0,1-0,6 % de los casos de hipertensión, con localización mediastínica en menos del 10 % (12, 13). Lo anterior, sugiere que todo individuo joven con hipertensión secundaria debe descartar patología endocrina.

El abordaje diagnóstico implica secuencialmente: sospecha, confirmación y localización. Se debe sospechar de la enfermedad en pacientes con crisis hiperadrenérgicas episódicas, hipertensión resistente o de inicio en menor de 20 años, incidentaloma suprarrenal, antecedente familiar de feocromocitoma o síndromes familiares y en presencia de respuesta presora en anestesia o cirugía (14). En segundo lugar, hay que realizar la confirmación bioquímica, y se recomienda la medición de metanefrinas libres en plasma que tienen una sensibilidad del 99% y especificidad del 89 % con mejor rendimiento diagnóstico, comparadas con metanefrinas fraccionadas en orina de 24 horas (sensibilidad 97%, especificidad 69 %) y catecolaminas urinarias (sensibilidad 86 %, especificidad 88 %) (3, 15). Si el resultado es positivo, se debe pasar a la localización anatómica, para lo que se aconseja hacer una tomografía contrastada de abdomen y pelvis, que tiene un rendimiento diagnóstico del 88-100 %. En caso de contraindicación para contraste o sospecha de enfermedad metastásica, se debe realizar una resonancia magnética nuclear y, si no es posible hallar la lesión, se debe recurrir a estudios funcionales (FDG- PET/TC, gammagrafía con 123 I MIBG o Ga-DOTATATE- PET/TC) con agentes que se acumulan en los tumores productores de catecolaminas útiles, en búsqueda activa de enfermedad metastásica (16, 17).

La cirugía es el tratamiento de elección en pacientes con tumores secretores de catecolaminas, en aquellos que son localmente sintomáticos por la masa tumoral o que tienen enfermedad no metastásica o metástasis resecables, siempre que sea anatómicamente factible. En caso de enfermedad irresecable o avanzada, las opciones terapéuticas son: medicamentos que controlen la acción de las catecolaminas, radioterapia, quimioterapia y, recientemente, terapia biológica con inhibidores de tirosincinasa; no obstante, no son curativos (18).

La importancia clínica de este grupo de neoplasias neuroendocrinas radica en que son los tumores con mayor potencial hereditario. El 40 % de estos TNE presenta una mutación en una de dos firmas de transcripción: genes que codifican por proteínas que actúan en la respuesta celular a la hipoxia, como la succinato deshidrogenasa, que se relaciona con síndromes de paraganglioma hereditario; o genes que se traducen a proteínas que participan en la señalización de cinasas, como es el caso de la mayoría de los implicados en los síndromes tumorales clásicos (neoplasia endocrina múltiple de tipo 2A, 2B, neurofibromatosis o enfermedad de Von Hippel Lindau), en los que encontramos feocromocitomas o paragangliomas asociados a otros tumores (19). El potencial metastásico es aproximadamente 10 % para feocromocitomas y 20 % para paragangliomas, lo cual es variable según el tipo de genes mutados (20).

El síndrome de paraganglioma familiar está relacionado con mutaciones germinales en el gen de la succinato deshidrogenasa (SDH), presentes en 20% de los casos. Por ello, todo paciente diagnosticado debe realizarse pruebas genéticas. La SDH es un complejo enzimático, constituido por cuatro subunidades (SDHA, SDHB, SDHC, SDHD) que participan en la señalización hipóxica y en modificaciones epigenéticas. El caso de paraganglioma tipo 4 por mutación de la SDHB es el más común y se asocia con tumores extra adrenales con fenotipo bioquímico no adrenérgico (dopamina, noradrenalina) (21).

Es importante destacar que el 50 % de paragangliomas con enfermedad maligna tienen mutación SDHB y la supervivencia a cinco años es del 50 % (20). En enfermedad no metastásica, como el expuesto, con localización extra adrenal y producción de norepinefrina, se recomienda el estudio de mutaciones: SDHB, SDHD, SDHC y Von Hippel Lindau (VHL). La asesoría genética es fundamental y debe realizarse a familiares en primer grado para lograrla detección y tratamiento tempranos (4). En este caso, no existió evidencia de genes de susceptibilidad en familiares ni lesiones metastásicas en estudios funcionales.

Teniendo en cuenta que la resección quirúrgica no garantiza la curación, el seguimiento clínico, bioquímico e imagenológico activo es imperativo, ya que el riesgo de recurrencia es de 1/100 personas al año (22). La guía europea de endocrinología recomienda mediciones de metanefrinas fraccionadas entre dos y seis semanas después de la recuperación de la cirugía. Los valores en el rango normal tras resección completa no requieren imagen anatómica; en los casos de metanefrinas posquirúrgicamente elevadas o de un tumor no funcional, se pueden realizar imágenes tres y seis meses después de la cirugía para documentar la integridad de la resección. Se recomienda, como consenso, el seguimiento posquirúrgico a lo largo de la vida (4). Se debe tener en cuenta el estadio de la enfermedad según el tamaño, número de ganglios y metástasis a distancia (TNM). Para el caso presentado, se trata de un estadio II (T2, N0, M0), lo que es importante considerando la repercusión que tiene la estadificación en la sobrevida de los pacientes, como lo demuestran Jiménez et al. (2023), pues la supervivencia es significativamente más corta en estadio IV comparado con los estadios I-III (23).

Existe poca evidencia en la literatura de paragangliomas familiares hereditarios sintomáticos. A nivel local se documentó un caso de paraganglioma familiar tipo 5 por Rueda et al. (2022), en el que describen un masculino en la cuarta década de vida con hallazgo incidental de masa suprarrenal izquierda tras estudios analíticos en el seguimiento de esteatosis hepática. El estudio genético confirmó la mutación de SHD subunidad A (24). Estos hallazgos coinciden con los resultados de Zea et al. (2023), quienes recientemente culminaron el estudio de paragangliomas y feocromocitomas más grande realizado en Latinoamérica, que estaba basado en el registro colombiano de pacientes con este diagnóstico atendidos en las principales ciudades del país. Aquí se identificó que el 22,6 % de pacientes tuvieron diagnóstico en el escenario de incidentaloma, lo que sugiere un cambio en la presentación clínica de esta enfermedad, posiblemente relacionado con mayor disponibilidad de pruebas diagnósticas. Este gran estudio se encuentra en proceso de publicación y permitirá, además, caracterizar epidemiología, manifestaciones clínicas, resultados de los estudios de laboratorio al momento del diagnóstico y en el seguimiento postquirúrgico, comorbilidades asociadas, estatus genético y enfermedad metastásica.

A la fecha se ha publicado un único estudio nacional acerca del espectro de causas genéticas de TNE productores de catecolaminas, realizado en el Instituto Nacional de Cancerología de Colombia y fue publicado en enero de 2023. En este se presenta una serie de casos de 19 pacientes colombianos con diagnóstico de paraganglioma o feocromocitoma, y se encontró que el 52,63 % (9/19) estaban asociados a mutaciones de la línea germinal, de los cuales 9/10 tenía una variante del gen de la SDHB y fueron diagnosticados con síndrome de paraganglioma hereditario. Cabe resaltar que 8/9 pacientes con variante patológica en la SDHB expresaban una deleción del exón 1, lo que explica el 42 % del total de mutaciones en esta serie de casos (25).

Conclusión

Los tumores productores de catecolaminas son muy infrecuentes; sin embargo, es importante sospechar de ellos en todo paciente con hipertensión arterial de inicio temprano, aún más si se asocia a incidentaloma paravertebral o suprarrenal. No se debe perder de vista el potencial hereditario y metastásico de este tipo de neoplasias, por lo tanto, al confirmar su actividad bioquímica y localización es imperativo resecarlos y realizar estudios genéticos en el paciente y en sus familiares para tener un abordaje multidisciplinario que deberá continuar en el tiempo. Se requiere más investigación y colaboración para mejorar la comprensión de esta rara entidad tumoral.

Contribución de los autores

Raquel Amira Cano Peñaloza: conceptualización, investigación, supervisión, validación; Sarai Elena Araque Libreros: conceptualización, análisis formal, investigación, metodología, escritura (borrador original), escritura (revisión del borrador y revisión/ corrección); Yohana Sofia Mantilla Morales: investigación, escritura (borrador original); Henry Leonardo Gaona Pineda: investigación, metodología, escritura (borrador original); Waeel Ali Yamil Salloum: conceptualización, investigación; Jesús Antonio Pérez García: conceptualización, recursos, supervisión; Juan Pablo Ovalle Granados: investigación, recursos.

Declaración de fuentes de financiación

Los autores no recibieron recursos para la escritura o publicación de este caso clínico.

Conflictos de interés

Los autores no tienen conflictos de interés por declarar en la escritura o publicación de este caso clínico.

Agradecimientos

Los autores agradecen a la Clínica General del Norte, la seccional Barranquilla de la Universidad Libre, en Colombia, y a la paciente que aceptó hacer parte de este proyecto.

Implicaciones éticas

Se cuenta con los debidos consentimientos informados para el uso de la información presentada en este caso clínico. A parte de esto, los autores no tienen más implicaciones éticas por declarar en su escritura o publicación.